Vergleich

Anti-UBXD5 Antibody Europäischer Partner

ArtNr BOS-A30506
Hersteller Boster
Menge 100 ul
Kategorie
Typ Antibody
Format Liquid
Applikationen WB, IF, IHC, ICC, ELISA
Specific against Human (Homo sapiens), Mouse (Murine, Mus musculus), Rat (Rattus norvegicus)
Host Rabbit
Isotype IgG
Sensitivity <10pg/ml
ECLASS 10.1 32160702
ECLASS 11.0 32160702
UNSPSC 12352203
Alias UBXN11,SOC,UBXD5,PP2243,UBX domain-containing protein 11,Colorectal tumor-associated antigen COA-1,Socius,UBX domain-containing protein 5
Lieferbar
Manufacturer - Category
Primary Antibodies
Storage Conditions
Store at -20°C for one year. For short-term storage and frequent use, store at 4°C for up to one month. Avoid repeated freeze-thaw cycles.
Molecular Weight
57373 MW
Clonality
Polyclonal
Application Details
WB 1:500 - 1:2000.
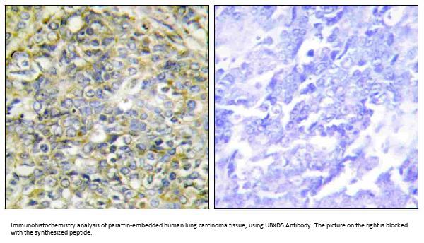
IHC 1:100 - 1:300.
ICC/IF 1:200 - 1:1000.
ELISA: 1:20000.
Not yet tested in other applications.
Gene Name
UBXN11
Gene Full Name
UBX domain-containing protein 11
Immunogen
A peptide derived from human UBXD5. Immunogen sequence location: 131-180
Contents
PBS containing 50% glycerol, 0.5% BSA and 0.02% sodium azide.
Purification
The antibody was purified from rabbit antiserum by affinity-chromatography using immunogen.
Concentration
0.5-1mg/ml, actual concentration vary by lot. Use suggested dilution ratio to decide dilution procedure.
Manufacturer - Research Category
Actin, etc., Cytoskeleton, Cytoskeleton/ECM, G Protein Signaling, Microfilaments, Signal Transduction, Signaling Pathway, Small G Proteins
Protein Function
May be involved in the reorganization of actin cytoskeleton mediated by RND1, RND2 AND RND3. Promotes RHOA activation mediated by GNA12 and GNA13 (By similarity).
Subcellular Localization
Cytoplasm, cytoskeleton.
Description
Boster Bio Anti-UBXD5 Antibody (Catalog# A30506). Tested in WB, IHC, ICC, IF, ELISA applications. This antibody reacts with Human, Mouse, Rat.
Short Description
Boster Bio Anti-UBXD5 Antibody (Catalog# A30506). Tested in WB, IHC-P, IF, ICC, ELISA applications. This antibody reacts with Human, Rat, Mouse.

Hinweis: Die dargestellten Informationen und Dokumente (Bedienungsanleitung, Produktdatenblatt, Sicherheitsdatenblatt und Analysezertifikat) entsprechen unserem letzten Update und sollten lediglich der Orientierung dienen. Wir übernehmen keine Garantie für die Aktualität. Für spezifische Anforderungen bitten wir Sie, uns eine Anfrage zu stellen.

Alle Produkte sind nur für Forschungszwecke bestimmt. Nicht für den menschlichen, tierärztlichen oder therapeutischen Gebrauch.

Menge: 100 ul
Lieferbar: In stock
lieferbar

Lieferung vsl. bis 13.11.2025 

Vergleichen

Auf den Wunschzettel

Angebot anfordern

Lieferzeit anfragen

Technische Frage stellen

Bulk-Anfrage stellen

Fragen zum Produkt?