Vergleich

Anti-Nicastrin/NCSTN Antibody Picoband® Europäischer Partner

ArtNr BOS-A03144-1-iFluor647
Hersteller Boster
Menge 100 ug
Quantity options 100 ug/vial 10 ug 100 ug/vial 100 ug/vial 100 ug/vial 100 ug 100 ug 100 ug 100 ug/vial 100 ug/vial 100 ug/vial 100 ug/vial
Kategorie
Typ Antibody
Format Lyophilized
Applikationen WB, IF, ICC, ELISA
Specific against Human (Homo sapiens), Mouse (Murine, Mus musculus), Rat (Rattus norvegicus)
Host Rabbit
Isotype IgG
Sensitivity <10 pg/ml
Citations 1. Entrez Gene: NCSTN nicastrin
2. Nagase T, Seki N, Ishikawa K, Ohira M, Kawarabayasi Y, Ohara O, Tanaka A, Kotani H, Miyajima N, Nomura N (October 1996).Prediction of the coding sequences of unidentified human genes. VI. The coding sequences of 80 new genes (KIAA0201-KIAA0280) deduced by analysis of cDNA clones from cell line KG-1 and brain. DNA Res. 3 (5): 321–9, 341–54.
3. Zhang YW, Luo WJ, Wang H, Lin P, Vetrivel KS, Liao F, Li F, Wong PC, Farquhar MG, Thinakaran
G, Xu H (April 2005).Nicastrin is critical for stability and trafficking but not association of other presenilin/gamma-secretase components.J. Biol. Chem. 280 (17): 17020–6.
ECLASS 10.1 32160702
ECLASS 11.0 32160702
UNSPSC 12352203
Alias Glutamate decarboxylase 2,65 kDa glutamic acid decarboxylase,GAD-65,Glutamate decarboxylase 65 kDa isoform,GAD2,GAD65
Lieferbar
Manufacturer - Category
Primary Antibodies
Manufacturer - Conjugate / Tag
iFluor647
Storage Conditions
At -20°C for one year from date of receipt. After reconstitution, at 4°C for one month. It can also be aliquotted and stored frozen at -20°C for six months. Avoid repeated freezing and thawing.
Observed Molecular weight
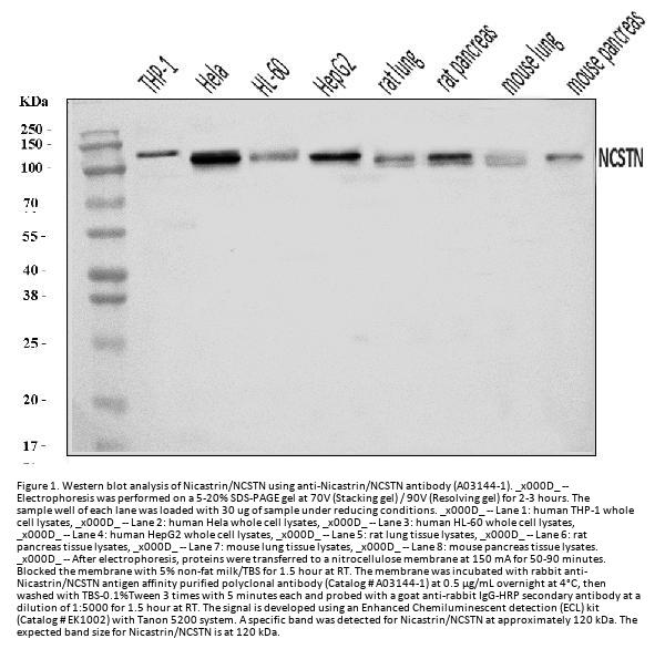
120 kDa
Calculated Molecular weight
65411 MW
Clonality
Polyclonal
Application Details
Western blot, 0.25-0.5 μg/ml, Human, Mouse, Rat
Immunocytochemistry/Immunofluorescence, 5 μg/ml, Human
ELISA, 0.1-0.5 μg/ml
Gene Name
NCSTN
Gene Full Name
glutamate decarboxylase 2 (pancreatic islets and brain, 65kDa)
Background
Nicastrin, also known asNCSTN, is aproteinthat is a part of the gamma secretaseprotein complex. It is mapped to 1q23.2. This gene is not catalytically active, but instead promotes the maturation and proper trafficking of the other proteins in the gamma secretaseprotein complex, all of which undergo significant post-translational modificationbefore becoming active in the cell. NCSTN encodes a Type I transmembrane glycoprotein that is an integral component of the multimeric gamma-secretase complex.The encoded protein cleaves integral membrane proteins, including Notch receptors and beta-amyloid precursor protein, and may be a stabilizing cofactor required for gamma-secretase complex assembly.The cleavage of beta-amyloid precursor protein yields amyloid beta peptide, the main component of the neuritic plaque and the hallmark lesion in the brains of patients with Alzheimer's disease. Nicastrin has also been identified as a regulator of neprilysin, anenzymeinvolved in the degradation of amyloid beta fragment.
Immunogen
E.coli-derived human Nicastrin/NCSTN recombinant protein (Position: N34-E669).
Contents
Each vial contains 4 mg Trehalose, 0.9 mg NaCl, 0.2 mg Na2HPO4.
Purification
Immunogen affinity purified.
Reconstitution
Adding 0.2 ml of distilled water will yield a concentration of 500 μg/ml.
Concentration
Adding 0.2 ml of distilled water will yield a concentration of 500 μg/ml.
Manufacturer - Research Category
Amino Acid Metabolism, Amino Acids, Cancer, Metabolic Signaling Pathways, Metabolism, Neurology Process, Neuroscience, Neurotransmitter, Pathways and Processes
Protein Name
Glutamate decarboxylase 2
Protein Function
Catalyzes the production of GABA.
Subcellular Localization
Cytoplasm, cytosol.
Description
Boster Bio Anti-heavy chain Nicastrin/NCSTN Antibody Picoband® catalog # A03144-1. Tested in ELISA, IF, ICC, WB applications. This antibody reacts with Human, Mouse, Rat. The brand Picoband indicates this is a premium antibody that guarantees superior quality, high affinity, and strong signals with minimal background in Western blot applications. Only our best-performing antibodies are designated as Picoband, ensuring unmatched performance.
Tissue Specificity
Detected in thymus and in activated splenocytes.
Manufacturer - Cross Reactivity
No cross-reactivity with other proteins.

Hinweis: Die dargestellten Informationen und Dokumente (Bedienungsanleitung, Produktdatenblatt, Sicherheitsdatenblatt und Analysezertifikat) entsprechen unserem letzten Update und sollten lediglich der Orientierung dienen. Wir übernehmen keine Garantie für die Aktualität. Für spezifische Anforderungen bitten wir Sie, uns eine Anfrage zu stellen.

Alle Produkte sind nur für Forschungszwecke bestimmt. Nicht für den menschlichen, tierärztlichen oder therapeutischen Gebrauch.

Menge: 100 ug
Lieferbar: In stock
lieferbar

Vergleichen

Auf den Wunschzettel

Angebot anfordern

Lieferzeit anfragen

Technische Frage stellen

Bulk-Anfrage stellen

Fragen zum Produkt?