Vergleich

FOXA1 / HNF3A(FOXA1/1516), CF594 conjugate, 0.1mg/mL

ArtNr B-BNC941516-500
Hersteller Biotium
Menge 500 uL
Quantity options 100 uL 500 uL
Kategorie
Typ Antibody Monoclonal
Format Liquid
Applikationen IHC
Clon FOXA1/1516
Specific against Human (Homo sapiens)
Host Mouse
Isotype IgG2b Kappa
ECLASS 10.1 42030590
ECLASS 11.0 42030590
UNSPSC 12352203
Alias Forkhead box protein A1 (FOXA1),Hepatocyte nuclear factor 3-alpha (HNF-3-alpha or HNF-3A or HNF3A),Transcription factor 3A (TCF-3A or TCF3A)
Versandbedingung Raumtemperatur
Lieferbar
Manufacturer - Type
Primary
Manufacturer - Applications
IHC, FFPE (verified)
Manufacturer - Category
Primary Antibodies Only
Manufacturer - Targets
FOXA1|HNF3A
Manufacturer - Conjugate / Tag
CF594
Manufacturer - Host
Mus musculus (mouse), BSA from bovine serum (Bos taurus) or recombinant BSA produced in Chinese hamster ovary cells.
Shipping Temperature
Room Temperature (Next day)
Storage Conditions
Store at 2 to 8°C|Protect fluorescent conjugates from light
Molecular Weight
49 kDa
Description
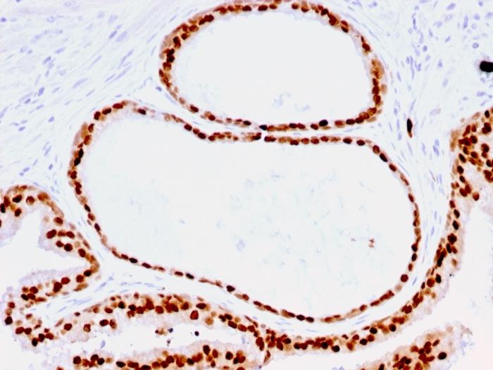
The transcription factor Forkhead-box A1 (FOXA1), also known as hepatocyte nuclear factor 3-alpha, is a member of the FOX class of transcription factors. HNF-1 (), and HNF-6 compose, in part, a homeoprotein family designated the hepatocyte nuclear factor family. The various HNF-1 isoforms regulate transcription of genes in the liver as well as in other tissues such as kidney, small intestine and thymus. FOXA1 is expressed in normal breast ductal epithelium and other epithelium in different organs, such as lung, pancreas, bladder, prostate, and colon. Recently, FOXA1 has been shown to be a major determinant of estrogen-ER activity and endocrine response in breast cancer cells. FOXA1 expression correlates with estrogen receptor (ER)-positivity, especially in luminal subtype A breast cancers, which is associated with favorable prognosis. FOXA1 is useful in the sub-classification of breast carcinomas. Primary antibodies are available purified, or with a selection of fluorescent CF® Dyes and other labels. CF® Dyes offer exceptional brightness and photostability. Note: Conjugates of blue fluorescent dyes like CF®405S and CF®405M are not recommended for detecting low abundance targets, because blue dyes have lower fluorescence and can give higher non-specific background than other dye colors.
Product origin
Animal
Ingredient of biological origin
Mus musculus (mouse), BSA from bovine serum (Bos taurus) or recombinant BSA produced in Chinese hamster ovary cells.
Special handling for PI and label
Protect from light
Undated stability guarantee in PI
2 years
Stability at RT during shipping (protected from light)
Stable at room temperature or 37°C (98°F) for 7 days.
UNSPSC Commodity
41116161
UNSPSC Commodity Title
Primary and secondary antibodies for multiple methodologyimmunostaining detection application
Classified or regulated chemicals
0.05% sodium azide (CAS 26628-22-8)
Concentration
0.1 mg/mL
Storage buffer
PBS, 0.1% BSA, 0.05% azide
Dated shelf life printed on label
Guaranteed for at least 24 months from date of receipt when stored as recommended
Immunogen (Secondaries, for anti tag only)
Recombinant human FOXA1 protein fragment (aa372-472) (exact sequence is proprietary)
Clonality
Monoclonal
Regulatory Status
For research use only (RUO)
Human Gene Symbol
FOXA1
Unigene
163484
Positive Control
HepG-2 or MCF-7 cells. Liver, Pancreas, Bladder, Prostate, Colon and Lung and Breast.
Antibody target cellular localization
Nucleus
Tumor expression
Breast cancer
Antibody applications
IHC, FFPE (verified)
Verified antibody applications
IHC (FFPE) (verified)
Manufacturer - Antibody Reactivity
FOXA1|HNF3A
Antibody number
#1516

Hinweis: Die dargestellten Informationen und Dokumente (Bedienungsanleitung, Produktdatenblatt, Sicherheitsdatenblatt und Analysezertifikat) entsprechen unserem letzten Update und sollten lediglich der Orientierung dienen. Wir übernehmen keine Garantie für die Aktualität. Für spezifische Anforderungen bitten wir Sie, uns eine Anfrage zu stellen.

Alle Produkte sind nur für Forschungszwecke bestimmt. Nicht für den menschlichen, tierärztlichen oder therapeutischen Gebrauch.

Menge: 500 uL
Lieferbar: In stock
lieferbar

Lieferung vsl. bis 27.11.2025 

Vergleichen

Auf den Wunschzettel

Angebot anfordern

Lieferzeit anfragen

Technische Frage stellen

Bulk-Anfrage stellen

Fragen zum Produkt?
 
Schließen