Vergleich

PTK2B Antibody (C-term)

ArtNr ABC-AW5340-U100
Hersteller Abcepta
Menge 100 ul
Kategorie
Typ Antibody Primary
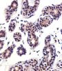
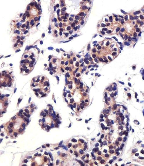
Applikationen WB, IHC-P
Specific against Human (Homo sapiens)
Host Rabbit
Isotype IgG
Citations Lev S.,et al.Nature 376:737-745(1995).
Herzog H.,et al.Genomics 32:484-486(1996).
Sasaki H.,et al.J. Biol. Chem. 270:21206-21219(1995).
Avraham S.,et al.J. Biol. Chem. 270:27742-27751(1995).
Li X.,et al.J. Biol. Chem. 273:9361-9364(1998).
ECLASS 10.1 32160702
ECLASS 11.0 32160702
UNSPSC 12352203
Similar products Protein-tyrosine kinase 2-beta, Calcium-dependent tyrosine kinase, Calcium-regulated non-receptor proline-rich tyrosine kinase, Cell adhesion kinase beta, Focal adhesion kinase 2, Proline-rich tyrosine kinase 2, CADTK, CAKB, RAFTK, FADK 2, Related adhesion focal tyrosine kinase, CAK-beta
Lieferbar
Manufacturer - Category
Primary Antibodies; Anti-Kinome Antibodies; Immunity; Chemokine signaling; Inflammation mediated by chemokine and cytokine signaling
Manufacturer - Targets
This PTK2B antibody is generated from a rabbit immunized with a KLH conjugated synthetic peptide between 805-838 amino acids from the C-terminal region of human PTK2B.
Bio Background
Non-receptor protein-tyrosine kinase that regulates reorganization of the actin cytoskeleton, cell polarization, cell migration, adhesion, spreading and bone remodeling. Plays a role in the regulation of the humoral immune response, and is required for normal levels of marginal B-cells in the spleen and normal migration of splenic B-cells. Required for normal macrophage polarization and migration towards sites of inflammation. Regulates cytoskeleton rearrangement and cell spreading in T- cells, and contributes to the regulation of T-cell responses. Promotes osteoclastic bone resorption; this requires both PTK2B/PYK2 and SRC. May inhibit differentiation and activity of osteoprogenitor cells. Functions in signaling downstream of integrin and collagen receptors, immune receptors, G-protein coupled receptors (GPCR), cytokine, chemokine and growth factor receptors, and mediates responses to cellular stress. Forms multisubunit signaling complexes with SRC and SRC family members upon activation; this leads to the phosphorylation of additional tyrosine residues, creating binding sites for scaffold proteins, effectors and substrates. Regulates numerous signaling pathways. Promotes activation of phosphatidylinositol 3-kinase and of the AKT1 signaling cascade. Promotes activation of NOS3. Regulates production of the cellular messenger cGMP. Promotes activation of the MAP kinase signaling cascade, including activation of MAPK1/ERK2, MAPK3/ERK1 and MAPK8/JNK1. Promotes activation of Rho family GTPases, such as RHOA and RAC1. Recruits the ubiquitin ligase MDM2 to P53/TP53 in the nucleus, and thereby regulates P53/TP53 activity, P53/TP53 ubiquitination and proteasomal degradation. Acts as a scaffold, binding to both PDPK1 and SRC, thereby allowing SRC to phosphorylate PDPK1 at ' Tyr-9, ' Tyr-373' , and ' Tyr-376' . Promotes phosphorylation of NMDA receptors by SRC family members, and thereby contributes to the regulation of NMDA receptor ion channel activity and intracellular Ca(2+) levels. May also regulate potassium ion transport by phosphorylation of potassium channel subunits. Phosphorylates SRC; this increases SRC kinase activity. Phosphorylates ASAP1, NPHP1, KCNA2 and SHC1. Promotes phosphorylation of ASAP2, RHOU and PXN; this requires both SRC and PTK2/PYK2.
Clonality
Polyclonal
Gene Name
PTK2B
Subtitle
Purified Rabbit Polyclonal Antibody (Pab)
Reactivity
H
Predicted Reactivity
M, Rat
Calculated Molecular Weight
115875
Antigen Source
HUMAN
Antigen Region
805-838
Formulation
Purified polyclonal antibody supplied in PBS with 0.09% (W/V) sodium azide. This antibody is purified through a protein A column, followed by peptide affinity purification.
Dilution
WB: 1:1000
IHC-P: 1:25
Antigen Type
Synthetic Peptide
Manufacturer - Alias
Protein-tyrosine kinase 2-beta, Calcium-dependent tyrosine kinase, CADTK, Calcium-regulated non-receptor proline-rich tyrosine kinase, Cell adhesion kinase beta, CAK-beta, CAKB, Focal adhesion kinase 2, FADK 2, Proline-rich tyrosine kinase 2, Related adhesion focal tyrosine kinase, RAFTK
Manufacturer - Similar
Protein-tyrosine kinase 2-beta, Calcium-dependent tyrosine kinase, CADTK, Calcium-regulated non-receptor proline-rich tyrosine kinase, Cell adhesion kinase beta, CAK-beta, CAKB, Focal adhesion kinase 2, FADK 2, Proline-rich tyrosine kinase 2, Related adhesion focal tyrosine kinase, RAFTK

Hinweis: Die dargestellten Informationen und Dokumente (Bedienungsanleitung, Produktdatenblatt, Sicherheitsdatenblatt und Analysezertifikat) entsprechen unserem letzten Update und sollten lediglich der Orientierung dienen. Wir übernehmen keine Garantie für die Aktualität. Für spezifische Anforderungen bitten wir Sie, uns eine Anfrage zu stellen.

Alle Produkte sind nur für Forschungszwecke bestimmt. Nicht für den menschlichen, tierärztlichen oder therapeutischen Gebrauch.

Menge: 100 ul
Lieferbar: In stock
lieferbar

Vergleichen

Auf den Wunschzettel

Angebot anfordern

Lieferzeit anfragen

Technische Frage stellen

Bulk-Anfrage stellen

Fragen zum Produkt?
 
Schließen