Vergleich

PD-L1 / PDCD1LG1 / CD274 / B7-H1 (Cancer Immunotherapy Target) (PDL1/2746), CF594 conjugate, 0.1mg/mL

ArtNr B-BNC942746-100
Hersteller Biotium
Menge 100 uL
Quantity options 100 uL 500 uL
Kategorie
Typ Antibody Monoclonal
Format Liquid
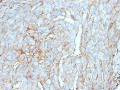
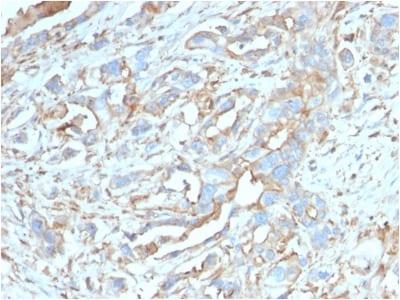
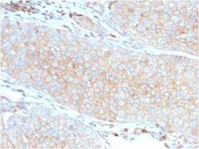
Applikationen WB, FC, IF, IHC
Clon PDL1/2746
Specific against Human (Homo sapiens), Mouse (Murine, Mus musculus)
Host Mouse
Isotype IgG2b Kappa
ECLASS 10.1 42030590
ECLASS 11.0 42030590
UNSPSC 12352203
Alias B7 homolog 1,B7-H1,CD274,PD-L1,PDCD1 ligand 1,PDCD1L1,PDCD1LG1,Programmed cell death 1 ligand 1
Versandbedingung Raumtemperatur
Lieferbar
Manufacturer - Type
Primary
Manufacturer - Applications
Flow, surface (verified), IF (verified), IHC, FFPE (verified), WB (verified)
Manufacturer - Category
Primary Antibodies Only
Manufacturer - Targets
B7-H1|CD274|PD-L1|PDCD1LG1
Manufacturer - Conjugate / Tag
CF594
Manufacturer - Host
Mus musculus (mouse), BSA from bovine serum (Bos taurus) or recombinant BSA produced in Chinese hamster ovary cells.
Shipping Temperature
Room Temperature (Next day)
Storage Conditions
Store at 2 to 8°C|Protect fluorescent conjugates from light
Molecular Weight
37-50 kDa
Manufacturer - Research Area
Apoptosis|Cancer|Cancer immunotherapy/immune checkpoint
Description
PD-L1 (also known as Programmed Death Ligand 1, CD274, and B7-H1) is one of two cell surface ligands that engage the negative regulatory T cell surface receptor PD-1. PD-L1 is a Type I transmembrane protein expressed on the plasma membrane of cells, such as activated macrophages and some tumor cells. Because binding of PD-1 by PD-L1 has a suppressive effect on the immune system, inhibition of the PD-1/PD-L1 pathway is a major strategy of immune-oncology therapies. PD-L1 is upregulated in certain cancers, and blocking PD-1 or PD-L1 can inhibit cancer growth.Primary antibodies are available purified, or with a selection of fluorescent CF® Dyes and other labels. CF® Dyes offer exceptional brightness and photostability. Note: Conjugates of blue fluorescent dyes like CF®405S and CF®405M are not recommended for detecting low abundance targets, because blue dyes have lower fluorescence and can give higher non-specific background than other dye colors.
Product origin
Animal
Ingredient of biological origin
Mus musculus (mouse), BSA from bovine serum (Bos taurus) or recombinant BSA produced in Chinese hamster ovary cells.
Special handling for PI and label
Protect from light
Undated stability guarantee in PI
2 years
Stability at RT during shipping (protected from light)
Stable at room temperature or 37°C (98°F) for 7 days.
UNSPSC Commodity
41116161
UNSPSC Commodity Title
Primary and secondary antibodies for multiple methodologyimmunostaining detection application
Classified or regulated chemicals
0.05% sodium azide (CAS 26628-22-8)
Concentration
0.1 mg/mL
Storage buffer
PBS, 0.1% BSA, 0.05% azide
Dated shelf life printed on label
Guaranteed for at least 24 months from date of receipt when stored as recommended
Immunogen (Secondaries, for anti tag only)
Recombinant fragment of human CD274 protein (around aa 39-191) (exact sequence is proprietary)
Clonality
Monoclonal
Regulatory Status
For research use only (RUO)
Human Gene Symbol
CD274
Unigene
521989
Positive Control
Heart, Placenta, Spleen or Tonsil tissue. RAW, HEK293 or HepG2 cell lysates. Jurkat Cells.
Antibody target cellular localization
Secreted (extracellular)
Validated in protein array
Monospecific
Antibody applications
Flow, surface (verified)|IF (verified)|IHC, FFPE (verified)|WB (verified)
Verified antibody applications
Flow (surface) (verified)|IF (verified)|IHC (FFPE) (verified)|WB (verified)
Antibody application notes
Higher concentration may be required for direct detection using primary antibody conjugates than for indirect detection with secondary antibody|Immunofluorescence: 1-2 ug/mL|Immunohistology (formalin): 1-2 ug/mL for 30 minutes at RT|Staining of formalin-fixed tissues requires boiling tissue sections in 10 mM citrate buffer, pH 6.0, for 10-20 min followed by cooling at RT for 20 min|Western blotting 1-2 ug/mL|Flow Cytometry 1-2 ug/million cells in 0.1 mL|ELISA For coating, order Ab without BSA|Optimal dilution for a specific application should be determined by user
Manufacturer - Antibody Reactivity
B7-H1|CD274|PD-L1|PDCD1LG1
Antibody number
#2746

Hinweis: Die dargestellten Informationen und Dokumente (Bedienungsanleitung, Produktdatenblatt, Sicherheitsdatenblatt und Analysezertifikat) entsprechen unserem letzten Update und sollten lediglich der Orientierung dienen. Wir übernehmen keine Garantie für die Aktualität. Für spezifische Anforderungen bitten wir Sie, uns eine Anfrage zu stellen.

Alle Produkte sind nur für Forschungszwecke bestimmt. Nicht für den menschlichen, tierärztlichen oder therapeutischen Gebrauch.

Menge: 100 uL
Lieferbar: In stock
lieferbar

Vergleichen

Auf den Wunschzettel

Angebot anfordern

Lieferzeit anfragen

Technische Frage stellen

Bulk-Anfrage stellen

Fragen zum Produkt?
Zuletzt angesehen
 
Schließen