Vergleich

ATG13 Antibody

ArtNr ABC-ASC11145
Hersteller Abcepta
Menge 100 ug
Kategorie
Typ Antibody Primary
Applikationen WB, IF, ELISA, IHC-P
Specific against Human (Homo sapiens), Mouse (Murine, Mus musculus), Rat (Rattus norvegicus)
Host Rabbit
Isotype IgG
Citations Gozuacik D and Kimchi A. Autophagy as a cell death and tumor suppressor mechanism. Oncogene 2004; 23:2891-906.
Kisen GO, Tessitore L, Costelli P, et al. Reduced autophagic activity in primary rat hepatocellular carcinoma and ascites hepatoma cells. Carcinogenesis 1993; 14:2501-5.
Kamada Y, Funakoshi T, Shintani T, et al. Tor-mediated induction of autophagy via Apg1 protein kinase complex. J. Cell. Biol. 2000; 150:1507-13.
Jung CH, Jun CB, Ro SH, et al. ULK-Atg13-FIP200 complexes mediate mTOR signaling to the autophagy machinery. Mol. Biol. Cell 2009; 20:1992-2003.
ECLASS 10.1 32160702
ECLASS 11.0 32160702
UNSPSC 12352203
Lieferbar
Manufacturer - Category
Primary Antibodies; Cancer; Metabolism; Autophagy; Regulation of autophagy
Manufacturer - Targets
ATG13;
Storage Conditions
ATG13 antibody can be stored at 4? for three months and -20?, stable for up to one year. As with all antibodies care should be taken to avoid repeated freeze thaw cycles. Antibodies should not be exposed to prolonged high temperatures.
Bio Background
ATG13 Antibody: Autophagy, the process of bulk degradation of cellular proteins through an autophagosomic-lysosomal pathway is important for normal growth control and may be defective in tumor cells. It is involved in the preservation of cellular nutrients under starvation conditions as well as the normal turnover of cytosolic components. This process is negatively regulated by TOR (Target of rapamycin) through phosphorylation of autophagy protein ATG1. ATG13 forms a complex with ULK1 and ULK2, the mammalian homologs of ATG1, and with FIP200. This complex is a target of TOR phosphorylation under normal conditions; inhibition of TOR by rapamycin or leucine deprivation leads to dephosphorylation of ATG13, ULK1 and ULK2, which then leads to autophagy. Knockdown of ATG13 inhibits autophagosome formation.
Clonality
Polyclonal
Gene Name
ATG13
Reactivity
H, M, Rat
Calculated Molecular Weight
56572
Antigen Source
Homo sapiens
Purification
ATG13 Antibody is affinity chromatography purified via peptide column.
Antibody Form
Liquid
Application Notes
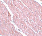
ATG13 antibody can be used for detection of ATG13 by Western blot at 1 µg/mL. Antibody can also be used for immunohistochemistry starting at 5 µg/mL. For immunofluorescence start at 20 µg/mL.
Positive Control
Rat Heart Tissue Lysate
Buffer
ATG13 Antibody is supplied in PBS containing 0.02% sodium azide.

Hinweis: Die dargestellten Informationen und Dokumente (Bedienungsanleitung, Produktdatenblatt, Sicherheitsdatenblatt und Analysezertifikat) entsprechen unserem letzten Update und sollten lediglich der Orientierung dienen. Wir übernehmen keine Garantie für die Aktualität. Für spezifische Anforderungen bitten wir Sie, uns eine Anfrage zu stellen.

Alle Produkte sind nur für Forschungszwecke bestimmt. Nicht für den menschlichen, tierärztlichen oder therapeutischen Gebrauch.

Menge: 100 ug
Lieferbar: In stock
lieferbar

Vergleichen

Auf den Wunschzettel

Angebot anfordern

Lieferzeit anfragen

Technische Frage stellen

Bulk-Anfrage stellen

Fragen zum Produkt?
 
Schließen