Vergleich

LMO2 (B-Cell Marker)(LMO2/1971), CF594 conjugate, 0.1mg/mL

ArtNr B-BNC941971-100
Hersteller Biotium
Menge 100 uL
Quantity options 100 uL 500 uL
Kategorie
Typ Antibody Monoclonal
Format Liquid
Applikationen WB, FC, IHC
Clon LMO2/1971
Specific against Human (Homo sapiens)
Host Mouse
Isotype IgG2b Kappa
ECLASS 10.1 42030590
ECLASS 11.0 42030590
UNSPSC 12352203
Alias Cysteine-rich protein TTG-2,LIM domain only protein 2,LMO-2,RBTN L1,RBTN2,Rhombotin like 1,Rhombotin-2 (RHOM2),T-cell translocation protein 2,TTG2
Versandbedingung Raumtemperatur
Lieferbar
Manufacturer - Type
Primary
Manufacturer - Applications
Flow, intracellular (verified), IHC, FFPE (verified), WB (verified)
Manufacturer - Category
Primary Antibodies Only
Manufacturer - Targets
LMO2
Manufacturer - Conjugate / Tag
CF594
Manufacturer - Host
Mus musculus (mouse), BSA from bovine serum (Bos taurus) or recombinant BSA produced in Chinese hamster ovary cells.
Shipping Temperature
Room Temperature (Next day)
Storage Conditions
Store at 2 to 8°C|Protect fluorescent conjugates from light
Molecular Weight
24 kDa
Description
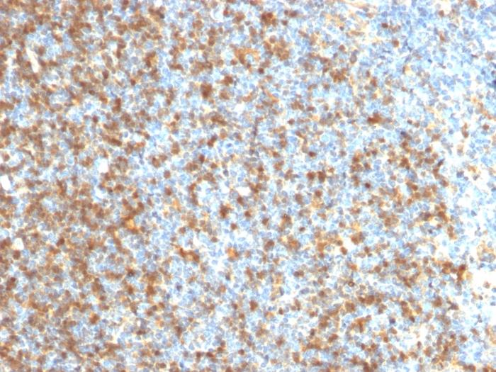
The LMO2 protein has a central and crucial role in hematopoietic development and is highly conserved. It has a particular function in normal and lymphatic endothelial cells involving the regulation of angiogenesis and lymph-angiogenesis. Immunohistochemical studies have also demonstrated expression of LMO2 in both normal germinal center B-cells and germinal center-derived B-cell lymphomas, including follicular lymphoma and diffuse large B-cell lymphoma. The use of anti-LMO2 is valuable as a tool in the identification of lymphomas of B-cell origin. LMO2 is useful in differentiating follicular lymphoma (LMO2 ) from nodal marginal zone lymphoma (LM02-). It also is positive in Hodgkin's and Burkitt's lymphomas. Primary antibodies are available purified, or with a selection of fluorescent CF® Dyes and other labels. CF® Dyes offer exceptional brightness and photostability. Note: Conjugates of blue fluorescent dyes like CF®405S and CF®405M are not recommended for detecting low abundance targets, because blue dyes have lower fluorescence and can give higher non-specific background than other dye colors.
Product origin
Animal
Ingredient of biological origin
Mus musculus (mouse), BSA from bovine serum (Bos taurus) or recombinant BSA produced in Chinese hamster ovary cells.
Special handling for PI and label
Protect from light
Undated stability guarantee in PI
2 years
Stability at RT during shipping (protected from light)
Stable at room temperature or 37°C (98°F) for 7 days.
UNSPSC Commodity
41116161
UNSPSC Commodity Title
Primary and secondary antibodies for multiple methodologyimmunostaining detection application
Classified or regulated chemicals
0.05% sodium azide (CAS 26628-22-8)
Concentration
0.1 mg/mL
Storage buffer
PBS, 0.1% BSA, 0.05% azide
Dated shelf life printed on label
Guaranteed for at least 24 months from date of receipt when stored as recommended
Immunogen (Secondaries, for anti tag only)
Recombinant human LMO2 protein fragment (around aa 23-140) (exact sequence is proprietary)
Clonality
Monoclonal
Regulatory Status
For research use only (RUO)
Human Gene Symbol
LMO2
Unigene
34560
Positive Control
K562, Ramos or Raji cells. Placenta, pancreas or Hodgkin s lymphoma.
Antibody target cellular localization
Nucleus
Cell tissue expression
B-cells|Endothelial cells|Lymphatics
Tumor expression
Leukemia/lymphoma
Antibody applications
Flow, intracellular (verified)|IHC, FFPE (verified)|WB (verified)
Verified antibody applications
Flow (intracellular) (verified)|IHC (FFPE) (verified)|WB (verified)
Manufacturer - Antibody Reactivity
LMO2
Antibody number
#1971

Hinweis: Die dargestellten Informationen und Dokumente (Bedienungsanleitung, Produktdatenblatt, Sicherheitsdatenblatt und Analysezertifikat) entsprechen unserem letzten Update und sollten lediglich der Orientierung dienen. Wir übernehmen keine Garantie für die Aktualität. Für spezifische Anforderungen bitten wir Sie, uns eine Anfrage zu stellen.

Alle Produkte sind nur für Forschungszwecke bestimmt. Nicht für den menschlichen, tierärztlichen oder therapeutischen Gebrauch.

Menge: 100 uL
Lieferbar: In stock
lieferbar

Lieferung vsl. bis 27.11.2025 

Vergleichen

Auf den Wunschzettel

Angebot anfordern

Lieferzeit anfragen

Technische Frage stellen

Bulk-Anfrage stellen

Fragen zum Produkt?
 
Schließen