Vergleich

Mammaglobin-A Recombinant Antibody AE00372 Europäischer Partner

ArtNr AE00372-0.2mg-B
Hersteller Aeonian Biotech
Menge 0.2mg
Kategorie
Typ Antibody Monoclonal, recombinant
Applikationen IHC
Clon AE457R
Specific against Human (Homo sapiens)
Host Rabbit
Isotype IgG
Formula 1mg igG/ml in PBS with 0.05% azide upon quotation
ECLASS 10.1 42030590
ECLASS 11.0 42030590
UNSPSC 12352203
Alias Mammaglobin-A; secretoglobin family 2A member 2; mammaglobin A; mammaglobin-1; MGB1; UGB2; SCGB2A2
Lieferbar
Description
Specific, and tissue microarray-validated rabbit recombinant antibody clone AE457R to human Mammaglobin-A
Principle name
Mammaglobin-A
immunogen
Recombinant full length human Mammaglobin-A protein
purification method
By Protein A from bioreactor concentrate
Cell. Localization
secreted
Positive controls
breast, breast carcinoma
RRID
AB_2921273
IHC comments
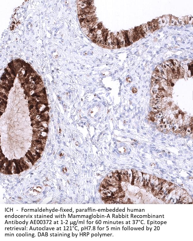
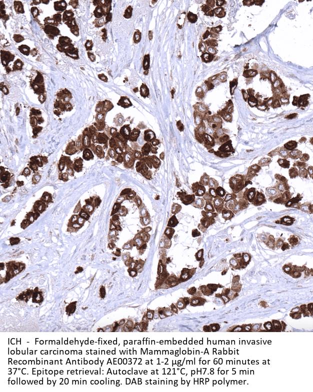
AE00372 to Mammaglobin-A was successfully used to stain luminal cells in human breast, and endocervix, and tumour cells in invasive lobular carcinoma sections. Recommended concentration: 1-3 μg/ml
Tissue Microarray Validation (Normal tissue)
strong positive: breast; endocervix | weak to moderate: endometrium pregnancy; epididymis | no staining at all: adipose; aorta, media; appendix mucosa; appendix muscular wall; bone marrow; bronchus mucosa; cerebellum; cerebrum; colon mucosa; colon muscular wall; duodenum Brunner gland; duodenum mucosa; ectocervix; esophagus squamous epithelium; fallopian tube; gallbladder; heart muscle; ileum mucosa; kidney; liver; lung; lymph node; myometrium; ovarian stroma; pancreas; parathyroid gland; parotid gland; pituitary gland posterior lobe; placenta; prostate; rectum mucosa; seminal vesicle; sinus paranasalis; skeletal muscle; skin; spleen; stomach; testis; thymus; thyroid gland; tonsil; urinary bladder muscular wall
Tissue Microarray Validation (Cancer tissue)
strong positive: endometrioid endometrial carcinoma; endometrioid ovarian carcinoma; invasive lobular carcinoma; pleomorphic adenoma | weak to moderate: | no staining at all: cholangiocarcinoma; clear cell renal cell carcinoma; high-grade serous carcinoma; medullary thyroid cancer; pancreas neuroendocrine tumor; pancreatic ductal adenocarcinoma; prostate adenocarcinoma; seminoma; small cell lung carcinoma; urothelial carcinoma
Expiration
Integrity warranted for 24 months after purchase when handled and stored according to instructions, see below.
Storage
Avoid repeated freeze/thaw cycles. For long term storage, keep small aliquots at -20°C or -80°C and keep one aliquot at 4°C for daily experimentations. Azide will preserve antibody at 4°C for 6-12 months, when kept away from direct sun light.
Warranty
This product is only warranted for the specifications as described in this product sheet and only when the product is handled and stored according to instructions. User should validate this antibody in the application and tissue/cell type as required, after confirmation of integrity upon receipt is obtained by reproducing the performance as described below. Should such confirmation not be attempted, any warranty is void. In case of non-conformance, user needs to contact us immediately for replacement or refund.
Liability
This product is for in vitro research use only. Any other applications, such as diagnostics or therapeutics, or in vivo experiments, and the validation of this product therein, are solely at the responsibility of the buyer/user.

Hinweis: Die dargestellten Informationen und Dokumente (Bedienungsanleitung, Produktdatenblatt, Sicherheitsdatenblatt und Analysezertifikat) entsprechen unserem letzten Update und sollten lediglich der Orientierung dienen. Wir übernehmen keine Garantie für die Aktualität. Für spezifische Anforderungen bitten wir Sie, uns eine Anfrage zu stellen.

Alle Produkte sind nur für Forschungszwecke bestimmt. Nicht für den menschlichen, tierärztlichen oder therapeutischen Gebrauch.

Menge: 0.2mg
Lieferbar: In stock
lieferbar

Vergleichen

Auf den Wunschzettel

Angebot anfordern

Lieferzeit anfragen

Technische Frage stellen

Bulk-Anfrage stellen

Fragen zum Produkt?