Vergleich

Anti-PARK2 (T125) PRKN Antibody Europäischer Partner

ArtNr BOS-A31800T125
Hersteller Boster
Menge 100 ul
Kategorie
Format Liquid
Applikationen IHC
Specific against Human (Homo sapiens), Mouse (Murine, Mus musculus), Rat (Rattus norvegicus)
Host Rabbit
Alias E3 ubiquitin-protein ligase parkin,Parkin,2.3.2.31
Lieferbar
Manufacturer - Category
Primary Antibodies
Storage Conditions
Store at -20°C for one year. For short term storage and frequent use, store at 4°C for up to one month. Avoid repeated freeze-thaw cycles.
Molecular Weight
51641 MW
Clonality
Polyclonal
Application Details
IHC: 1:50-1:200
Gene Name
PRKN
Gene Full Name
E3 ubiquitin-protein ligase parkin
Immunogen
Synthetic peptide, corresponding to amino acids 101-150 of Human PARK2.
Contents
Rabbit IgG, 1mg/ml in PBS with 0.02% sodium azide, 50% glycerol, pH7.2
Purification
The antibody was affinity-purified from rabbit antiserum by affinity-chromatography using epitope-specific immunogen and the purity is > 95% (by SDS-PAGE).
Concentration
1 mg/ml
Protein Name
E3 ubiquitin-protein ligase parkin
Protein Function
Functions within a multiprotein E3 ubiquitin ligase
complex, catalyzing the covalent attachment of ubiquitin moieties
onto substrate proteins, such as BCL2, SYT11, CCNE1, GPR37,
RHOT1/MIRO1, MFN1, MFN2, STUB1, SNCAIP, SEPT5, TOMM20, USP30,
ZNF746 and AIMP2 (PubMed:10973942, PubMed:10888878,
PubMed:11431533, PubMed:12150907, PubMed:12628165,
PubMed:16135753, PubMed:21376232, PubMed:23754282,
PubMed:23620051, PubMed:24660806, PubMed:24751536). Mediates
monoubiquitination as well as 'Lys-6', 'Lys-11', 'Lys-48'-linked
and 'Lys-63'-linked polyubiquitination of substrates depending on
the context (PubMed:19229105, PubMed:20889974, PubMed:25621951).
Participates in the removal and/or detoxification of abnormally
folded or damaged protein by mediating 'Lys-63'-linked
polyubiquitination of misfolded proteins such as PARK7: 'Lys-63'-
linked polyubiquitinated misfolded proteins are then recognized by
HDAC6, leading to their recruitment to aggresomes, followed by
degradation (PubMed:17846173, PubMed:19229105). Mediates 'Lys-63'-
linked polyubiquitination of a 22 kDa O-linked glycosylated
isoform of SNCAIP, possibly playing a role in Lewy-body formation
(PubMed:11590439, PubMed:11431533, PubMed:19229105,
PubMed:11590439, PubMed:15728840). Mediates monoubiquitination of
BCL2, thereby acting as a positive regulator of autophagy
(PubMed:20889974). Promotes the autophagic degradation of
dysfunctional depolarized mitochondria (mitophagy) by promoting
the ubiquitination of mitochondrial proteins such as TOMM20,
RHOT1/MIRO1 and USP30 (PubMed:19029340, PubMed:19966284,
PubMed:23620051, PubMed:24896179, PubMed:25527291). Preferentially
assembles 'Lys-6'-, 'Lys-11'- and 'Lys-63'-linked polyubiquitin
chains following mitochondrial damage, leading to mitophagy
(PubMed:25621951). Mediates 'Lys-48'-linked polyubiquitination of
ZNF746, followed by degradation of ZNF746 by the proteasome;
possibly playing a role in the regulation of neuron death
(PubMed:21376232). Limits the production of reactive oxygen
species (ROS). Regulates cyclin-E during neuronal apoptosis. In
collaboration with CHPF isoform 2, may enhance cell viability and
protect cells from oxidative stress (PubMed:22082830).
Independently of its ubiquitin ligase activity, protects from
apoptosis by the transcriptional repression of p53/TP53
(PubMed:19801972). May protect neurons against alpha synuclein
toxicity, proteasomal dysfunction, GPR37 accumulation, and
kainate-induced excitotoxicity (PubMed:11439185). May play a role
in controlling neurotransmitter trafficking at the presynaptic
terminal and in calcium-dependent exocytosis. May represent a
tumor suppressor gene.
Subcellular Localization
Cytoplasm, cytosol
Description
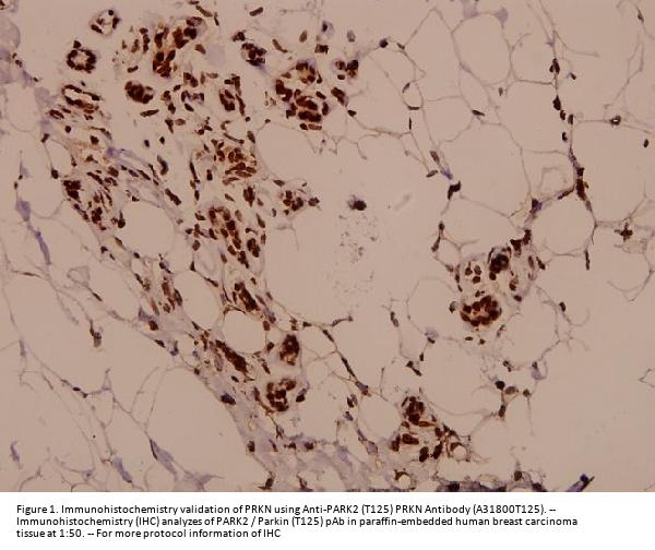
Boster Bio Anti-PARK2 (T125) PRKN Antibody catalog # A31800T125. Tested in IHC applications. This antibody reacts with Human, Mouse, Rat.
Tissue Specificity
Highly expressed in the brain including the
substantia nigra. Expressed in heart, testis and skeletal muscle.
Expression is down-regulated or absent in tumor biopsies, and
absent in the brain of PARK2 patients. Overexpression protects
dopamine neurons from kainate-mediated apoptosis. Found in serum
(at protein level).

Hinweis: Die dargestellten Informationen und Dokumente (Bedienungsanleitung, Produktdatenblatt, Sicherheitsdatenblatt und Analysezertifikat) entsprechen unserem letzten Update und sollten lediglich der Orientierung dienen. Wir übernehmen keine Garantie für die Aktualität. Für spezifische Anforderungen bitten wir Sie, uns eine Anfrage zu stellen.

Alle Produkte sind nur für Forschungszwecke bestimmt. Nicht für den menschlichen, tierärztlichen oder therapeutischen Gebrauch.

Menge: 100 ul
Lieferbar: In stock
lieferbar

Lieferung vsl. bis 20.01.2026 

Vergleichen

Auf den Wunschzettel

Angebot anfordern

Lieferzeit anfragen

Technische Frage stellen

Bulk-Anfrage stellen

Fragen zum Produkt?