Vergleich

CAPN2 Antibody

ArtNr ABC-AW5279-U100
Hersteller Abcepta
Menge 100 ul
Kategorie
Typ Antibody Primary
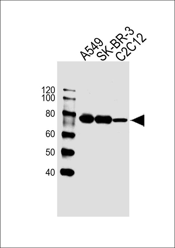
Applikationen WB, FC, IHC-P
Specific against Human (Homo sapiens), Rat (Rattus norvegicus)
Host Mouse
Isotype IgG2b
Citations Imajoh S.,et al.Biochemistry 27:8122-8128(1988).
Ye Z.,et al.Biochem. Biophys. Res. Commun. 275:223-227(2000).
Ota T.,et al.Nat. Genet. 36:40-45(2004).
Gregory S.G.,et al.Nature 441:315-321(2006).
Hata A.,et al.J. Biol. Chem. 264:6404-6411(1989).
ECLASS 10.1 32160702
ECLASS 11.0 32160702
UNSPSC 12352203
Alias Calpain-2 catalytic subunit,Calcium-activated neutral proteinase 2,CANP 2,Calpain M-type,Calpain large polypeptide L2,Calpain-2 large subunit,Millimolar-calpain,M-calpain,CAPN2,CANPL2
Similar products CAPN2, CANPL2, M-calpain, Calpain large polypeptide L2, Calcium-activated neutral proteinase 2, Calpain M-type, Calpain-2 catalytic subunit, Calpain-2 large subunit, Millimolar-calpain, CANP 2
Lieferbar
Manufacturer - Category
Primary Antibodies; Antibody Collections; Apoptosis
Manufacturer - Targets
This CAPN2 antibody is generated from a mouse immunized with recombinant human CAPN2.
Bio Background
Calcium-regulated non-lysosomal thiol-protease which catalyze limited proteolysis of substrates involved in cytoskeletal remodeling and signal transduction.
Clonality
Monoclonal
Gene Name
CAPN2
Subtitle
Purified Mouse Monoclonal Antibody (Mab)
Reactivity
H, Rat
Predicted Reactivity
M
Calculated Molecular Weight
79995
Antigen Source
HUMAN
Formulation
Purified monoclonal antibody supplied in PBS with 0.09% (W/V) sodium azide. This antibody is purified through a protein G column, followed by dialysis against PBS.
Dilution
WB: 1:1000
IHC-P: 1:25
FC: 1:100
Antigen Type
Recombinant Protein

Hinweis: Die dargestellten Informationen und Dokumente (Bedienungsanleitung, Produktdatenblatt, Sicherheitsdatenblatt und Analysezertifikat) entsprechen unserem letzten Update und sollten lediglich der Orientierung dienen. Wir übernehmen keine Garantie für die Aktualität. Für spezifische Anforderungen bitten wir Sie, uns eine Anfrage zu stellen.

Alle Produkte sind nur für Forschungszwecke bestimmt. Nicht für den menschlichen, tierärztlichen oder therapeutischen Gebrauch.

Menge: 100 ul
Lieferbar: In stock
lieferbar

Vergleichen

Auf den Wunschzettel

Angebot anfordern

Lieferzeit anfragen

Technische Frage stellen

Bulk-Anfrage stellen

Fragen zum Produkt?
 
Schließen