Vergleich

Smooth Muscle Myosin Heavy Chain (SM-MHC) (MYH11/2303R), CF405S conjugate, 0.1mg/mL

ArtNr B-BNC042303-500
Hersteller Biotium
Menge 500 uL
Quantity options 100 uL 500 uL
Kategorie
Typ Antibody Monoclonal
Format Liquid
Applikationen IHC
Clon MYH11/2303R
Specific against Human (Homo sapiens), Rat (Rattus norvegicus), Rabbit (Oryctolagus cuniculus), Guinea Pig, Chicken (Gallus gallus domesticus), Dog (Canine, Canis lupus familiaris), Pig (Porcine, Sus scrofa domesticus), Cat (Feline, Felis catus), Cow (Bos taurus)
Host Rabbit
Isotype IgG
ECLASS 10.1 42030590
ECLASS 11.0 42030590
UNSPSC 12352203
Alias AAT4,Myosin heavy chain 11 (MYH11),Myosin heavy chain 11 smooth muscle,Smooth muscle myosin heavy chain 11,Myosin-11,SM1,SM2,SMHC,SMMHC
Versandbedingung Raumtemperatur
Lieferbar
Manufacturer - Type
Primary
Manufacturer - Applications
IHC, FFPE (verified)
Manufacturer - Category
Primary Antibodies Only
Manufacturer - Targets
Smooth Muscle Myosin Heavy Chain
Manufacturer - Conjugate / Tag
CF405S
Manufacturer - Host
Oryctolagus cuniculus (domestic rabbit), BSA from bovine serum (Bos taurus) or recombinant BSA produced in Chinese hamster ovary cells.
Shipping Temperature
Room Temperature (Next day)
Storage Conditions
Store at 2 to 8°C|Protect fluorescent conjugates from light
Molecular Weight
205 kDa (MHC-1) and 200 kDa (MHC-2)
Manufacturer - Research Area
Cytoskeleton
Description
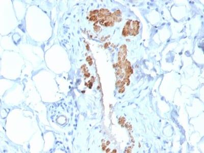
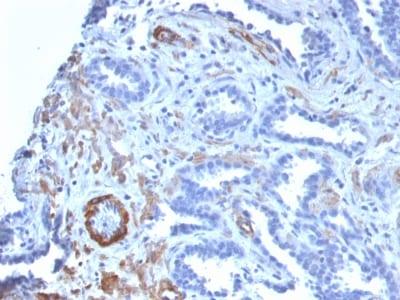
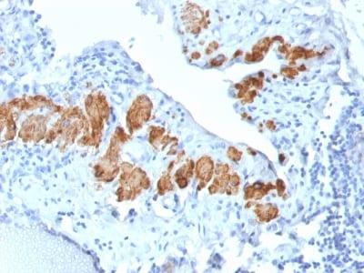
Smooth muscle myosin heavy chain (SM-MHC) is a cytoplasmic structural protein, which is a major component of the contractile apparatus in smooth muscle cells. Expression of smooth muscle myosin is developmentally regulated, appearing early in smooth muscle development, and is specific for smooth muscle development. Two isoforms of smooth muscle myosin heavy chain have been identified, designated MHC-1 and MHC-2. The antibody may be useful for the study of breast tumors as the presence of an intact layer of myoepithelial cells is an important feature, which may distinguish benign breast lesions and carcinoma in situ from invasive tumors.Primary antibodies are available purified, or with a selection of fluorescent CF® Dyes and other labels. CF® Dyes offer exceptional brightness and photostability. Note: Conjugates of blue fluorescent dyes like CF®405S and CF®405M are not recommended for detecting low abundance targets, because blue dyes have lower fluorescence and can give higher non-specific background than other dye colors.
Product origin
Animal
Ingredient of biological origin
Oryctolagus cuniculus (domestic rabbit), BSA from bovine serum (Bos taurus) or recombinant BSA produced in Chinese hamster ovary cells.
Special handling for PI and label
Protect from light
Undated stability guarantee in PI
2 years
Stability at RT during shipping (protected from light)
Stable at room temperature or 37°C (98°F) for 7 days.
UNSPSC Commodity
41116161
UNSPSC Commodity Title
Primary and secondary antibodies for multiple methodologyimmunostaining detection application
Classified or regulated chemicals
0.05% sodium azide (CAS 26628-22-8)
Concentration
0.1 mg/mL
Storage buffer
PBS, 0.1% BSA, 0.05% azide
Dated shelf life printed on label
Guaranteed for at least 24 months from date of receipt when stored as recommended
Immunogen (Secondaries, for anti tag only)
Recombinant full-length human MYH11 protein
Clonality
Recombinant Monoclonal
Regulatory Status
For research use only (RUO)
Human Gene Symbol
MYH11
Unigene
460109
Positive Control
Uterus or normal breast
Antibody target cellular localization
Cytoskeleton
Cell tissue expression
Smooth muscle
Antibody applications
IHC, FFPE (verified)
Verified antibody applications
IHC (FFPE) (verified)
Antibody application notes
Higher concentration may be required for direct detection using primary antibody conjugates than for indirect detection with secondary antibody|Immunohistology (formalin): 0.5-1 ug/mL for 30 minutes at RT|Staining of formalin-fixed tissues requires boiling tissue sections in 10 mM citrate buffer, pH 6.0, for 10-20 minutes followed by cooling at RT for 20 minutes|Optimal dilution for a specific application should be determined by user
Manufacturer - Antibody Reactivity
Smooth Muscle Myosin Heavy Chain
Antibody number
#2303

Hinweis: Die dargestellten Informationen und Dokumente (Bedienungsanleitung, Produktdatenblatt, Sicherheitsdatenblatt und Analysezertifikat) entsprechen unserem letzten Update und sollten lediglich der Orientierung dienen. Wir übernehmen keine Garantie für die Aktualität. Für spezifische Anforderungen bitten wir Sie, uns eine Anfrage zu stellen.

Alle Produkte sind nur für Forschungszwecke bestimmt. Nicht für den menschlichen, tierärztlichen oder therapeutischen Gebrauch.

Menge: 500 uL
Lieferbar: In stock
lieferbar

Vergleichen

Auf den Wunschzettel

Angebot anfordern

Lieferzeit anfragen

Technische Frage stellen

Bulk-Anfrage stellen

Fragen zum Produkt?