Vergleich

Anti-MITF Antibody (Monoclonal, ABM1H91) Europäischer Partner

ArtNr BOS-M00269
Hersteller Boster
Menge 100 ug
Kategorie
Typ Antibody Monoclonal
Format Liquid
Applikationen WB, IHC
Clon ABM1H91
Specific against Human (Homo sapiens), Mouse (Murine, Mus musculus)
Host Mouse
Isotype IgG1 Kappa
ECLASS 10.1 42030590
ECLASS 11.0 42030590
UNSPSC 12352203
Alias Microphthalmia-associated transcription factor,Class E basic helix-loop-helix protein 32,bHLHe32,MITF,BHLHE32
Lieferbar
Manufacturer - Category
Primary Antibodies
Storage Conditions
Store the antibody at 4°C, stable for 6 months. For long-term storage, store at -20°C. Avoid repeated freeze and thaw cycles.
Molecular Weight
58795 MW
Clonality
Monoclonal
Application Details
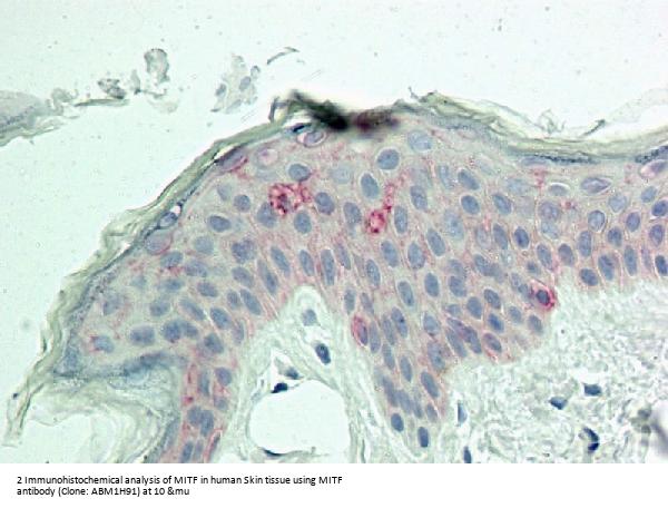
Western blot: 2-4 µg/ml,  IHC: 10 µg/ml
Gene Name
MITF
Gene Full Name
Microphthalmia-associated transcription factor
Immunogen
A partial length recombinant MITF protein (amino acids 150-427)
Contents
100 μ g in 200 μ l PBS containing 0.05% BSA and 0.05% sodium azide.
Purification
Protein G Chromatography
Concentration
0.5-1mg/ml, actual concentration vary by lot. Use suggested dilution ratio to decide dilution procedure.
Manufacturer - Research Category
2339, Domain Families, Epigenetics and Nuclear Signaling, Hlh/Leucine Zipper, Immunology, Innate Immunity, Transcription
Protein Name
Microphthalmia-associated transcription factor
Protein Function
Transcription factor that regulates the expression of genes with essential roles in cell differentiation, proliferation and survival. Binds to symmetrical DNA sequences (E-boxes) (5'- CACGTG-3') found in the promoters of target genes, such as BCL2 and tyrosinase (TYR). Plays an important role in melanocyte development by regulating the expression of tyrosinase (TYR) and tyrosinase-related protein 1 (TYRP1). Plays a critical role in the differentiation of various cell types, such as neural crest- derived melanocytes, mast cells, osteoclasts and optic cup-derived retinal pigment epithelium.
Subcellular Localization
Nucleus.
Description
Boster Bio Anti-MITF Antibody (Monoclonal, ABM1H91) (Catalog# M00269). Tested in IHC, WB application(s). This antibody reacts with Mouse, Human.
Tissue Specificity
Isoform M is exclusively expressed in melanocytes and melanoma cells. Isoform A and isoform H are widely expressed in many cell types including melanocytes and retinal pigment epithelium (RPE). Isoform C is expressed in many cell types including RPE but not in melanocyte-lineage cells. Isoform Mdel is widely expressed in melanocytes, melanoma cell lines and tissues, but almost undetectable in non-melanoma cell lines.

Hinweis: Die dargestellten Informationen und Dokumente (Bedienungsanleitung, Produktdatenblatt, Sicherheitsdatenblatt und Analysezertifikat) entsprechen unserem letzten Update und sollten lediglich der Orientierung dienen. Wir übernehmen keine Garantie für die Aktualität. Für spezifische Anforderungen bitten wir Sie, uns eine Anfrage zu stellen.

Alle Produkte sind nur für Forschungszwecke bestimmt. Nicht für den menschlichen, tierärztlichen oder therapeutischen Gebrauch.

Menge: 100 ug
Lieferbar: In stock
lieferbar

Vergleichen

Auf den Wunschzettel

Angebot anfordern

Lieferzeit anfragen

Technische Frage stellen

Bulk-Anfrage stellen

Fragen zum Produkt?
Zuletzt angesehen