Vergleich

BAX Antibody (N-term)

ArtNr ABC-AW5337-U100
Hersteller Abcepta
Menge 100 ul
Kategorie
Typ Antibody Primary
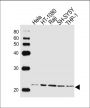
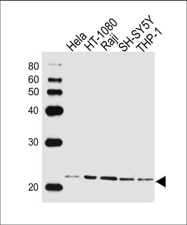
Applikationen WB
Specific against Human (Homo sapiens)
Host Rabbit
Isotype IgG
Citations Oltvai Z.N.,et al.Cell 74:609-619(1993).
Apte S.S.,et al.Genomics 26:592-594(1995).
Shi B.,et al.Biochem. Biophys. Res. Commun. 254:779-785(1999).
Schmitt E.,et al.Biochem. Biophys. Res. Commun. 270:868-879(2000).
Cartron P.F.,et al.Hum. Mol. Genet. 11:675-687(2002).
ECLASS 10.1 32160702
ECLASS 11.0 32160702
UNSPSC 12352203
Alias Apoptosis regulator BAX,Bcl-2-like protein 4,Bcl2-L-4,BAX,BCL2L4
Similar products BAX, BCL2L4, Apoptosis regulator BAX, Bcl-2-like protein 4, Bcl2-L-4
Lieferbar
Manufacturer - Category
Primary Antibodies; Viral process; Host-virus interaction; Apoptosis; Apoptosis signaling; Mitochondrion
Manufacturer - Targets
This BAX antibody is generated from a rabbit immunized with a KLH conjugated synthetic peptide between 47-78 amino acids from the N-terminal region of human BAX.
Bio Background
Accelerates programmed cell death by binding to, and antagonizing the apoptosis repressor BCL2 or its adenovirus homolog E1B 19k protein. Under stress conditions, undergoes a conformation change that causes translocation to the mitochondrion membrane, leading to the release of cytochrome c that then triggers apoptosis. Promotes activation of CASP3, and thereby apoptosis.
Clonality
Polyclonal
Gene Name
BAX
Subtitle
Purified Rabbit Polyclonal Antibody (Pab)
Reactivity
H
Calculated Molecular Weight
21184
Antigen Source
HUMAN
Antigen Region
47-78
Formulation
Purified polyclonal antibody supplied in PBS with 0.09% (W/V) sodium azide. This antibody is purified through a protein A column, followed by peptide affinity purification.
Dilution
WB: 1:1000
Antigen Type
Synthetic Peptide

Hinweis: Die dargestellten Informationen und Dokumente (Bedienungsanleitung, Produktdatenblatt, Sicherheitsdatenblatt und Analysezertifikat) entsprechen unserem letzten Update und sollten lediglich der Orientierung dienen. Wir übernehmen keine Garantie für die Aktualität. Für spezifische Anforderungen bitten wir Sie, uns eine Anfrage zu stellen.

Alle Produkte sind nur für Forschungszwecke bestimmt. Nicht für den menschlichen, tierärztlichen oder therapeutischen Gebrauch.

Menge: 100 ul
Lieferbar: In stock
lieferbar

Vergleichen

Auf den Wunschzettel

Angebot anfordern

Lieferzeit anfragen

Technische Frage stellen

Bulk-Anfrage stellen

Fragen zum Produkt?
 
Schließen