Vergleich

BCL2L11 Antibody (Center)

ArtNr ABC-AW5298-U100
Hersteller Abcepta
Menge 100 ul
Kategorie
Typ Antibody Primary
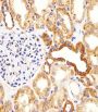
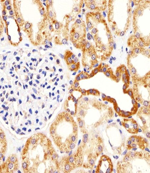
Applikationen WB, FC, IHC-P
Specific against Human (Homo sapiens)
Host Rabbit
Isotype IgG
Citations Hippe,D.,et.al., J. Cell. Sci. 122 (PT 19), 3511-3521 (2009)
Putcha,G.V., et.al., Neuron 38 (6), 899-914 (2003)
NCBI NP_001191035.1,NP_001191036.1,NP_001191037.1,NP_001191038.1,NP_001191039.1,NP_001191040.1,NP_001191041.1,NP_001191042.1,NP_006529.1,NP_619527.1,NP_619528.1,NP_619529.1,NP_619530.1,NP_619531.1,NP_61953
ECLASS 10.1 32160702
ECLASS 11.0 32160702
UNSPSC 12352203
Alias BCL2L11,BIM,Bcl-2-like protein 11,Bcl2-interacting mediator of cell death
Similar products BCL2L11, BIM, Bcl-2-like protein 11, Bcl2-interacting mediator of cell death
Lieferbar
Manufacturer - Category
Primary Antibodies; Apoptosis signaling; Mitochondrion
Manufacturer - Targets
This BCL2L11 antibody is generated from rabbits immunized with a KLH conjugated synthetic peptide between 134-160 amino acids from the Central region of human BCL2L11.
Bio Background
BCL2L11 belongs to the BCL-2 protein family. BCL-2 family members form hetero- or homodimers and act as anti- or pro-apoptotic regulators that are involved in a wide variety of cellular activities. This protein contains a Bcl-2 homology domain 3 (BH3). It has been shown to interact with other members of the BCL-2 protein family, including BCL2, BCL2L1/BCL-X(L), and MCL1, and to act as an apoptotic activator.
Clonality
Polyclonal
Gene Name
BCL2L11
Subtitle
Affinity Purified Rabbit Polyclonal Antibody (Pab)
Reactivity
H
Predicted Reactivity
M, Rat
Calculated Molecular Weight
22171
Antigen Source
HUMAN
Antigen Region
134-160
Formulation
Purified polyclonal antibody supplied in PBS with 0.09% (W/V) sodium azide. This antibody is purified through a protein A column, followed by peptide affinity purification.
Dilution
WB: 1:1000
IHC-P: 1:25
IHC-P: 1:10~50
FC: 1:10~50
Antigen Type
Synthetic Peptide

Hinweis: Die dargestellten Informationen und Dokumente (Bedienungsanleitung, Produktdatenblatt, Sicherheitsdatenblatt und Analysezertifikat) entsprechen unserem letzten Update und sollten lediglich der Orientierung dienen. Wir übernehmen keine Garantie für die Aktualität. Für spezifische Anforderungen bitten wir Sie, uns eine Anfrage zu stellen.

Alle Produkte sind nur für Forschungszwecke bestimmt. Nicht für den menschlichen, tierärztlichen oder therapeutischen Gebrauch.

Menge: 100 ul
Lieferbar: In stock
lieferbar

Vergleichen

Auf den Wunschzettel

Angebot anfordern

Lieferzeit anfragen

Technische Frage stellen

Bulk-Anfrage stellen

Fragen zum Produkt?
 
Schließen