Vergleich

CAPN6 Antibody

ArtNr ABC-ASC10748
Hersteller Abcepta
Menge 100 ug
Kategorie
Typ Antibody Primary
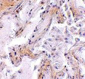
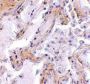
Applikationen WB, IF, ELISA, IHC-P
Specific against Human (Homo sapiens), Mouse (Murine, Mus musculus), Rat (Rattus norvegicus)
Host Rabbit
Isotype IgG
Citations Croall DE and Ersfeld K. The calpains: modular designs and functional diversity. Genome Biol.2007; 8:216.
Dear N, Matena K, Vingron M, et al. A new subfamily of vertebrate calpains lacking a calmodulin-like domain: implications for calpain regulation and evolution. Genomics1997; 45:175-84.
Tonami K, Kurihara Y, Aburatani J, et al. Calpain 6 is involved in microtubule stabilization and cytoskeletal organization. Mol. Cell. Biol.2007; 27:2548-61.
Brass AL, Dykxhoorn DM, Benita Y, et al. Identification of host proteins required for HIV infection through a functional genomic screen. Science2008; 319:921-6.
ECLASS 10.1 32160702
ECLASS 11.0 32160702
UNSPSC 12352203
Lieferbar
Manufacturer - Applications
CAPN6 antibody can be used for the detection of StrepII by Western blot at 0.5 - 1 µg/mL. Antibody can also be used for immunohistochemistry starting at 2.5 µg/mL. For immunofluorescence start at 20 µg/mL.
Manufacturer - Category
Primary Antibodies; Cell Biology; Signal Transduction
Manufacturer - Targets
CAPN6;
Storage Conditions
CAPN6 antibody can be stored at 4? for three months and -20?, stable for up to one year. As with all antibodies care should be taken to avoid repeated freeze thaw cycles. Antibodies should not be exposed to prolonged high temperatures.
Bio Background
CAPN6 Antibody: Calpains make up a ubiquitously expressed, well-conserved family of calcium-dependent cysteine proteases. The calpain proteins are heterodimers consisting of an invariant small subunit and variable large subunits. This large subunit possesses a cysteine protease domain, and both subunits possess calcium-binding domains. Calpains have been implicated in neurodegenerative processes as their activation can be triggered by calcium influx and oxidative stress. Calpain 6 (CAPN6) is most similar to Calpain 5; the C-terminal region of CAPN6 lacks homology to the calmodulin-like domain of other vertebrate calpains. CAPN6 is thought to be involved in the regulation of microtubule dynamics and cytoskeletal organization. CAPN6 has also been recently identified as an HIV dependency factor (HDF), suggesting that CAPN6 may be an important drug target in HIV treatment.
Clonality
Polyclonal
Gene Name
CAPN6
Reactivity
H, M, Rat
Calculated Molecular Weight
74576
Antigen Source
Homo sapiens
Purification
CAPN6 Antibody is affinity chromatography purified via peptide column.
Antibody Form
Liquid
Application Notes
CAPN6 antibody can be used for the detection of StrepII by Western blot at 0.5 - 1 µg/mL. Antibody can also be used for immunohistochemistry starting at 2.5 µg/mL. For immunofluorescence start at 20 µg/mL.
Positive Control
Rat Lung Tissue Lysate
Buffer
CAPN6 Antibody is supplied in PBS containing 0.02% sodium azide.

Hinweis: Die dargestellten Informationen und Dokumente (Bedienungsanleitung, Produktdatenblatt, Sicherheitsdatenblatt und Analysezertifikat) entsprechen unserem letzten Update und sollten lediglich der Orientierung dienen. Wir übernehmen keine Garantie für die Aktualität. Für spezifische Anforderungen bitten wir Sie, uns eine Anfrage zu stellen.

Alle Produkte sind nur für Forschungszwecke bestimmt. Nicht für den menschlichen, tierärztlichen oder therapeutischen Gebrauch.

Menge: 100 ug
Lieferbar: In stock
lieferbar

Vergleichen

Auf den Wunschzettel

Angebot anfordern

Lieferzeit anfragen

Technische Frage stellen

Bulk-Anfrage stellen

Fragen zum Produkt?
 
Schließen