JavaScript scheint in Ihrem Browser deaktiviert zu sein. Sie müssen JavaScript in Ihrem Browser aktivieren, um alle Funktionen in diesem Shop nutzen zu können.
Hinweis: Die dargestellten Informationen und Dokumente (Bedienungsanleitung, Produktdatenblatt, Sicherheitsdatenblatt und Analysezertifikat) entsprechen unserem letzten Update und sollten lediglich der Orientierung dienen. Wir übernehmen keine Garantie für die Aktualität. Für spezifische Anforderungen bitten wir Sie, uns eine Anfrage zu stellen.
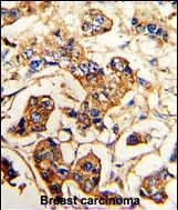
Alle Produkte sind nur für Forschungszwecke bestimmt. Nicht für den menschlichen, tierärztlichen oder therapeutischen Gebrauch.
Arbeitsanleitung (Data Sheet) anfordern
ABC-AP7790b-datasheet.pdf
Sicherheitsdatenblatt anfordern
Vergleichen
Auf den Wunschzettel
Angebot anfordern
Lieferzeit anfragen
Technische Frage stellen
Bulk-Anfrage stellen
sales@hoelzel.de
« Zurück
Pünktliche Lieferung zu Ihrem Wunschtermin und bei jeder 5. Bestellung 15% sparen.
Passwort vergessen?
Noch nicht registriert? Konto hier erstellen!