Vergleich

Chromogranin A(CHGA/798), 1mg/mL

ArtNr B-BNUM0798-50
Hersteller Biotium
Menge 50 uL
Kategorie
Typ Antibody Monoclonal
Format Liquid
Applikationen IHC
Clon CHGA/798
Specific against Human (Homo sapiens), Rat (Rattus norvegicus)
Host Mouse
Isotype IgG1 Kappa
ECLASS 10.1 42030590
ECLASS 11.0 42030590
UNSPSC 12352203
Alias Beta-Granin,CGA,CHGA,Chromogranin A Parathyroid Secretory Protein 1,ER-37,Pancreastatin,Parastatin,Pituitary Secretory Protein I,SP-I,Vasostatin I or II
Versandbedingung Raumtemperatur
Lieferbar
Manufacturer - Type
Primary
Manufacturer - Applications
IHC, FFPE (verified)
Manufacturer - Category
Primary Antibodies Only
Manufacturer - Targets
CHGA|Chromogranin A
Manufacturer - Conjugate / Tag
Purified, BSA-free
Manufacturer - Host
Mus musculus (mouse)
Shipping Temperature
Room Temperature (Next day)
Storage Conditions
Store at -10 to -35 °C|Protect fluorescent conjugates from light
Molecular Weight
68-75 kDa
Manufacturer - Research Area
Cancer|Endocrinology
Description
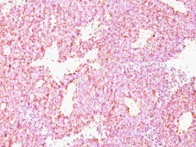
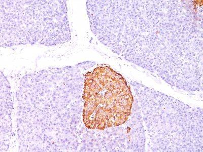
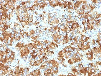
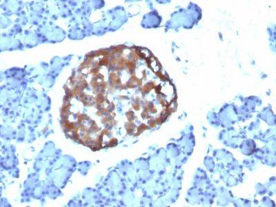
Chromogranin A is present in neuroendocrine cells throughout the body, including the neuroendocrine cells of the large and small intestine, adrenal medulla and pancreatic islets. It is an excellent marker for carcinoid tumors, pheochromocytomas, paragangliomas, and other neuroendocrine tumors. Co-expression of chromogranin A and neuron specific enolase (NSE) is common in neuroendocrine neoplasms. Reportedly, co-expression of certain keratins and chromogranin indicates neuroendocrine lineage. The presence of strong anti-chromogranin staining and absence of anti-keratin staining should raise the possibility of paraganglioma. The co-expression of chromogranin and NSE is typical of neuroendocrine neoplasms. Most pituitary adenomas and prolactinomas readily express chromogranin.Primary antibodies are available purified, or with a selection of fluorescent CF® Dyes and other labels. CF® Dyes offer exceptional brightness and photostability. Note: Conjugates of blue fluorescent dyes like CF®405S and CF®405M are not recommended for detecting low abundance targets, because blue dyes have lower fluorescence and can give higher non-specific background than other dye colors.
Product origin
Animal
Ingredient of biological origin
Mus musculus (mouse)
Undated stability guarantee in PI
2 years
Stability at RT during shipping (protected from light)
Stable at room temperature or 37°C (98°F) for 7 days.
UNSPSC Commodity
41116161
UNSPSC Commodity Title
Primary and secondary antibodies for multiple methodologyimmunostaining detection application
Classified or regulated chemicals
PBS, no BSA, no sodium azide (CAS 26628-22-8)
Concentration
1 mg/mL
Storage buffer
PBS, no BSA, no azide
Dated shelf life printed on label
Guaranteed for at least 24 months from date of receipt when stored as recommended
Immunogen (Secondaries, for anti tag only)
Recombinant human CHGA protein
Clonality
Monoclonal
Regulatory Status
For research use only (RUO)
Human Gene Symbol
CHGA
Unigene
150793
Positive Control
PC12 cells. Adrenal gland, bowel, thyroid, pancreas, or pheochromocytoma.
Antibody target cellular localization
Vesicular
Cell tissue expression
Neuroendocrine cells
Tumor expression
Neuroendocrine cancer|Pituitary cancer
Antibody applications
IHC, FFPE (verified)
Verified antibody applications
IHC (FFPE) (verified)
Antibody application notes
Higher concentration may be required for direct detection using primary antibody conjugates than for indirect detection with secondary antibody|Immunofluorescence: 0.5-1 ug/mL|Immunohistology formalin-fixed 0.25-0.5 ug/mL|Staining of formalin-fixed tissues requires boiling tissue sections in 10 mM citrate buffer, pH 6.0, for 10-20 min followed by cooling at RT for 20 minutes|Flow Cytometry 0.5-1 ug/million cells/0.1 mL|Optimal dilution for a specific application should be determined by user
Manufacturer - Antibody Reactivity
CHGA|Chromogranin A
Antibody number
#0798

Hinweis: Die dargestellten Informationen und Dokumente (Bedienungsanleitung, Produktdatenblatt, Sicherheitsdatenblatt und Analysezertifikat) entsprechen unserem letzten Update und sollten lediglich der Orientierung dienen. Wir übernehmen keine Garantie für die Aktualität. Für spezifische Anforderungen bitten wir Sie, uns eine Anfrage zu stellen.

Alle Produkte sind nur für Forschungszwecke bestimmt. Nicht für den menschlichen, tierärztlichen oder therapeutischen Gebrauch.

Menge: 50 uL
Lieferbar: In stock
lieferbar

Vergleichen

Auf den Wunschzettel

Angebot anfordern

Lieferzeit anfragen

Technische Frage stellen

Bulk-Anfrage stellen

Fragen zum Produkt?
 
Schließen