Vergleich

Anti-MyD88 Antibody Picoband® Europäischer Partner

ArtNr BOS-PB9148
Hersteller Boster
Menge 100 ug/vial
Quantity options 100 ug/vial 10 ug 100 ug 100 ug 100 ug 100 ug 100 ug 100 ug 100 ug 100 ug 100 ug 100 ug 100 ug
Kategorie
Typ Antibody Primary
Format Lyophilized
Applikationen WB, FC, IF, IHC, ICC, ELISA, IHC-F
Specific against Human (Homo sapiens), Mouse (Murine, Mus musculus), Rat (Rattus norvegicus)
Host Rabbit
Isotype IgG
Sensitivity <5 pg/ml
Citations 1. Adachi, O., Kawai, T., Takeda, K., Matsumoto, M., Tsutsui, H., Sakagami, M., Nakanishi, K., Akira, S. Targeted disruption of the MyD88 gene results in loss of IL-1- and IL-18-mediated function. Immunity 9: 143-150, 1998.
2. Bellocchio, S., Montagnoli, C., Bozza, S., Gaziano, R., Rossi, G., Mambula, S. S., Vecchi, A., Mantovani, A., Levitz, S. M., Romani, L. The contribution of the Toll-like/IL-1 receptor superfamily to innate and adaptive immunity to fungal pathogens in vivo. J. Immun. 172: 3059-3069, 2004.
3. Bonnert TP, Garka KE, Parnet P, Sonoda G, Testa JR, Sims JE (January 1997). The cloning and characterization of human MyD88: a member of an IL-1 receptor related family. FEBS letters 402 (1): 81–4.
ECLASS 10.1 32160702
ECLASS 11.0 32160702
UNSPSC 12352203
Alias Myeloid differentiation primary response protein MyD88,MYD88
Similar products MYD 88 antibody, Myd88 antibody, MYD88_HUMAN antibody, MYD88D antibody, Myeloid differentiation marker 88 antibody, Myeloid differentiation primary response gene 88 antibody, Myeloid differentiation primary response gene antibody, Myeloid differentiation primary response protein MyD88 antibody, OTTHUMP00000161718 antibody, OTTHUMP00000208595 antibody, OTTHUMP00000209058 antibody, OTTHUMP00000209059 antibody, OTTHUMP00000209060 antibody
Lieferbar
Manufacturer - Applications
ELISA (Cap), Flow Cytometry, IF, IHC, IHC-F, ICC, WB
Manufacturer - Category
Primary Antibodies
Storage Conditions
Store at -20°C for one year from date of receipt. After reconstitution, at 4°C for one month. It can also be aliquotted and stored frozen at -20°C for six months. Avoid repeated freeze-thaw cycles.
Observed Molecular weight
33 kDa
Calculated Molecular weight
33233 MW
Clonality
Polyclonal
Application Details
Western blot, 0.1-0.5μg/ml
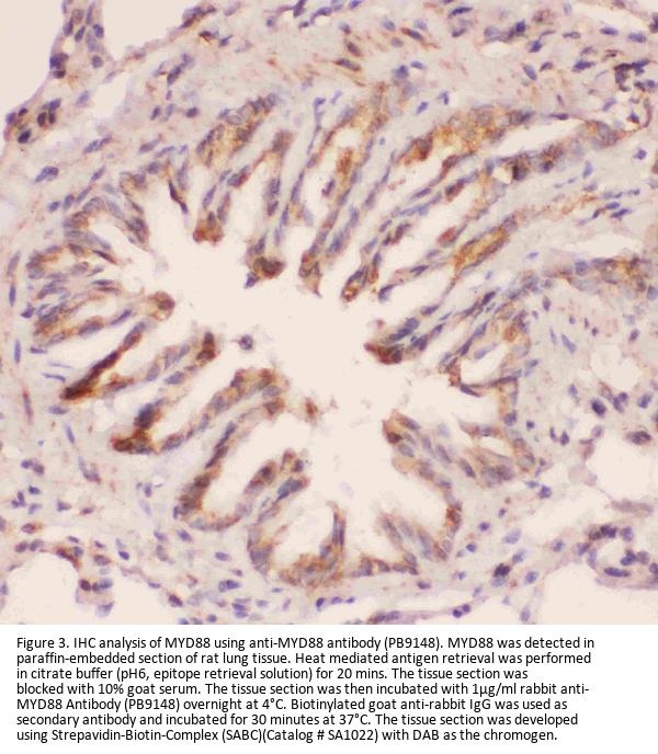
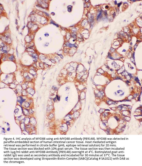
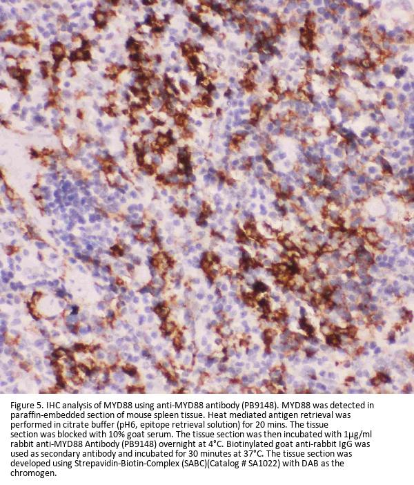
Immunohistochemistry (Paraffin-embedded Section), 0.5-1μg/ml
Immunohistochemistry (Frozen Section), 0.5-1μg/ml
Immunocytochemistry, 0.5-1μg/ml
Immunofluorescence, 2μg/ml
Flow Cytometry (Fixed), 1-3μg/1x106 cells
ELISA (Cap), 1-5μg/ml
Gene Name
MYD88
Gene Full Name
Myeloid differentiation primary response 88
Manufacturer - Specificity
No cross reactivity with other proteins.
Background
MYD88 (MYELOID DIFFERENTIATION PRIMARY RESPONSE GENE 88), is a protein that, in humans, is encoded by the MYD88 gene. MyD88 is a key downstream adapter for most Toll-like receptors (TLRs) and interleukin-1 receptors (IL1Rs). And it is mapped on 3p22.2. MYD88 encodes a cytosolic adapter protein that plays a central role in the innate and adaptive immune response. This protein functions as an essential signal transducer in the interleukin-1 and Toll-like receptor signaling pathways. Overexpression of MYD88 caused an increase in the level of transcription from the interleukin-8 promoter. The C-terminal domain of MYD88 has significant sequence similarity to the cytoplasmic domain of IL1RAP. Inhibiting the IL1R-MYD88 pathway in vivo could block the damage from acute inflammation that occurs in response to sterile cell death, and do so in a way that might not compromise tissue repair or host defense against pathogens.
