Vergleich

SMAD2 Antibody

ArtNr PRS-28-923-100ul
Hersteller ProSci
Menge 100 ul
Kategorie
Typ Antibody Polyclonal
Format Liquid
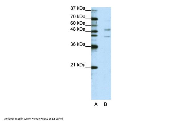
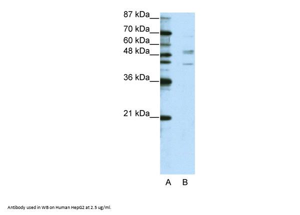
Applikationen WB, ELISA
Specific against Human (Homo sapiens), Mouse (Murine, Mus musculus), Rat (Rattus norvegicus), Dog (Canine, Canis lupus familiaris), Zebrafish (Danio rerio)
Host Rabbit
Konjugat/Tag Unconjugated
Citations Zheng, X., (2006) EMBO J. 25 (3), 615-627.
NCBI SMAD2
ECLASS 10.1 32160702
ECLASS 11.0 32160702
UNSPSC 12352203
Alias SMAD2,JV18,MADH2,MADR2,JV18-1,hMAD-2,hSMAD2
Versandbedingung Gekühlt
Lieferbar
Manufacturer - Type
Primary Antibodies
Shipping Temperature
Blue Ice
Storage Conditions
For short periods of storage (days) store at 4˚ C. For longer periods of storage, store SMAD2 antibody at -20˚ C. As with any antibody avoid repeat freeze-thaw cycles.
Molecular Weight
51 kDa, 52 kDa, 48 kDa
Manufacturer - Research Area
Transcription , Cancer
Background
SMAD2 belongs to the SMAD, a family of proteins similar to the gene products of the Drosophila gene 'mothers against decapentaplegic' (Mad) and the C. elegans gene Sma. SMAD proteins are signal transducers and transcriptional modulators that mediate multiple signaling pathways. SMAD2 mediates the signal of the transforming growth factor (TGF)-beta, and thus regulates multiple cellular processes, such as cell proliferation, apoptosis, and differentiation. SMAD2 is recruited to the TGF-beta receptors through its interaction with the SMAD anchor for receptor activation (SARA) protein. In response to TGF-beta signal, SMAD2 is phosphorylated by the TGF-beta receptors. The phosphorylation induces the dissociation of this protein with SARA and the association with the family member SMAD4. The association with SMAD4 is important for the translocation of this protein into the nucleus, where it binds to target promoters and forms a transcription repressor complex with other cofactors. This protein can also be phosphorylated by activin type 1 receptor kinase, and mediates the signal from the activin.The protein encoded by this gene belongs to the SMAD, a family of proteins similar to the gene products of the Drosophila gene 'mothers against decapentaplegic' (Mad) and the C. elegans gene Sma. SMAD proteins are signal transducers and transcriptional modulators that mediate multiple signaling pathways. This protein mediates the signal of the transforming growth factor (TGF)-beta, and thus regulates multiple cellular processes, such as cell proliferation, apoptosis, and differentiation. This protein is recruited to the TGF-beta receptors through its interaction with the SMAD anchor for receptor activation (SARA) protein. In response to TGF-beta signal, this protein is phosphorylated by the TGF-beta receptors. The phosphorylation induces the dissociation of this protein with SARA and the association with the family member SMAD4. The association with SMAD4 is important for the translocation of this protein into the nucleus, where it binds to target promoters and forms a transcription repressor complex with other cofactors. This protein can also be phosphorylated by activin type 1 receptor kinase, and mediates the signal from the activin. Alternatively spliced transcript variants encoding the same protein have been observed.
By Type
Transcription, Cancer
Modifications
None
Protein Gi #
5174511
Purification
Antibody is purified by protein A chromatography method.
Positive Control 1
Cat. No. 1211 - HepG2 Cell Lysate
Concentration
batch dependent
Buffer
Purified antibody supplied in 1x PBS buffer with 0.09% (w/v) sodium azide and 2% sucrose.
Application Note
SMAD2 antibody can be used for detection of SMAD2 by ELISA at 1:1562500. SMAD2 antibody can be used for detection of SMAD2 by western blot at 2.5 μ g/mL, and HRP conjugated secondary antibody should be diluted 1:50, 000 - 100, 000.
Immunogen
Antibody produced in rabbits immunized with a synthetic peptide corresponding a region of human SMAD2.
Clonality
Polyclonal
NCBI Official Name
SMAD family member 2
NCBI Organism
Homo sapiens
Disclaimer
This product is for research use only.
User Note
Optimal dilutions for each application to be determined by the researcher.

Hinweis: Die dargestellten Informationen und Dokumente (Bedienungsanleitung, Produktdatenblatt, Sicherheitsdatenblatt und Analysezertifikat) entsprechen unserem letzten Update und sollten lediglich der Orientierung dienen. Wir übernehmen keine Garantie für die Aktualität. Für spezifische Anforderungen bitten wir Sie, uns eine Anfrage zu stellen.

Alle Produkte sind nur für Forschungszwecke bestimmt. Nicht für den menschlichen, tierärztlichen oder therapeutischen Gebrauch.

Menge: 100 ul
Lieferbar: In stock
lieferbar

Vergleichen

Auf den Wunschzettel

Angebot anfordern

Lieferzeit anfragen

Technische Frage stellen

Bulk-Anfrage stellen

Fragen zum Produkt?
 
Schließen