Vergleich

Anti-Cox-1 (S585) PTGS1 Antibody Europäischer Partner

ArtNr BOS-A00811S585
Hersteller Boster
Menge 100 ul
Kategorie
Format Liquid
Applikationen WB, IP, IHC
Specific against Human (Homo sapiens), Mouse (Murine, Mus musculus), Rat (Rattus norvegicus)
Host Rabbit
Alias Prostaglandin G/H synthase 1,1.14.99.1,Cyclooxygenase-1,COX-1,Prostaglandin H2 synthase 1,PGH synthase 1,PGHS-1,PHS 1,Prostaglandin-endoperoxide synthase 1,PTGS1,COX1
Lieferbar
Manufacturer - Category
Primary Antibodies
Storage Conditions
Store at -20°C for one year. For short term storage and frequent use, store at 4°C for up to one month. Avoid repeated freeze-thaw cycles.
Molecular Weight
68686 MW
Clonality
Polyclonal
Application Details
WB: 1:500-1:1000
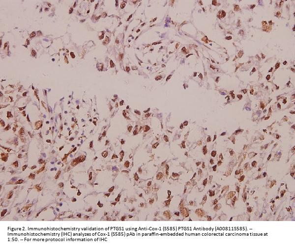
IHC: 1:50-1:200
IP: 1:50-1:200
Gene Name
PTGS1
Gene Full Name
Prostaglandin G/H synthase 1
Immunogen
Synthetic peptide, corresponding to amino acids 555-600 of Human PTGS1.
Contents
Rabbit IgG, 1mg/ml in PBS with 0.02% sodium azide, 50% glycerol, pH7.2
Purification
The antibody was affinity-purified from rabbit antiserum by affinity-chromatography using epitope-specific immunogen and the purity is > 95% (by SDS-PAGE).
Concentration
1 mg/ml
Protein Name
Prostaglandin G/H synthase 1
Protein Function
Converts arachidonate to prostaglandin H2 (PGH2), a
committed step in prostanoid synthesis. Involved in the
constitutive production of prostanoids in particular in the
stomach and platelets. In gastric epithelial cells, it is a key
step in the generation of prostaglandins, such as prostaglandin E2
(PGE2), which plays an important role in cytoprotection. In
platelets, it is involved in the generation of thromboxane A2
(TXA2), which promotes platelet activation and aggregation,
vasoconstriction and proliferation of vascular smooth muscle
cells.
Subcellular Localization
Microsome membrane; Peripheral membrane
protein. Endoplasmic reticulum membrane; Peripheral membrane
protein.
Description
Boster Bio Anti-Cox-1 (S585) PTGS1 Antibody catalog # A00811S585. Tested in WB, IHC, IP applications. This antibody reacts with Human, Mouse, Rat.

Hinweis: Die dargestellten Informationen und Dokumente (Bedienungsanleitung, Produktdatenblatt, Sicherheitsdatenblatt und Analysezertifikat) entsprechen unserem letzten Update und sollten lediglich der Orientierung dienen. Wir übernehmen keine Garantie für die Aktualität. Für spezifische Anforderungen bitten wir Sie, uns eine Anfrage zu stellen.

Alle Produkte sind nur für Forschungszwecke bestimmt. Nicht für den menschlichen, tierärztlichen oder therapeutischen Gebrauch.

Menge: 100 ul
Lieferbar: In stock
lieferbar

Vergleichen

Auf den Wunschzettel

Angebot anfordern

Lieferzeit anfragen

Technische Frage stellen

Bulk-Anfrage stellen

Fragen zum Produkt?