Vergleich

RAB35 Antibody (C-term)

ArtNr ABC-AW5404-U100
Hersteller Abcepta
Menge 100 ul
Kategorie
Typ Antibody Primary
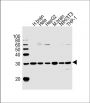
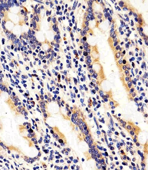
Applikationen WB, IHC-P
Specific against Human (Homo sapiens), Mouse (Murine, Mus musculus)
Host Rabbit
Isotype IgG
Citations Zhu A.X.,et al.Biochem. Biophys. Res. Commun. 205:1875-1882(1994).
Puhl H.L. III,et al.Submitted (APR-2002) to the EMBL/GenBank/DDBJ databases.
Kalnine N.,et al.Submitted (OCT-2004) to the EMBL/GenBank/DDBJ databases.
Halleck A.,et al.Submitted (JUN-2004) to the EMBL/GenBank/DDBJ databases.
Ota T.,et al.Nat. Genet. 36:40-45(2004).
ECLASS 10.1 32160702
ECLASS 11.0 32160702
UNSPSC 12352203
Alias Ras-related protein Rab-35,GTP-binding protein RAY,Ras-related protein Rab-1C,RAB35,RAB1C,RAY
Similar products RAB35, RAB1C, RAY, Ras-related protein Rab-35, GTP-binding protein RAY, Ras-related protein Rab-1C
Lieferbar
Manufacturer - Category
Primary Antibodies
Manufacturer - Targets
This RAB35 antibody is generated from a rabbit immunized with a KLH conjugated synthetic peptide between 166-199 amino acids from the C-terminal region of human RAB35.
Bio Background
The small GTPases Rab are key regulators of intracellular membrane trafficking, from the formation of transport vesicles to their fusion with membranes. Rabs cycle between an inactive GDP-bound form and an active GTP-bound form that is able to recruit to membranes different sets of downstream effectors directly responsible for vesicle formation, movement, tethering and fusion. That Rab is involved in the process of endocytosis and is an essential rate-limiting regulator of the fast recycling pathway back to the plasma membrane. During cytokinesis, required for the postfurrowing terminal steps, namely for intercellular bridge stability and abscission, possibly by controlling phosphatidylinositol 4, 5-bis phosphate (PIP2) and SEPT2 localization at the intercellular bridge. May indirectly regulate neurite outgrowth.
Clonality
Polyclonal
Gene Name
RAB35
Subtitle
Purified Rabbit Polyclonal Antibody (Pab)
Reactivity
H, M
Predicted Reactivity
Rat
Calculated Molecular Weight
23025
Antigen Source
HUMAN
Antigen Region
166-199
Formulation
Purified polyclonal antibody supplied in PBS with 0.09% (W/V) sodium azide. This antibody is purified through a protein A column, followed by peptide affinity purification.
Dilution
WB: 1:1000
IHC-P: 1:25
Antigen Type
Synthetic Peptide

Hinweis: Die dargestellten Informationen und Dokumente (Bedienungsanleitung, Produktdatenblatt, Sicherheitsdatenblatt und Analysezertifikat) entsprechen unserem letzten Update und sollten lediglich der Orientierung dienen. Wir übernehmen keine Garantie für die Aktualität. Für spezifische Anforderungen bitten wir Sie, uns eine Anfrage zu stellen.

Alle Produkte sind nur für Forschungszwecke bestimmt. Nicht für den menschlichen, tierärztlichen oder therapeutischen Gebrauch.

Menge: 100 ul
Lieferbar: In stock
lieferbar

Vergleichen

Auf den Wunschzettel

Angebot anfordern

Lieferzeit anfragen

Technische Frage stellen

Bulk-Anfrage stellen

Fragen zum Produkt?
 
Schließen