Vergleich

Mucosal Addressin Cell Adhesion Molecule 1 (MADCAM1) Antibody Europäischer Partner

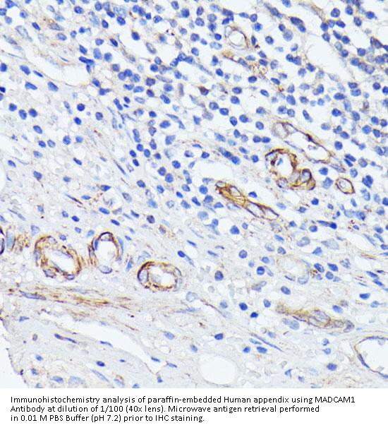
ArtNr abx007221-20ul
Hersteller Abbexa
Menge 20 ul
Quantity options 100 ul 2 x 100 ul 20 ul 50 ul
Kategorie
Typ Antibody
Format Liquid
Applikationen WB, IHC, ELISA
Specific against Human (Homo sapiens), Mouse (Murine, Mus musculus), Rat (Rattus norvegicus)
Host Rabbit
Isotype IgG
Konjugat/Tag Unconjugated
ECLASS 10.1 32160702
ECLASS 11.0 32160702
UNSPSC 12352203
Lieferbar
Manufacturer - Category
Primary Antibodies
Manufacturer - Targets
Mucosal Addressin Cell Adhesion Molecule 1 (MADCAM1)
Storage Conditions
Aliquot and store at -20°C. Avoid repeated freeze/thaw cycles.
Molecular Weight
Calculated MW: 40 kDa
Observed MW: 45 kDa
Description
MADCAM1 Antibody is a Rabbit Polyclonal Antibody against MADCAM1.
Dry Ice
No
Buffer
PBS, pH 7.3, containing 0.01% thimerosal, 50% glycerol.
Clonality
Polyclonal
Gene Symbol
MADCAM1
Note
This product is for research use only.
Purification
Purified by affinity chromatography.
UniProt Entry Name
MADCA_HUMAN

Hinweis: Die dargestellten Informationen und Dokumente (Bedienungsanleitung, Produktdatenblatt, Sicherheitsdatenblatt und Analysezertifikat) entsprechen unserem letzten Update und sollten lediglich der Orientierung dienen. Wir übernehmen keine Garantie für die Aktualität. Für spezifische Anforderungen bitten wir Sie, uns eine Anfrage zu stellen.

Alle Produkte sind nur für Forschungszwecke bestimmt. Nicht für den menschlichen, tierärztlichen oder therapeutischen Gebrauch.

Menge: 20 ul
Lieferbar: In stock
lieferbar

Vergleichen

Auf den Wunschzettel

Angebot anfordern

Lieferzeit anfragen

Technische Frage stellen

Bulk-Anfrage stellen

Fragen zum Produkt?
 
Schließen