Vergleich

BIRC2 Antibody (Center)

ArtNr ABC-AP14418c-ev
Hersteller Abcepta
Menge 80 ul
Kategorie
Typ Antibody Polyclonal
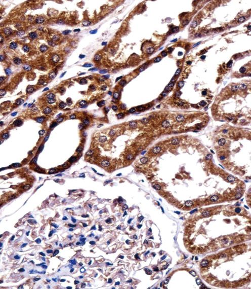
Applikationen WB, IHC-P
Specific against Human (Homo sapiens)
Host Rabbit
Isotype IgG
Citations Hinz, M., et al. Mol. Cell 40(1):63-74(2010)
Bailey, S.D., et al. Diabetes Care 33(10):2250-2253(2010)
Meng, N., et al. J. Cell. Physiol. 225(1):174-179(2010)
Burke, S.P., et al. J. Biol. Chem. 285(39):30061-30068(2010)
Mace, P.D., et al. J. Mol. Biol. 400(1):8-15(2010)
NCBI NP_001157.1,NP_001243092.1,NP_001243095.1
ECLASS 10.1 32160702
ECLASS 11.0 32160702
UNSPSC 12352203
Alias Baculoviral IAP repeat-containing protein 2,632-,C-IAP1,IAP homolog B,Inhibitor of apoptosis protein 2,IAP-2,hIAP-2,hIAP2,RING finger protein 48,TNFR2-TRAF-signaling complex protein 2,BIRC2,API1,IAP2,MIHB,RNF48
Similar products BIRC2, API1, IAP2, MIHB, RNF48, Baculoviral IAP repeat-containing protein 2, C-IAP1, IAP homolog B, Inhibitor of apoptosis protein 2, RING finger protein 48, TNFR2-TRAF-signaling complex protein 2, IAP-2, 632-, hIAP-2, hIAP2
Lieferbar
Manufacturer - Category
Primary Antibodies; Cancer; Cell Biology; Metabolism; Signal Transduction; Ubiquitin E3 Ligases (RING Domain) Antibodies; Apoptosis; Apoptosis signaling
Manufacturer - Targets
This BIRC2 antibody is generated from rabbits immunized with a KLH conjugated synthetic peptide between 216-244 amino acids from the Central region of human BIRC2.
Bio Background
The protein encoded by this gene is a member of a familyof proteins that inhibits apoptosis by binding to tumor necrosisfactor receptor-associated factors TRAF1 and TRAF2, probably byinterfering with activation of ICE-like proteases. This encodedprotein inhibits apoptosis induced by serum deprivation andmenadione, a potent inducer of free radicals.
Clonality
Polyclonal
Polyclonal Antibody Additonal Information
RB34387
Gene Name
BIRC2
Subtitle
Affinity Purified Rabbit Polyclonal Antibody (Pab)
Reactivity
H
Predicted Reactivity
M
Calculated Molecular Weight
69900
Antigen Source
HUMAN
Antigen Region
216-244
Formulation
Purified polyclonal antibody supplied in PBS with 0.09% (W/V) sodium azide. This antibody is purified through a protein A column, followed by peptide affinity purification.
Dilution
WB: 1:1000
IHC-P: 1:10~50
Antigen Type
Synthetic Peptide

Hinweis: Die dargestellten Informationen und Dokumente (Bedienungsanleitung, Produktdatenblatt, Sicherheitsdatenblatt und Analysezertifikat) entsprechen unserem letzten Update und sollten lediglich der Orientierung dienen. Wir übernehmen keine Garantie für die Aktualität. Für spezifische Anforderungen bitten wir Sie, uns eine Anfrage zu stellen.

Alle Produkte sind nur für Forschungszwecke bestimmt. Nicht für den menschlichen, tierärztlichen oder therapeutischen Gebrauch.

Menge: 80 ul
Lieferbar: In stock
lieferbar

Vergleichen

Auf den Wunschzettel

Angebot anfordern

Lieferzeit anfragen

Technische Frage stellen

Bulk-Anfrage stellen

Fragen zum Produkt?
 
Schließen