Vergleich

Carboxypeptidase A1 / CPA1 (Pancreatic Cancer Marker)(CPA1/2713), CF594 conjugate, 0.1mg/mL

ArtNr B-BNC942713-100
Hersteller Biotium
Menge 100 uL
Quantity options 100 uL 500 uL
Kategorie
Typ Antibody Monoclonal
Format Liquid
Applikationen WB, IHC
Clon CPA1/2713
Specific against Human (Homo sapiens)
Host Mouse
Isotype IgG Kappa
ECLASS 10.1 42030590
ECLASS 11.0 42030590
UNSPSC 12352203
Alias Carboxypeptidase A1,CPA1
Versandbedingung Raumtemperatur
Lieferbar
Manufacturer - Type
Primary
Manufacturer - Applications
IHC, FFPE (verified), WB (verified)
Manufacturer - Category
Primary Antibodies Only
Manufacturer - Targets
Carboxypeptidase A1
Manufacturer - Conjugate / Tag
CF594
Manufacturer - Host
Mus musculus (mouse), BSA from bovine serum (Bos taurus) or recombinant BSA produced in Chinese hamster ovary cells.
Shipping Temperature
Room Temperature (Next day)
Storage Conditions
Store at 2 to 8°C|Protect fluorescent conjugates from light
Molecular Weight
47 kDa
Manufacturer - Research Area
Endocrinology
Description
Carboxypeptidase A1 (CPA1) is a secreted zinc metalloprotease that is highly expressed in pancreatic tissue. It catalyzes the release of C-terminal amino acids from a variety of proteins, thereby playing a key role in protein digestion and degradation. Human pancreatic procarboxypeptidase A exists as three different active forms, two of which are carboxypeptidase A1 (CPA1) and carboxypeptidase A2 (CPA2). Abnormal levels of CPA1 are associated with pancreatic cancer, suggesting a possible role in either tumor progression or tumor suppression events. Primary antibodies are available purified, or with a selection of fluorescent CF® Dyes and other labels. CF® Dyes offer exceptional brightness and photostability. Note: Conjugates of blue fluorescent dyes like CF®405S and CF®405M are not recommended for detecting low abundance targets, because blue dyes have lower fluorescence and can give higher non-specific background than other dye colors.
Product origin
Animal
Ingredient of biological origin
Mus musculus (mouse), BSA from bovine serum (Bos taurus) or recombinant BSA produced in Chinese hamster ovary cells.
Special handling for PI and label
Protect from light
Undated stability guarantee in PI
2 years
Stability at RT during shipping (protected from light)
Stable at room temperature or 37°C (98°F) for 7 days.
UNSPSC Commodity
41116161
UNSPSC Commodity Title
Primary and secondary antibodies for multiple methodologyimmunostaining detection application
Classified or regulated chemicals
0.05% sodium azide (CAS 26628-22-8)
Concentration
0.1 mg/mL
Storage buffer
PBS, 0.1% BSA, 0.05% azide
Dated shelf life printed on label
Guaranteed for at least 24 months from date of receipt when stored as recommended
Immunogen (Secondaries, for anti tag only)
Recombinant full-length human CPA1 protein
Clonality
Monoclonal
Regulatory Status
For research use only (RUO)
Human Gene Symbol
CPA1
Unigene
2879
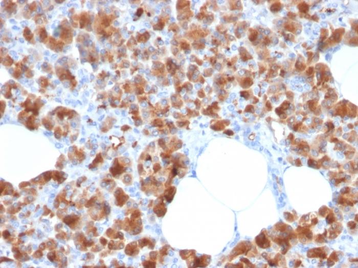
Positive Control
Pancreas
Antibody target cellular localization
Secreted (extracellular)
Cell tissue expression
Pancreas
Tumor expression
Pancreatic cancer
Validated in protein array
Monospecific
Antibody applications
IHC, FFPE (verified)|WB (verified)
Verified antibody applications
IHC (FFPE) (verified)|WB (verified)
Manufacturer - Antibody Reactivity
Carboxypeptidase A1
Antibody number
#2713

Hinweis: Die dargestellten Informationen und Dokumente (Bedienungsanleitung, Produktdatenblatt, Sicherheitsdatenblatt und Analysezertifikat) entsprechen unserem letzten Update und sollten lediglich der Orientierung dienen. Wir übernehmen keine Garantie für die Aktualität. Für spezifische Anforderungen bitten wir Sie, uns eine Anfrage zu stellen.

Alle Produkte sind nur für Forschungszwecke bestimmt. Nicht für den menschlichen, tierärztlichen oder therapeutischen Gebrauch.

Menge: 100 uL
Lieferbar: In stock
lieferbar

Vergleichen

Auf den Wunschzettel

Angebot anfordern

Lieferzeit anfragen

Technische Frage stellen

Bulk-Anfrage stellen

Fragen zum Produkt?
 
Schließen