Vergleich

BNIP3 Antibody (BH3 Domain Specific)

ArtNr ABC-AP1321a
Hersteller Abcepta
Menge 400 ul
Kategorie
Typ Antibody Polyclonal
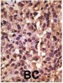
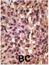
Applikationen IF, IHC-P
Specific against Human (Homo sapiens), Mouse (Murine, Mus musculus)
Host Rabbit
Isotype IgG
Citations References for protein:
1.Kothari, S., et al., Oncogene 22(30):4734-4744 (2003).
2.Lee, S.M., et al., Life Sci. 71(19):2267-2277 (2002).
3.Ray, R., et al., J. Biol. Chem. 275(2):1439-1448 (2000).
4.Chen, G., et al., J. Biol. Chem. 274(1):7-10 (1999).
5.Yasuda, M., et al., J. Biol. Chem. 273(20):12415-12421 (1998).
References for HepG2 cell line:
1. Knowles BB, et al. (1980). Human hepatocellular carcinoma cell lines secrete the major plasma proteins and hepatitis B surface antigen. Science 209: 497-499.[ PubMed: 6248960].
2. Darlington GJ, et al. (1987). Growth and hepatospecific gene expression of human hepatoma cells in a defined medium. In Vitro Cell. Dev. Biol. 23: 349-354.[PubMed: 3034851].
3. Ihrke, G; Neufeld, EB; Meads, T; Shanks, MR; Cassio, D; Laurent, M; Schroer, TA; Pagano, RE et al. (1993). "WIF-B cells: an in vitro model for studies of hepatocyte polarity". Journal of Cell Biology 123 (6): 1761–1775. [PubMed:7506266].
4. Mersch-Sundermann, V.; Knasmüller, S.; Wu, X. J.; Darroudi, F.; Kassie, F. (2004). "Use of a human-derived liver cell line for the detection of cytoprotective, antigenotoxic and cogenotoxic agents". Toxicology 198 (1–3): 329–340. [PubMed:15138059].
NCBI NP_004043.2
ECLASS 10.1 32160702
ECLASS 11.0 32160702
UNSPSC 12352203
Alias BCL2/adenovirus E1B 19 kDa protein-interacting protein 3,BNIP3,NIP3
Similar products BNIP3, NIP3, BCL2/adenovirus E1B 19 kDa protein-interacting protein 3
Lieferbar
Manufacturer - Category
Primary Antibodies; Antibody Collections; Cancer; Cardiovascular; Cell Biology; Metabolism; Microbiology; Autophagy; Catalog Updated; Host-virus interaction; Mitochondrion; Mitochondrion outer membrane; SARS-Human interaction partners
Manufacturer - Targets
This BNIP3 antibody is generated from rabbits immunized with a KLH conjugated synthetic peptide between 215-252 amino acids from human BNIP3.
Bio Background
NIP3 is a member of the BCL2/adenovirus E1B 19 kd-interacting protein (BNIP) family. It interacts with the E1B 19 kDa protein which is responsible for the protection of virally-induced cell death, as well as E1B 19 kDa-like sequences of BCL2, also an apoptotic protector. NIP3 contains a BH3 domain and a transmembrane domain, which have been associated with pro-apoptotic function. The dimeric mitochondrial protein is known to induce apoptosis, even in the presence of BCL2.
Clonality
Polyclonal
Polyclonal Antibody Additonal Information
RB3385
Gene Name
BNIP3
Subtitle
Purified Rabbit Polyclonal Antibody (Pab)
Reactivity
H, M
Calculated Molecular Weight
21541
Antigen Source
HUMAN
Antigen Region
215-252
Formulation
Purified polyclonal antibody supplied in PBS with 0.09% (W/V) sodium azide. This antibody is prepared by Saturated Ammonium Sulfate (SAS) precipitation followed by dialysis against PBS.
Dilution
IF: 1:500
IF: 1:50~100
IHC-P: 1:50~100
Antigen Type
Synthetic Peptide

Hinweis: Die dargestellten Informationen und Dokumente (Bedienungsanleitung, Produktdatenblatt, Sicherheitsdatenblatt und Analysezertifikat) entsprechen unserem letzten Update und sollten lediglich der Orientierung dienen. Wir übernehmen keine Garantie für die Aktualität. Für spezifische Anforderungen bitten wir Sie, uns eine Anfrage zu stellen.

Alle Produkte sind nur für Forschungszwecke bestimmt. Nicht für den menschlichen, tierärztlichen oder therapeutischen Gebrauch.

Menge: 400 ul
Lieferbar: In stock
lieferbar

Vergleichen

Auf den Wunschzettel

Angebot anfordern

Lieferzeit anfragen

Technische Frage stellen

Bulk-Anfrage stellen

Fragen zum Produkt?
 
Schließen