Vergleich

HLA-DRB(LN-3 + HLA-DRB/1067), CF594 conjugate, 0.1mg/mL

ArtNr B-BNC941208-100
Hersteller Biotium
Menge 100 uL
Quantity options 100 uL 500 uL
Kategorie
Typ Antibody Monoclonal
Format Liquid
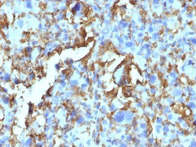
Applikationen WB, FC, IF, IHC
Clon LN-3 HLA-DRB/1067
Specific against Human (Homo sapiens), Monkey (Cynomolgus, Simian)
Host Mouse
Isotype IgG
ECLASS 10.1 42030590
ECLASS 11.0 42030590
UNSPSC 12352203
Versandbedingung Raumtemperatur
Lieferbar
Manufacturer - Type
Primary
Manufacturer - Applications
Flow (verified), IF (verified), IHC, FFPE (verified), WB (verified)
Manufacturer - Category
Primary Antibodies Only
Manufacturer - Isotype
IgG's
Manufacturer - Targets
HLA-DRB
Manufacturer - Conjugate / Tag
CF594
Manufacturer - Host
Mus musculus (mouse), BSA from bovine serum (Bos taurus) or recombinant BSA produced in Chinese hamster ovary cells.
Shipping Temperature
Room temperature
Storage Conditions
Store at 2 to 8°C|Protect fluorescent conjugates from light
2°C to 8°C
Molecular Weight
28 kDa (beta chain)
Manufacturer - Research Area
Cancer|Immunology|MHC antigens
Description
This MAb reacts with the beta-chain of HLA-DRB1 antigen, a member of MHC class II molecules. It does not cross react with HLA-DP and HLA-DQ. HLA-DR is a heterodimeric cell surface glycoprotein comprised of a 36 kDa alpha (heavy) chain and a 28 kDa beta (light) chain. It is expressed on B-cells, activated T-cells, monocytes/macrophages, dendritic cells and other non-professional APCs. In conjunction with the CD3/TCR complex and CD4 molecules, HLA-DR is critical for efficient peptide presentation to CD4 T cells. It is an excellent histiocytic marker in paraffin sections producing intense cytoplasmic staining. True histiocytic neoplasms are similarly positive. HLA-DR antigens also occur on a variety of epithelial cells and their corresponding neoplastic counterparts. Loss of HLA-DR expression is related to tumor microenvironment and predicts adverse outcome in diffuse large B-cell lymphoma.Primary antibodies are available purified, or with a selection of fluorescent CF® Dyes and other labels. CF® Dyes offer exceptional brightness and photostability. Note: Conjugates of blue fluorescent dyes like CF®405S and CF®405M are not recommended for detecting low abundance targets, because blue dyes have lower fluorescence and can give higher non-specific background than other dye colors.
Product origin
Animal
Ingredient of biological origin
Mus musculus (mouse), BSA from bovine serum (Bos taurus) or recombinant BSA produced in Chinese hamster ovary cells.
Special handling for PI and label
Protect from light
Undated stability guarantee in PI
2 years
Stability at RT during shipping (protected from light)
Stable at room temperature or 37°C (98°F) for 7 days.
UNSPSC Commodity
41116161
UNSPSC Commodity Title
Primary and secondary antibodies for multiple methodology
immunostaining detection application
Classified or regulated chemicals
0.05% sodium azide (CAS 26628-22-8)
Concentration
0.1 mg/mL
Storage buffer
PBS, 0.1% BSA, 0.05% azide
Dated shelf life printed on label
Guaranteed for at least 24 months from date of receipt when stored as recommended
Immunogen (Secondaries, for anti tag only)
Activated human peripheral blood mononuclear cells (LN-3 & HLA-DRB/1067)
Clonality
Monoclonal
Regulatory Status
For research use only (RUO)
Human Gene Symbol
HLA-DRB1
Unigene
534322
Positive Control
Ramos, Daudi or HuT78 cells. Tonsil or lymph node
Antibody target cellular localization
Plasma membrane
Antibody applications
Flow (verified), IF (verified), IHC, FFPE (verified), WB (verified)
Verified antibody applications
Flow (verified)|IF (verified)|IHC (FFPE) (verified)|WB (verified)
Antibody application notes
Higher concentration may be required for direct detection using primary antibody conjugates than for indirect detection with secondary antibody|Immunofluorescence: 0.5-1 ug/mL|Immunohistology formalin-fixed 0.25-0.5 ug/mL|Staining of formalin-fixed tissues is enhanced by boiling tissue sections in 10 mM citrate buffer, pH 6.0, for 10-20 min followed by cooling at RT for 20 minutes|Flow Cytometry 0.5-1 ug/million cells/0.1 mL|Western blotting 0.5-1 ug/mL|Optimal dilution for a specific application should be determined by user
Manufacturer - Synonym
DRB1, HLA class II histocompatibility antigen, DR-1 beta chain, HLA-DR-beta 1, HLA-DRB1, human leucocyte antigen DRB1, Leucocyte antigen DR beta 1 chain, lymphocyte antigen DRB1, major histocompatibility complex, class II, DR beta 1, MHC class II HLA-DR beta 1 chain, MHC class II HLA-DR-beta cell surface glycoprotein
Manufacturer - Antibody Reactivity
HLA-DRB
Antibody number
#1208

Hinweis: Die dargestellten Informationen und Dokumente (Bedienungsanleitung, Produktdatenblatt, Sicherheitsdatenblatt und Analysezertifikat) entsprechen unserem letzten Update und sollten lediglich der Orientierung dienen. Wir übernehmen keine Garantie für die Aktualität. Für spezifische Anforderungen bitten wir Sie, uns eine Anfrage zu stellen.

Alle Produkte sind nur für Forschungszwecke bestimmt. Nicht für den menschlichen, tierärztlichen oder therapeutischen Gebrauch.

Menge: 100 uL
Lieferbar: In stock
lieferbar

Vergleichen

Auf den Wunschzettel

Angebot anfordern

Lieferzeit anfragen

Technische Frage stellen

Bulk-Anfrage stellen

Fragen zum Produkt?
 
Schließen