Vergleich

Anti-ATP5G3 Antibody Europäischer Partner

ArtNr BOS-A12221-1
Hersteller Boster
Menge 100 ul
Kategorie
Typ Antibody
Format Liquid
Applikationen IF, IHC, ICC, ELISA
Specific against Human (Homo sapiens), Rat (Rattus norvegicus)
Host Rabbit
Isotype IgG
ECLASS 10.1 32160702
ECLASS 11.0 32160702
UNSPSC 12352203
Alias ATP5G3,ATP synthase lipid-binding protein,mitochondrial,ATP synthase proteolipid P3,ATPase protein 9,ATPase subunit c
Lieferbar
Manufacturer - Category
Primary Antibodies
Storage Conditions
Store at -20°C for one year. For short-term storage and frequent use, store at 4°C for up to one month. Avoid repeated freeze-thaw cycles.
Molecular Weight
14693 MW
Clonality
Polyclonal
Application Details
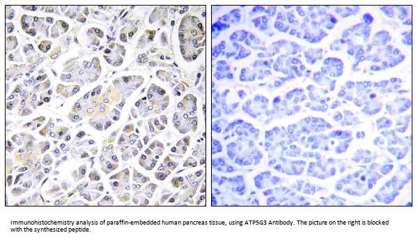
IHC 1:100 - 1:300.
ICC/IF 1:200 - 1:1000.
ELISA: 1:40000.
Not yet tested in other applications.
Gene Name
ATP5G3
Gene Full Name
ATP synthase F(0) complex subunit C3, mitochondrial
Immunogen
A peptide derived from human ATP5G3. Immunogen sequence location: 1-50
Contents
PBS containing 50% glycerol, 0.5% BSA and 0.02% sodium azide.
Purification
The antibody was purified from rabbit antiserum by affinity-chromatography using immunogen.
Concentration
0.5-1mg/ml, actual concentration vary by lot. Use suggested dilution ratio to decide dilution procedure.
Manufacturer - Research Category
Nucleotide Messenger, Pathways and Processes, Second Messenger, Signal Transduction
Protein Function
Mitochondrial membrane ATP synthase (F (1)F (0) ATP synthase or Complex V) produces ATP from ADP in the presence of a proton gradient across the membrane which is generated by electron transport complexes of the respiratory chain. F-type ATPases consist of two structural domains, F (1) - containing the extramembraneous catalytic core and F (0) - containing the membrane proton channel, linked together by a central stalk and a peripheral stalk. During catalysis, ATP synthesis in the catalytic domain of F (1) is coupled via a rotary mechanism of the central stalk subunits to proton translocation. Part of the complex F (0) domain. A homomeric c-ring of probably 10 subunits is part of the complex rotary element.
Subcellular Localization
Mitochondrion membrane; Multi-pass membrane protein.
Description
Boster Bio Anti-ATP5G3 Antibody (Catalog# A12221-1). Tested in IHC, ICC, IF, ELISA applications. This antibody reacts with Human, Rat.
Short Description
Boster Bio Anti-ATP5G3 Antibody (Catalog# A12221-1). Tested in IHC-P, IF, ICC, ELISA applications. This antibody reacts with Human, Rat.

Hinweis: Die dargestellten Informationen und Dokumente (Bedienungsanleitung, Produktdatenblatt, Sicherheitsdatenblatt und Analysezertifikat) entsprechen unserem letzten Update und sollten lediglich der Orientierung dienen. Wir übernehmen keine Garantie für die Aktualität. Für spezifische Anforderungen bitten wir Sie, uns eine Anfrage zu stellen.

Alle Produkte sind nur für Forschungszwecke bestimmt. Nicht für den menschlichen, tierärztlichen oder therapeutischen Gebrauch.

Menge: 100 ul
Lieferbar: In stock
lieferbar

Vergleichen

Auf den Wunschzettel

Angebot anfordern

Lieferzeit anfragen

Technische Frage stellen

Bulk-Anfrage stellen

Fragen zum Produkt?