Vergleich

p40 (deltaNp63) (Squamous, Basal & Myoepithelial Cell Marker), CF594 conjugate, 0.1mg/mL

ArtNr B-BNC942314-500
Hersteller Biotium
Menge 500 uL
Quantity options 100 uL 500 uL
Kategorie
Typ Antibody Primary
Format Liquid
Applikationen IHC
Specific against Human (Homo sapiens)
Host Rabbit
Isotype IgG
ECLASS 10.1 32160702
ECLASS 11.0 32160702
UNSPSC 12352203
Alias deltaNp63,TP63
Versandbedingung Raumtemperatur
Lieferbar
Manufacturer - Type
Primary
Manufacturer - Applications
IHC, FFPE (verified)
Manufacturer - Category
Primary Antibodies Only
Manufacturer - Targets
p40
Manufacturer - Conjugate / Tag
CF594
Manufacturer - Host
Oryctolagus cuniculus (domestic rabbit), BSA from bovine serum (Bos taurus) or recombinant BSA produced in Chinese hamster ovary cells.
Shipping Temperature
Room Temperature (Next day)
Storage Conditions
Store at 2 to 8°C|Protect fluorescent conjugates from light
Molecular Weight
40 kDa
Description
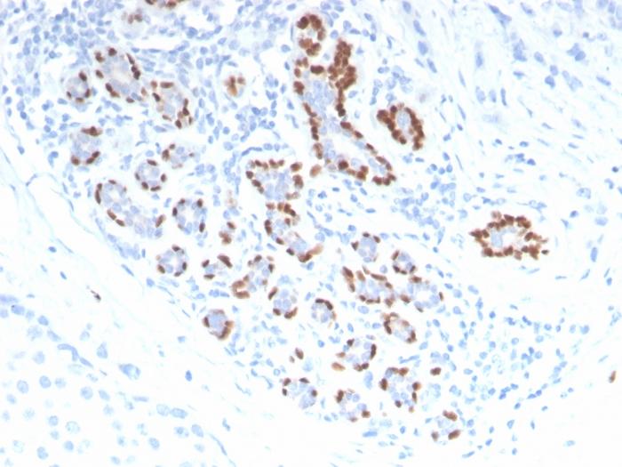
p40 (p63 delta) is a marker recently determined to be highly specific for squamous basal cells in the immunohistochemistry (IHC) application. The current more routinely recommended marker, p63, appears to have less specificity compared to p40, especially on squamous cell tumors. The ability to differentiate between lung adenocarcinoma vs. squamous cell carcinoma is difficult and has bearing on the different therapeutic avenues for each subtype treatment. p63 antibody's ability to distinguish between the tumor types appears to be inferior when compared to p40. The ability to utilize an antibody probe for p40 as a squamous cell marker bolsters its use for future sub-classification of lung cancers, especially by immunohistochemical techniques. Primary antibodies are available purified, or with a selection of fluorescent CF® Dyes and other labels. CF® Dyes offer exceptional brightness and photostability. Note: Conjugates of blue fluorescent dyes like CF®405S and CF®405M are not recommended for detecting low abundance targets, because blue dyes have lower fluorescence and can give higher non-specific background than other dye colors.
Product origin
Animal
Ingredient of biological origin
Oryctolagus cuniculus (domestic rabbit), BSA from bovine serum (Bos taurus) or recombinant BSA produced in Chinese hamster ovary cells.
Special handling for PI and label
Protect from light
Undated stability guarantee in PI
2 years
Stability at RT during shipping (protected from light)
Stable at room temperature or 37°C (98°F) for 7 days.
UNSPSC Commodity
41116161
UNSPSC Commodity Title
Primary and secondary antibodies for multiple methodologyimmunostaining detection application
Classified or regulated chemicals
0.05% sodium azide (CAS 26628-22-8)
Concentration
0.1 mg/mL
Storage buffer
PBS, 0.1% BSA, 0.05% azide
Dated shelf life printed on label
Guaranteed for at least 24 months from date of receipt when stored as recommended
Immunogen (Secondaries, for anti tag only)
Recombinant human p40 protein fragment
Clonality
Polyclonal
Regulatory Status
For research use only (RUO)
Human Gene Symbol
TP63
Unigene
137569
Positive Control
Human prostate or lung tissue (IHC).
Antibody target cellular localization
Nucleus
Tumor expression
Squamous cell carcinoma
Antibody applications
IHC, FFPE (verified)
Verified antibody applications
IHC (FFPE) (verified)
Manufacturer - Antibody Reactivity
p40
Antibody number
#2314

Hinweis: Die dargestellten Informationen und Dokumente (Bedienungsanleitung, Produktdatenblatt, Sicherheitsdatenblatt und Analysezertifikat) entsprechen unserem letzten Update und sollten lediglich der Orientierung dienen. Wir übernehmen keine Garantie für die Aktualität. Für spezifische Anforderungen bitten wir Sie, uns eine Anfrage zu stellen.

Alle Produkte sind nur für Forschungszwecke bestimmt. Nicht für den menschlichen, tierärztlichen oder therapeutischen Gebrauch.

Menge: 500 uL
Lieferbar: In stock
lieferbar

Vergleichen

Auf den Wunschzettel

Angebot anfordern

Lieferzeit anfragen

Technische Frage stellen

Bulk-Anfrage stellen

Fragen zum Produkt?
 
Schließen