Vergleich

Anti-RPS21/Ribosomal Protein S21 Antibody Europäischer Partner

ArtNr BOS-A10068
Hersteller Boster
Menge 100 ul
Kategorie
Typ Antibody
Format Liquid
Applikationen IF, IHC, ICC, ELISA
Specific against Human (Homo sapiens), Mouse (Murine, Mus musculus), Rat (Rattus norvegicus)
Host Rabbit
Isotype IgG
ECLASS 10.1 32160702
ECLASS 11.0 32160702
UNSPSC 12352203
Alias RPS21,40S ribosomal protein S21
Lieferbar
Manufacturer - Category
Primary Antibodies
Storage Conditions
Store at -20°C for one year. For short-term storage and frequent use, store at 4°C for up to one month. Avoid repeated freeze-thaw cycles.
Molecular Weight
9111 MW
Clonality
Polyclonal
Application Details
IHC 1:100 - 1:300.
ELISA: 1:10000.
ICC/IF 1:50-200
Gene Name
RPS21
Gene Full Name
40S ribosomal protein S21
Immunogen
A peptide derived from human RPS21. Immunogen sequence location: 31-80
Contents
PBS containing 50% glycerol, 0.5% BSA and 0.02% sodium azide.
Purification
The antibody was purified from rabbit antiserum by affinity-chromatography using immunogen.
Concentration
0.5-1mg/ml, actual concentration vary by lot. Use suggested dilution ratio to decide dilution procedure.
Manufacturer - Research Category
DNA/RNA, Epigenetics and Nuclear Signaling, Ribosome, Translation
Description
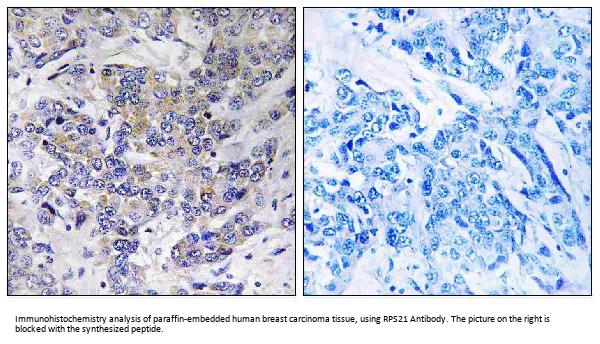
Boster Bio Anti-RPS21/Ribosomal Protein S21 Antibody (Catalog# A10068). Tested in IHC, ICC, IF, ELISA applications. This antibody reacts with Human, Mouse, Rat.
Short Description
Boster Bio Anti-RPS21/Ribosomal Protein S21 Antibody (Catalog# A10068). Tested in IHC-P, IF (paraffin), ELISA applications. This antibody reacts with Human, Mouse, Rat.

Hinweis: Die dargestellten Informationen und Dokumente (Bedienungsanleitung, Produktdatenblatt, Sicherheitsdatenblatt und Analysezertifikat) entsprechen unserem letzten Update und sollten lediglich der Orientierung dienen. Wir übernehmen keine Garantie für die Aktualität. Für spezifische Anforderungen bitten wir Sie, uns eine Anfrage zu stellen.

Alle Produkte sind nur für Forschungszwecke bestimmt. Nicht für den menschlichen, tierärztlichen oder therapeutischen Gebrauch.

Menge: 100 ul
Lieferbar: In stock
lieferbar

Vergleichen

Auf den Wunschzettel

Angebot anfordern

Lieferzeit anfragen

Technische Frage stellen

Bulk-Anfrage stellen

Fragen zum Produkt?