Vergleich

Anti-Hsp90 alpha/HSP90AA1 Antibody Picoband® Europäischer Partner

ArtNr BOS-PB9089
Hersteller Boster
Menge 100 ug/vial
Quantity options 100 ug/vial 10 ug 100 ug 100 ug 100 ug 100 ug 100 ug 100 ug 100 ug 100 ug 100 ug 100 ug 100 ug
Kategorie
Typ Antibody Polyclonal
Format Lyophilized
Applikationen WB, FC, IF, IHC, ICC
Specific against Human (Homo sapiens), Mouse (Murine, Mus musculus), Rat (Rattus norvegicus)
Host Rabbit
Isotype IgG
Sensitivity <5 pg/ml
Sequence Contains 1 RHD (Rel-like) domain.
Citations 1. Csermely P, Schnaider T, Soti C, Prohászka Z, Nardai G (August 1998). The 90-kDa molecular chaperone family: structure, function, and clinical applications. A comprehensive review. Pharmacol. Ther. 79 (2): 129–68.
2. Sollars, V., Lu, X., Xiao, L., Wang, X., Garfinkel, M. D., Ruden, D. M. Evidence for an epigenetic mechanism by which Hsp90 acts as a capacitor for morphological evolution. Nature Genet. 33: 70-74, 2003.
3. Solit, D. B., Zheng, F. F., Drobnjak, M., Munster, P. N., Higgins, B., Verbel, D., Heller, G., Tong, W., Cordon-Cardo, C., Agus, D. B., Scher, H. I., Rosen, N. 7-Allylamino-17-demethoxygeldanamycin induces the degradation of androgen receptor and HER-2/neu and inhibits the growth of prostate cancer xenografts. Clin. Cancer Res. 8: 986-993, 2002.
ECLASS 10.1 32160702
ECLASS 11.0 32160702
UNSPSC 12352203
Alias Heat shock protein HSP 90-alpha,Heat shock 86 kDa,HSP 86,HSP86,Lipopolysaccharide-associated protein 2,LAP-2,LPS-associated protein 2,Renal carcinoma antigen NY-REN-38,HSP90AA1,HSP90A,HSPC1,HSPCA
Similar products Heat shock 86 kDa antibody, Heat shock protein HSP 90-alpha antibody, HSP 86 antibody, HSP86 antibody, Hsp89 antibody, HSP90A antibody, HSP90AA1 antibody, HSP90N antibody, HSPC1 antibody, HSPCA antibody, HSPCAL1 antibody, HSPCAL4 antibody, HSPN antibody, LAP2 antibody, Renal carcinoma antigen NY-REN-38 antibody, D6S182 antibody, FLJ26984 antibody, FLJ31884 antibody, heat shock 90kDa protein 1 alpha antibody, Heat shock protein 90kDa alpha cytosolic class A member 1 antibody, Heat shock protein 90kDa alpha cytosolic class B member 1 antibody, Heat shock protein HSP 90 alpha antibody, Heat shock protein HSP 90 beta antibody, HS90A_HUMAN antibody, HSP 84 antibody, Hsp 90 antibody, HSP84 antibody, Hsp90 antibody, HSP90 Beta antibody, HSP90AB1 antibody, HSP90B antibody, HSPC2 antibody, HSPCB antibody, Lipopolysaccharide associated protein2 antibody, LPS associated protein 2 antibody, NY REN 38 antigen antibody
Lieferbar
Manufacturer - Category
Primary Antibodies
Storage Conditions
Store at -20°C for one year from date of receipt. After reconstitution, at 4°C for one month. It can also be aliquotted and stored frozen at -20°C for six months. Avoid repeated freeze-thaw cycles.
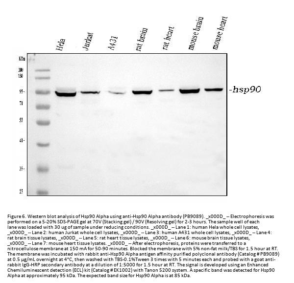
Observed Molecular weight
95 kDa
Calculated Molecular weight
84660 MW
Clonality
Polyclonal
Application Details
Western blot, 0.1-0.5μg/ml, Human, Rat
Immunohistochemistry (Paraffin-embedded Section), 0.5-1μg/ml, Human, Mouse, Rat
Immunocytochemistry , 0.5-1μg/ml, Human, -
Immunocytochemistry/Immunofluorescence, 5μg/ml, Human
Flow Cytometry (Fixed), 1-3μg/1x106 cells, Human
Gene Name
HSP90AA1
Gene Full Name
Heat shock protein HSP 90-alpha
Manufacturer - Specificity
No cross reactivity with other proteins.
Background
Heat shock protein HSP 90-alpha?is a?protein?that in humans is encoded by the?HSP90AA1?gene. The gene, HSP90AA1, encodes the human stress-inducible 90-kDa heat shock protein alpha (Hsp90A). Complemented by the constitutively expressed paralog Hsp90B which shares over 85% amino acid sequence identity, Hsp90A expression is initiated when a cell experiences proteotoxic stress. Once expressed Hsp90A dimers operate as molecular chaperones that bind and fold other proteins into their functional 3-dimensional structures. This molecular chaperoning ability of Hsp90A is driven by a cycle of structural rearrangements fueled by ATP hydrolysis. Current research on Hsp90A focuses in its role as a drug target due to its interaction with a large number of tumor promoting proteins and its role in cellular stress adaptation.
