Vergleich

Rabbit anti-human PGR polyclonal antibody

ArtNr CSB-PA778835
Hersteller Cusabio
Menge 100ul
Kategorie
Typ Antibody Polyclonal
Format liquid
Applikationen IHC, ELISA
Specific against Human (Homo sapiens)
Host Rabbit
Isotype IgG
ECLASS 10.1 32160702
ECLASS 11.0 32160702
UNSPSC 12352203
Alias Progesterone receptor
Lieferbar
Alias
Progesterone receptor
Uniprot ID
P06401
Immunogen
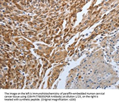
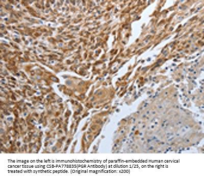
Synthetic peptide of human PGR
Tested applications
ELISA: 1:1000-1:5000; IHC: 1:25-1:100
Background
This gene encodes a member of the steroid receptor superfamily. The encoded protein mediates the physiological effects of progesterone, which plays a central role in reproductive events associated with the establishment and maintenance of pregnancy. This gene uses two distinct promotors and translation start sites in the first exon to produce two isoforms, A and B. The two isoforms are identical except for the additional 165 amino acids found in the N-terminus of isoform B and mediate their own response genes and physiologic effects with little overlap.
Conjugate
Non-conjugated
Stroage Buffer
-20C, pH7.4 PBS, 0.05% NaN3, 40% Glycerol
Stroage
Shipped at 4C. Upon delivery aliquot and store at -20C or -80C. Avoid repeated freeze.
Purity
Antigen affinity purification

Hinweis: Die dargestellten Informationen und Dokumente (Bedienungsanleitung, Produktdatenblatt, Sicherheitsdatenblatt und Analysezertifikat) entsprechen unserem letzten Update und sollten lediglich der Orientierung dienen. Wir übernehmen keine Garantie für die Aktualität. Für spezifische Anforderungen bitten wir Sie, uns eine Anfrage zu stellen.

Alle Produkte sind nur für Forschungszwecke bestimmt. Nicht für den menschlichen, tierärztlichen oder therapeutischen Gebrauch.

Menge: 100ul
Lieferbar: In stock
lieferbar

Vergleichen

Auf den Wunschzettel

Angebot anfordern

Lieferzeit anfragen

Technische Frage stellen

Bulk-Anfrage stellen

Fragen zum Produkt?
 
Schließen