Immunogen
E.coli-derived human MyD88 recombinant protein (Position: A44-F264). Human MyD88 shares 84% and 83% amino acid (aa) sequences identity with mouse and rat MyD88, respectively.
Contents
Each vial contains 5mg BSA, 0.9mg NaCl, 0.2mg Na2HPO4, 0.05mg NaN3.
Purification
Immunogen affinity purified.
Reconstitution
Add 0.2ml of distilled water will yield a concentration of 500ug/ml.
Concentration
Adding 0.2 ml of distilled water will yield a concentration of 500 μg/ml.
Manufacturer - Research Category
Atherosclerosis, Cancer, Cancer Metabolism, Cardiovascular, Cholesterol Metabolism, Endocrine Metabolism, Heart Disease, Hormone Biosynthesis, Lipid and Lipoprotein Metabolism, Lipid Metabolism, Lipid Signaling, Lipids/Lipoproteins, Metabolic Signaling Pathway, Metabolic Signaling Pathways, Metabolism, Pathways and Processes, Platelets, Signal Transduction, Signaling Pathway, Tumor Biomarkers
Protein Name
Myeloid differentiation primary response protein MyD88
Protein Function
Adapter protein involved in the Toll-like receptor and IL-1 receptor signaling pathway in the innate immune response. Acts via IRAK1, IRAK2, IRF7 and TRAF6, leading to NF-kappa-B activation, cytokine secretion and the inflammatory response. Increases IL-8 transcription. Involved in IL-18-mediated signaling pathway. Activates IRF1 resulting in its rapid migration into the nucleus to mediate an efficient induction of IFN-beta, NOS2/INOS, and IL12A genes. MyD88-mediated signaling in intestinal epithelial cells is crucial for maintenance of gut homeostasis and controls the expression of the antimicrobial lectin REG3G in the small intestine.
Subcellular Localization
Cytoplasm.
Description
Boster Bio Anti-MyD88 Antibody Picoband® catalog # PB9148. Tested in ELISA, Flow Cytometry, IF, IHC, IHC-F, ICC, WB applications. This antibody reacts with Human, Mouse, Rat. The brand Picoband indicates this is a premium antibody that guarantees superior quality, high affinity, and strong signals with minimal background in Western blot applications. Only our best-performing antibodies are designated as Picoband, ensuring unmatched performance.
Tissue Specificity
Ubiquitous.
Manufacturer - Cross Reactivity
No cross-reactivity with other proteins

Hinweis: Die dargestellten Informationen und Dokumente (Bedienungsanleitung, Produktdatenblatt, Sicherheitsdatenblatt und Analysezertifikat) entsprechen unserem letzten Update und sollten lediglich der Orientierung dienen. Wir übernehmen keine Garantie für die Aktualität. Für spezifische Anforderungen bitten wir Sie, uns eine Anfrage zu stellen.

Alle Produkte sind nur für Forschungszwecke bestimmt. Nicht für den menschlichen, tierärztlichen oder therapeutischen Gebrauch.

Menge: 100 ug/vial
Lieferbar: In stock
lieferbar

Vergleichen

Auf den Wunschzettel

Angebot anfordern

Lieferzeit anfragen

Technische Frage stellen

Bulk-Anfrage stellen

Fragen zum Produkt?