Vergleich

RECQL4 Antibody(C-term)

ArtNr ABC-AP19458b
Hersteller Abcepta
Menge 400 ul
Kategorie
Typ Antibody Polyclonal
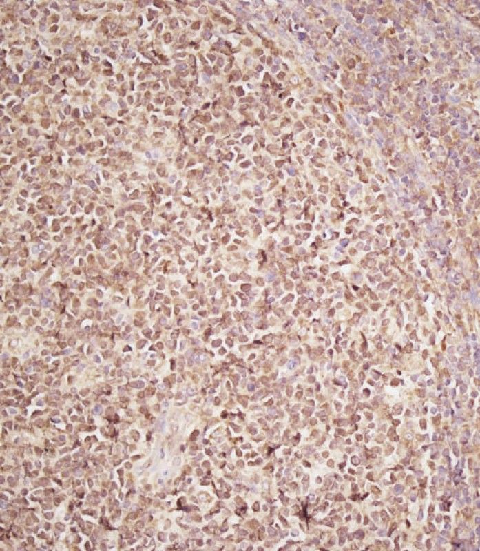
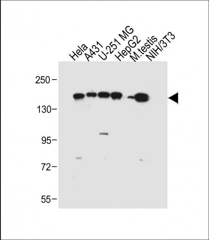
Applikationen WB, IHC-P
Specific against Human (Homo sapiens), Mouse (Murine, Mus musculus)
Host Rabbit
Isotype IgG
Citations Rossi, M.L., et al. DNA Repair (Amst.) 9(7):796-804(2010)
Singh, D.K., et al. Aging Cell 9(3):358-371(2010)
Thangavel, S., et al. Mol. Cell. Biol. 30(6):1382-1396(2010)
Xu, X., et al. EMBO J. 28(19):3005-3014(2009)
Im, J.S., et al. Proc. Natl. Acad. Sci. U.S.A. 106(37):15628-15632(2009)
NCBI NP_004251.3
ECLASS 10.1 32160702
ECLASS 11.0 32160702
UNSPSC 12352203
Alias ATP-dependent DNA helicase Q4,DNA helicase,RecQ-like type 4,RecQ4,RTS,RecQ protein-like 4,RECQL4,RECQ4
Similar products DNA helicase, RTS, RECQL4, RECQ4, ATP-dependent DNA helicase Q4, RecQ-like type 4, RecQ protein-like 4, RecQ4
Lieferbar
Manufacturer - Category
Crown Antibodies; Primary Antibodies
Manufacturer - Targets
This RECQL4 antibody is generated from rabbits immunized with a KLH conjugated synthetic peptide between 1134-1162 amino acids from the C-terminal region of human RECQL4.
Bio Background
The protein encoded by this gene is a DNA helicase thatbelongs to the RecQ helicase family. DNA helicases unwinddouble-stranded DNA into single-stranded DNAs and may modulatechromosome segregation. This gene is predominantly expressed inthymus and testis. Mutations in this gene are associated withRothmund-Thomson, RAPADILINO and Baller-Gerold syndromes. [providedby RefSeq].
Clonality
Polyclonal
Polyclonal Antibody Additonal Information
RB40513
Gene Name
RECQL4
Subtitle
Affinity Purified Rabbit Polyclonal Antibody (Pab)
Reactivity
H, M
Calculated Molecular Weight
133067
Antigen Source
HUMAN
Antigen Region
1134-1162
Formulation
Purified polyclonal antibody supplied in PBS with 0.09% (W/V) sodium azide. This antibody is purified through a protein A column, followed by peptide affinity purification.
Dilution
WB: 1:2000
IHC-P: 1:100
Antigen Type
Synthetic Peptide

Hinweis: Die dargestellten Informationen und Dokumente (Bedienungsanleitung, Produktdatenblatt, Sicherheitsdatenblatt und Analysezertifikat) entsprechen unserem letzten Update und sollten lediglich der Orientierung dienen. Wir übernehmen keine Garantie für die Aktualität. Für spezifische Anforderungen bitten wir Sie, uns eine Anfrage zu stellen.

Alle Produkte sind nur für Forschungszwecke bestimmt. Nicht für den menschlichen, tierärztlichen oder therapeutischen Gebrauch.

Menge: 400 ul
Lieferbar: In stock
lieferbar

Vergleichen

Auf den Wunschzettel

Angebot anfordern

Lieferzeit anfragen

Technische Frage stellen

Bulk-Anfrage stellen

Fragen zum Produkt?
 
Schließen