Immunogen
E.coli-derived human Hsp90 alpha recombinant protein (Position: P2-V365). Human Hsp90 alpha shares 99% amino acid (aa) sequence identity with both mouse and rat Hsp90 alpha.
Contents
Each vial contains 5mg BSA, 0.9mg NaCl, 0.2mg Na2HPO4, 0.05mg NaN3.
Purification
Immunogen affinity purified.
Reconstitution
Add 0.2ml of distilled water will yield a concentration of 500ug/ml.
Concentration
Adding 0.2 ml of distilled water will yield a concentration of 500 μg/ml.
Manufacturer - Research Category
Cancer, Chaperones, Heat Shock Proteins, Protein Trafficking, Signal Transduction, Tumor Biomarkers
Protein Name
Heat shock protein HSP 90-alpha
Protein Function
Molecular chaperone that promotes the maturation, structural maintenance and proper regulation of specific target proteins involved for instance in cell cycle control and signal transduction. Undergoes a functional cycle that is linked to its ATPase activity. This cycle probably induces conformational changes in the client proteins, thereby causing their activation. Interacts dynamically with various co-chaperones that modulate its substrate recognition, ATPase cycle and chaperone function. Binds bacterial lipopolysaccharide (LPS) et mediates LPS-induced inflammatory response, including TNF secretion by monocytes.
Subcellular Localization
Cytoplasm. Melanosome. Cell membrane. Identified by mass spectrometry in melanosome fractions from stage I to stage IV.
Description
Boster Bio Anti-Hsp90 alpha/HSP90AA1 Antibody Picoband® catalog # PB9089. Tested in Flow Cytometry, IF, IHC, ICC, WB applications. This antibody reacts with Human, Mouse, Rat. The brand Picoband indicates this is a premium antibody that guarantees superior quality, high affinity, and strong signals with minimal background in Western blot applications. Only our best-performing antibodies are designated as Picoband, ensuring unmatched performance.
Tissue Specificity
Isoform 1 is widely expressed, other isoforms are generally coexpressed with a more restricted distribution. Isoform 2 is expressed in skin, liver, skeletal muscle, cardiac muscle, placenta, umbilical vein endothelial cells, neuroblastoma cells, lymphoma cells, hepatoma cells and astrocytoma cells. Isoform 3 and isoform 4 are expressed in muscle, kidney, liver, placenta, cervical epithelium, umbilical vein endothelial cells, fibroblast cells, embryonal kidney cells, platelets and several blood cell lines. Isoform 4, rather than isoform 3, is selectively expressed in peripheral T-cells. Isoform 3 is expressed in non- proliferating and differentiated prostate gland epithelial cells and in platelets, on the surface of erythroleukemia cells and in various hematopoietic cell lines. Isoform 5 is expressed specifically in striated muscle (skeletal and cardiac muscle).
Sequence Similarities
Contains 1 RHD (Rel-like) domain.
Manufacturer - Cross Reactivity
No cross-reactivity with other proteins

Hinweis: Die dargestellten Informationen und Dokumente (Bedienungsanleitung, Produktdatenblatt, Sicherheitsdatenblatt und Analysezertifikat) entsprechen unserem letzten Update und sollten lediglich der Orientierung dienen. Wir übernehmen keine Garantie für die Aktualität. Für spezifische Anforderungen bitten wir Sie, uns eine Anfrage zu stellen.

Alle Produkte sind nur für Forschungszwecke bestimmt. Nicht für den menschlichen, tierärztlichen oder therapeutischen Gebrauch.

Menge: 100 ug/vial
Lieferbar: In stock
lieferbar

Vergleichen

Auf den Wunschzettel

Angebot anfordern

Lieferzeit anfragen

Technische Frage stellen

Bulk-Anfrage stellen

Fragen zum Produkt?