Vergleich

Calgranulin B / MRP-8/-14 / MAC 387 / S100A8/A9 / Macrophage Ag(MAC387), CF405S conjugate, 0.1mg/mL

ArtNr B-BNC040035-100
Hersteller Biotium
Menge 100 uL
Quantity options 100 uL 500 uL
Kategorie
Typ Antibody Monoclonal
Format Liquid
Applikationen WB, FC, IP, IHC
Clon MAC387
Specific against Human (Homo sapiens), Mouse (Murine, Mus musculus), Rat (Rattus norvegicus), Monkey (Cynomolgus, Simian), Rabbit (Oryctolagus cuniculus), Guinea Pig, Goat (Caprine, Capra aegagrus hircus), Dog (Canine, Canis lupus familiaris), Horse (Equine), Pig (Porcine, Sus scrofa domesticus), Cat (Feline, Felis catus), Cow (Bos taurus)
Host Mouse
Isotype IgG1 Kappa
Citations J Histochem Cytochem (1987) 35(11): 1217-1226 (IP; WB; IHC, FFPE)J Histochem Cytochem (1990) 38(11): 1669-1675. (IHC, FFPE)J Leukocyte Biol (1994) 55: 259. (WB; IHC)World J Gastroenterol (2017)23(8): 1477-1488. (Flow, intracellular)
ECLASS 10.1 42030590
ECLASS 11.0 42030590
UNSPSC 12352203
Alias Calprotectin,Protein S100-A9,Myeloid-related protein 14,MRP-14,Calgranulin B,CAGB,Calprotectin L1H Subunit
Versandbedingung Raumtemperatur
Lieferbar
Specificity Baboon, Cat, Cow, Dog, Goat, Guinea pig, Horse, Human, Monkey, Mouse, Pig, Rabbit, Rat
Manufacturer - Type
Primary
Manufacturer - Applications
Flow, intracellular (published), IHC, FFPE (verified), IP (published), WB (published)
Manufacturer - Category
Primary Antibodies Only
Manufacturer - Targets
Calprotectin|S100-A9
Manufacturer - Conjugate / Tag
CF405S
Manufacturer - Host
Mus musculus (mouse), BSA from bovine serum (Bos taurus) or recombinant BSA produced in Chinese hamster ovary cells.
Shipping Temperature
Room Temperature (Next day)
Storage Conditions
Store at 2 to 8°C|Protect fluorescent conjugates from light
Molecular Weight
12-14 kDa (doublet)
Manufacturer - Research Area
Immunology|Inflammation
Description
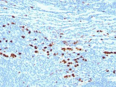
Calprotectin is a heteroduplex of Protein S100-A8/A9 (also called MRP-8/14, or Calgranulin A/B). This antibody recognizes the 14 kDa B component (Protein S100-A9) of the complex. Protein S100-A9 is a member of the S100 family of proteins containing 2 EF-hand calcium-binding motifs. Altered expression of this protein is associated with the disease cystic fibrosis. This antibody reacts with neutrophils, monocytes, macrophages, and squamous mucosal epithelia and has been shown as an important marker for identifying macrophages in tissue sections.Primary antibodies are available purified, or with a selection of fluorescent CF® Dyes and other labels. CF® Dyes offer exceptional brightness and photostability. Note: Conjugates of blue fluorescent dyes like CF®405S and CF®405M are not recommended for detecting low abundance targets, because blue dyes have lower fluorescence and can give higher non-specific background than other dye colors.
Product origin
Animal
Ingredient of biological origin
Mus musculus (mouse), BSA from bovine serum (Bos taurus) or recombinant BSA produced in Chinese hamster ovary cells.
Special handling for PI and label
Protect from light
Undated stability guarantee in PI
2 years
Stability at RT during shipping (protected from light)
Stable at room temperature or 37°C (98°F) for 7 days.
UNSPSC Commodity
41116161
UNSPSC Commodity Title
Primary and secondary antibodies for multiple methodologyimmunostaining detection application
Classified or regulated chemicals
0.05% sodium azide (CAS 26628-22-8)
Concentration
0.1 mg/mL
Storage buffer
PBS, 0.1% BSA, 0.05% azide
Dated shelf life printed on label
Guaranteed for at least 24 months from date of receipt when stored as recommended
Immunogen (Secondaries, for anti tag only)
Affinity purified monocyte membrane preparation
Clonality
Monoclonal
Regulatory Status
For research use only (RUO)
Unigene
416073 (S100A8/Calgranulin A/MRP-8) & 112405 (S100A9/Calgranulin B/MRP-14)
Positive Control
Tonsil, lymph node, or spleen
Antibody target cellular localization
Cytoplasmic|Cytoskeleton
Cell tissue expression
Granulocytes|Monocytes/macrophages
Antibody applications
Flow, intracellular (published)|IHC, FFPE (verified)|IP (published)|WB (published)
Verified antibody applications
IHC (FFPE) (verified)
Antibody application notes
Higher concentration may be required for direct detection using primary antibody conjugates than for indirect detection with secondary antibody|Immunofluorescence: 0.5-1 ug/mL|Immunohistology formalin-fixed 0.5-1 ug/mL|Staining of formalin-fixed tissues requires boiling tissue sections in 10 mM citrate buffer, pH 6.0, for 10-20 min followed by cooling at RT for 20 minutes|Flow Cytometry 0.5-1 ug/million cells/0.1 mL|Optimal dilution for a specific application should be determined by user
Expected Antibody Applications
Flow (intracellular) (published for clone), IP (published for clone), WB (published for clone)
Manufacturer - Antibody Reactivity
Calprotectin|S100-A9
Antibody number
#0035

Hinweis: Die dargestellten Informationen und Dokumente (Bedienungsanleitung, Produktdatenblatt, Sicherheitsdatenblatt und Analysezertifikat) entsprechen unserem letzten Update und sollten lediglich der Orientierung dienen. Wir übernehmen keine Garantie für die Aktualität. Für spezifische Anforderungen bitten wir Sie, uns eine Anfrage zu stellen.

Alle Produkte sind nur für Forschungszwecke bestimmt. Nicht für den menschlichen, tierärztlichen oder therapeutischen Gebrauch.

Menge: 100 uL
Lieferbar: In stock
lieferbar

Vergleichen

Auf den Wunschzettel

Angebot anfordern

Lieferzeit anfragen

Technische Frage stellen

Bulk-Anfrage stellen

Fragen zum Produkt?