Vergleich

CD68(CD68/G2), CF405S conjugate, 0.1mg/mL

ArtNr B-BNC040919-100
Hersteller Biotium
Menge 100 uL
Quantity options 100 uL 500 uL
Kategorie
Typ Antibody Monoclonal
Format Liquid
Applikationen IHC
Clon CD68/G2
Specific against Human (Homo sapiens)
Host Mouse
Isotype IgG1 Kappa
ECLASS 10.1 42030590
ECLASS 11.0 42030590
UNSPSC 12352203
Alias GP110,LAMP4,Microsialin,Macrosialin,SCARD1,Scavenger Receptor Class D Member-1
Versandbedingung Raumtemperatur
Lieferbar
Manufacturer - Type
Primary
Manufacturer - Applications
IHC, FFPE (verified)
Manufacturer - Category
Primary Antibodies Only
Manufacturer - Targets
CD68
Manufacturer - Conjugate / Tag
CF405S
Manufacturer - Host
Mus musculus (mouse), BSA from bovine serum (Bos taurus) or recombinant BSA produced in Chinese hamster ovary cells.
Shipping Temperature
Room temperature
Storage Conditions
Store at 2 to 8°C|Protect fluorescent conjugates from light
2°C to 8°C
Molecular Weight
~110 kDa
Manufacturer - Research Area
Immunology
Description
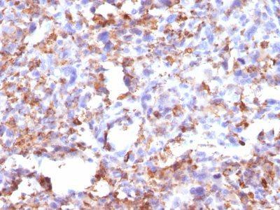
This antibody recognizes a glycoprotein of 110 kDa, which is identified as CD68. It is important for identifying macrophages in tissue sections. It stains macrophages in a wide variety of human tissues, including Kupffer cells and macrophages in the red pulp of the spleen, in lamina propria of the gut, in lung alveoli, and in bone marrow. It reacts with myeloid precursors and peripheral blood granulocytes. It also reacts with plasmacytoid T cells, which are supposed to be of monocyte/macrophage origin. It shows strong granular cytoplasmic staining of chronic and acute myeloid leukemia and also reacts with rare cases of true histiocytic neoplasia. Lymphomas are negative or show few granules.Primary antibodies are available purified, or with a selection of fluorescent CF® Dyes and other labels. CF® Dyes offer exceptional brightness and photostability. Note: Conjugates of blue fluorescent dyes like CF®405S and CF®405M are not recommended for detecting low abundance targets, because blue dyes have lower fluorescence and can give higher non-specific background than other dye colors.
Product origin
Animal
Ingredient of biological origin
Mus musculus (mouse), BSA from bovine serum (Bos taurus) or recombinant BSA produced in Chinese hamster ovary cells.
Special handling for PI and label
Protect from light
Undated stability guarantee in PI
2 years
Stability at RT during shipping (protected from light)
Stable at room temperature or 37°C (98°F) for 7 days.
UNSPSC Commodity
41116161
UNSPSC Commodity Title
Primary and secondary antibodies for multiple methodology
immunostaining detection application
Classified or regulated chemicals
0.05% sodium azide (CAS 26628-22-8)
Concentration
0.1 mg/mL
Storage buffer
PBS, 0.1% BSA, 0.05% azide
Dated shelf life printed on label
Guaranteed for at least 24 months from date of receipt when stored as recommended
Immunogen (Secondaries, for anti tag only)
Recombinant human CD68 protein
Clonality
Monoclonal
Regulatory Status
For research use only (RUO)
Human Gene Symbol
CD68
Unigene
647419
Positive Control
Tonsil, lymph node, or spleen
Antibody target cellular localization
Plasma membrane
Cell tissue expression
Monocytes/macrophages
Tumor expression
Leukemia/lymphoma
Antibody applications
IHC, FFPE (verified)
Verified antibody applications
IHC (FFPE) (verified)
Antibody application notes
Higher concentration may be required for direct detection using primary antibody conjugates than for indirect detection with secondary antibody|Immunofluorescence: 0.5-1 ug/mL|Immunohistology formalin-fixed 0.5-1 ug/mL|Staining of formalin-fixed tissues is enhanced by boiling tissue sections in 10 mM citrate buffer, pH 6.0, for 10-20 min followed by cooling at RT for 20 minutes|Flow Cytometry 0.5-1 ug/million cells/0.1 mL|Optimal dilution for a specific application should be determined by user
Manufacturer - Antibody Reactivity
CD68
Antibody number
#0919

Hinweis: Die dargestellten Informationen und Dokumente (Bedienungsanleitung, Produktdatenblatt, Sicherheitsdatenblatt und Analysezertifikat) entsprechen unserem letzten Update und sollten lediglich der Orientierung dienen. Wir übernehmen keine Garantie für die Aktualität. Für spezifische Anforderungen bitten wir Sie, uns eine Anfrage zu stellen.

Alle Produkte sind nur für Forschungszwecke bestimmt. Nicht für den menschlichen, tierärztlichen oder therapeutischen Gebrauch.

Menge: 100 uL
Lieferbar: In stock
lieferbar

Vergleichen

Auf den Wunschzettel

Angebot anfordern

Lieferzeit anfragen

Technische Frage stellen

Bulk-Anfrage stellen

Fragen zum Produkt?