Vergleich

RPTOR Antibody

ArtNr ABC-AW5250-U100
Hersteller Abcepta
Menge 100 ul
Kategorie
Typ Antibody Primary
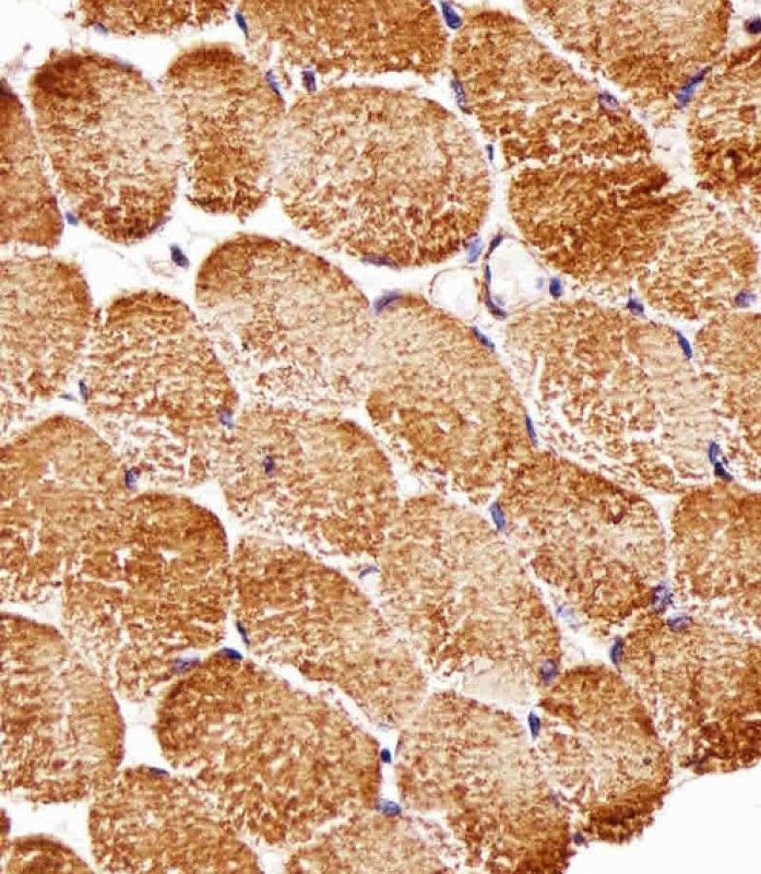
Applikationen WB, IHC-P
Specific against Human (Homo sapiens), Mouse (Murine, Mus musculus), Rat (Rattus norvegicus)
Host Mouse
Isotype IgG1 Kappa
Citations Kim D.-H.,et al.Cell 110:163-175(2002).
Hara K.,et al.Cell 110:177-189(2002).
Zody M.C.,et al.Nature 440:1045-1049(2006).
Mural R.J.,et al.Submitted (JUL-2005) to the EMBL/GenBank/DDBJ databases.
Nagase T.,et al.DNA Res. 7:65-73(2000).
ECLASS 10.1 32160702
ECLASS 11.0 32160702
UNSPSC 12352203
Alias Regulatory-associated protein of mTOR,Raptor,p150 target of rapamycin (TOR)-scaffold protein,RPTOR,KIAA1303,RAPTOR
Similar products Raptor, RPTOR, KIAA1303, RAPTOR, Regulatory-associated protein of mTOR, p150 target of rapamycin (TOR)-scaffold protein
Lieferbar
Manufacturer - Category
Primary Antibodies; Lysosome
Manufacturer - Targets
This RPTOR antibody is generated from a mouse immunized with recombinant protein.
Bio Background
Involved in the control of the mammalian target of rapamycin complex 1 (mTORC1) activity which regulates cell growth and survival, and autophagy in response to nutrient and hormonal signals; functions as a scaffold for recruiting mTORC1 substrates. mTORC1 is activated in response to growth factors or amino acids. Growth factor-stimulated mTORC1 activation involves a AKT1- mediated phosphorylation of TSC1-TSC2, which leads to the activation of the RHEB GTPase that potently activates the protein kinase activity of mTORC1. Amino acid-signaling to mTORC1 requires its relocalization to the lysosomes mediated by the Ragulator complex and the Rag GTPases. Activated mTORC1 up-regulates protein synthesis by phosphorylating key regulators of mRNA translation and ribosome synthesis. mTORC1 phosphorylates EIF4EBP1 and releases it from inhibiting the elongation initiation factor 4E (eiF4E). mTORC1 phosphorylates and activates S6K1 at ' Thr-389' , which then promotes protein synthesis by phosphorylating PDCD4 and targeting it for degradation. Involved in ciliogenesis.
Clonality
Monoclonal
Gene Name
RPTOR
Subtitle
Purified Mouse Monoclonal Antibody (Mab)
Reactivity
H, M, Rat
Calculated Molecular Weight
149038
Antigen Source
HUMAN
Formulation
Purified monoclonal antibody supplied in PBS with 0.09% (W/V) sodium azide. This antibody is purified through a protein G column, followed by dialysis against PBS.
Dilution
WB: 1:1000
IHC-P: 1:25
Antigen Type
Synthetic Peptide

Hinweis: Die dargestellten Informationen und Dokumente (Bedienungsanleitung, Produktdatenblatt, Sicherheitsdatenblatt und Analysezertifikat) entsprechen unserem letzten Update und sollten lediglich der Orientierung dienen. Wir übernehmen keine Garantie für die Aktualität. Für spezifische Anforderungen bitten wir Sie, uns eine Anfrage zu stellen.

Alle Produkte sind nur für Forschungszwecke bestimmt. Nicht für den menschlichen, tierärztlichen oder therapeutischen Gebrauch.

Menge: 100 ul
Lieferbar: In stock
lieferbar

Vergleichen

Auf den Wunschzettel

Angebot anfordern

Lieferzeit anfragen

Technische Frage stellen

Bulk-Anfrage stellen

Fragen zum Produkt?
 
Schließen