Vergleich

ATG3 Antibody

ArtNr ABC-AM8441b
Hersteller Abcepta
Menge 400 ul
Kategorie
Typ Antibody Monoclonal
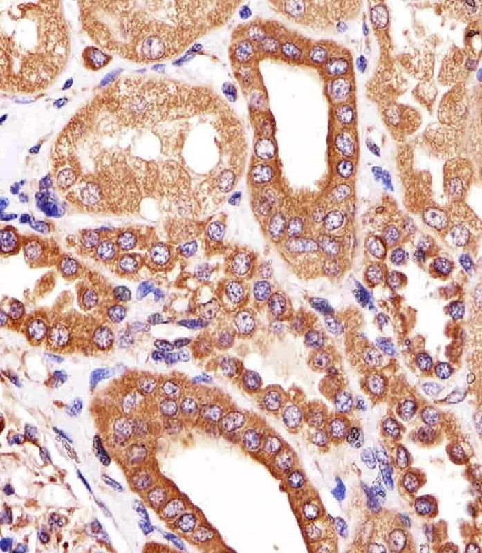
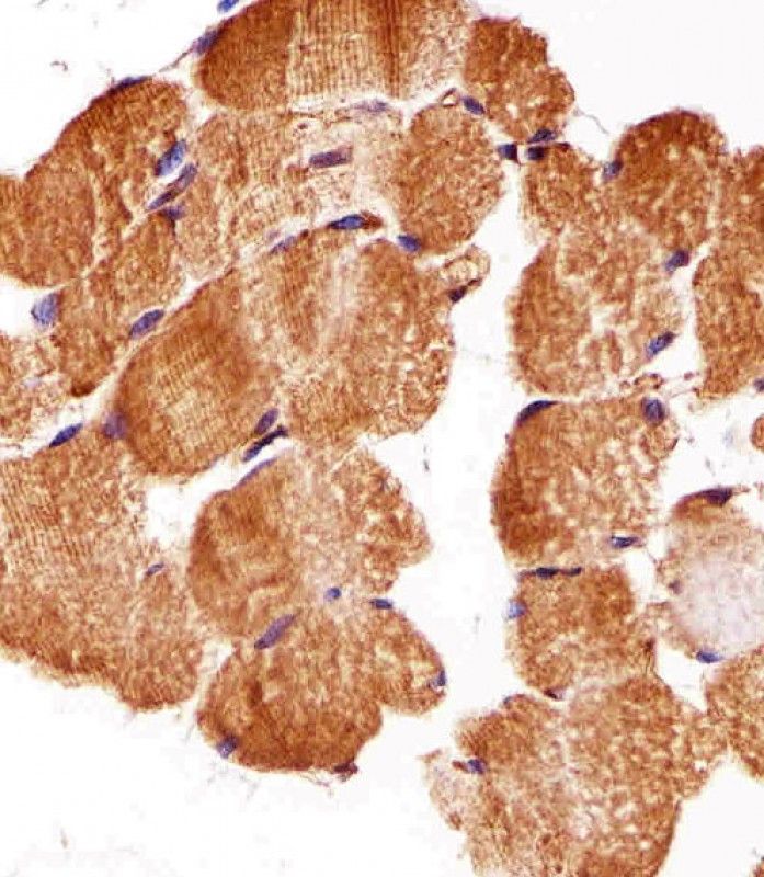
Applikationen WB, IHC-P
Clon 1377CT239.6.1.12
Specific against Human (Homo sapiens), Mouse (Murine, Mus musculus)
Host Mouse
Isotype IgG1 Kappa
Citations Tanida I.,et al.J. Biol. Chem. 277:13739-13744(2002).
Wu B.X.,et al.Submitted (NOV-1999) to the EMBL/GenBank/DDBJ databases.
Bechtel S.,et al.BMC Genomics 8:399-399(2007).
Ota T.,et al.Nat. Genet. 36:40-45(2004).
Tanida I.,et al.Biochem. Biophys. Res. Commun. 296:1164-1170(2002).
ECLASS 10.1 42030590
ECLASS 11.0 42030590
UNSPSC 12352203
Alias Ubiquitin-like-conjugating enzyme ATG3,632-,Autophagy-related protein 3,APG3-like,hApg3,Protein PC3-96,ATG3,APG3,APG3L
Similar products ATG3, APG3, APG3L, Ubiquitin-like-conjugating enzyme ATG3, Autophagy-related protein 3, Protein PC3-96, APG3-like, hApg3, 632-
Lieferbar
Manufacturer - Category
Crown Antibodies; Primary Antibodies; Cancer; Cardiovascular; Cell Biology; Metabolism; Neuroscience; Autophagy; Regulation of autophagy
Manufacturer - Targets
This ATG3 antibody is generated from a mouse immunized with recombinant protein of human ATG3.
Bio Background
E2 conjugating enzyme required for the cytoplasm to vacuole transport (Cvt), autophagy, and mitochondrial homeostasis. Responsible for the E2-like covalent binding of phosphatidylethanolamine to the C-terminal Gly of ATG8-like proteins (GABARAP, GABARAPL1, GABARAPL2 or MAP1LC3A). The ATG12- ATG5 conjugate plays a role of an E3 and promotes the transfer of ATG8-like proteins from ATG3 to phosphatidylethanolamine (PE). This step is required for the membrane association of ATG8-like proteins. The formation of the ATG8-phosphatidylethanolamine conjugates is essential for autophagy and for the cytoplasm to vacuole transport (Cvt). Preferred substrate is MAP1LC3A. Also acts as an autocatalytic E2-like enzyme, catalyzing the conjugation of ATG12 to itself, ATG12 conjugation to ATG3 playing a role in mitochondrial homeostasis but not in autophagy. ATG7 (E1-like enzyme) facilitates this reaction by forming an E1-E2 complex with ATG3. Promotes primary ciliogenesis by removing OFD1 from centriolar satellites via the autophagic pathway.
Clonality
Monoclonal
Gene Name
ATG3
Subtitle
Purified Mouse Monoclonal Antibody (Mab)
Reactivity
H, M
Calculated Molecular Weight
35864
Antigen Source
HUMAN
Formulation
Purified monoclonal antibody supplied in PBS with 0.09% (W/V) sodium azide. This antibody is purified through a protein G column, followed by dialysis against PBS.
Dilution
WB: 1:2000
IHC-P: 1:25
IHC-P: 1:25

Hinweis: Die dargestellten Informationen und Dokumente (Bedienungsanleitung, Produktdatenblatt, Sicherheitsdatenblatt und Analysezertifikat) entsprechen unserem letzten Update und sollten lediglich der Orientierung dienen. Wir übernehmen keine Garantie für die Aktualität. Für spezifische Anforderungen bitten wir Sie, uns eine Anfrage zu stellen.

Alle Produkte sind nur für Forschungszwecke bestimmt. Nicht für den menschlichen, tierärztlichen oder therapeutischen Gebrauch.

Menge: 400 ul
Lieferbar: In stock
lieferbar

Vergleichen

Auf den Wunschzettel

Angebot anfordern

Lieferzeit anfragen

Technische Frage stellen

Bulk-Anfrage stellen

Fragen zum Produkt?
 
Schließen