Vergleich

MerTK (Innate Immune Checkpoint)(MERTK/3022), CF594 conjugate, 0.1mg/mL

ArtNr B-BNC943022-100
Hersteller Biotium
Menge 100 uL
Quantity options 100 uL 500 uL
Kategorie
Typ Antibody Monoclonal
Format Liquid
Applikationen IHC
Clon MERTK/3022
Specific against Human (Homo sapiens)
Host Mouse
Isotype IgG
ECLASS 10.1 42030590
ECLASS 11.0 42030590
UNSPSC 12352203
Alias cEyk,MER receptor tyrosine kinase,MERK,MERPEN,nmf12,Nyk,Proto-oncogene c-Mer,RP38,STK kinase
Versandbedingung Raumtemperatur
Lieferbar
Manufacturer - Type
Primary
Manufacturer - Applications
IHC, FFPE (verified)
Manufacturer - Category
Primary Antibodies Only
Manufacturer - Targets
MerTK
Manufacturer - Conjugate / Tag
CF594
Shipping Temperature
Room Temperature (Next day)
Storage Conditions
Store at 2 to 8°C|Protect fluorescent conjugates from light
Molecular Weight
~110 kDa
Description
MerTK, also called c-Mer, is a member of the Mer/Axl/Tyro3 receptor kinase family. It is a 984 residue transmembrane protein made up of one tyrosine kinase domain, two Fibronectin type-III domains and two immunoglobulinlike C2-type domains. MerTK is the mammalian ortholog of the chicken retroviral oncogene product v-Eyk. This protein plays a critical role in macrophage activation, platelet aggregation, clot stability and the efficient removal of apoptotic cells. Specifically, MerTK acts as a signaling molecule, triggering outer segment ingestion in the retinal pigment epithelium (RPE) phagocytic process. Evidence suggests that MerTK signals via interaction with phosphatidylinositol-specific phospholipase C 2). When the gene encoding for MerTK is mutated, the RPE phagocytosis pathway is disrupted and autosomal recessive retinitis pigmentosa (RP) may result, leading to degeneration of retinal photoreceptor cells. Primary antibodies are available purified, or with a selection of fluorescent CF® Dyes and other labels. CF® Dyes offer exceptional brightness and photostability. Note: Conjugates of blue fluorescent dyes like CF®405S and CF®405M are not recommended for detecting low abundance targets, because blue dyes have lower fluorescence and can give higher non-specific background than other dye colors.
Product origin
Animal
Special handling for PI and label
Protect from light
Undated stability guarantee in PI
2 years
Stability at RT during shipping (protected from light)
Stable at room temperature or 37°C (98°F) for 7 days.
UNSPSC Commodity
41116161
UNSPSC Commodity Title
Primary and secondary antibodies for multiple methodologyimmunostaining detection application
Classified or regulated chemicals
0.05% sodium azide (CAS 26628-22-8)
Concentration
0.1 mg/mL
Storage buffer
PBS, 0.1% BSA, 0.05% azide
Dated shelf life printed on label
Guaranteed for at least 24 months from date of receipt when stored as recommended
Immunogen (Secondaries, for anti tag only)
Recombinant human MERTK protein fragment (around aa 55-148) (exact sequence is proprietary)
Clonality
Monoclonal
Regulatory Status
For research use only (RUO)
Human Gene Symbol
MERTK
Unigene
306178
Positive Control
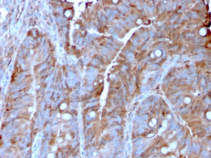
Human colon tissue (IHC).
Antibody target cellular localization
Plasma membrane
Validated in protein array
Monospecific
Antibody applications
IHC, FFPE (verified)
Verified antibody applications
IHC (FFPE) (verified)
Manufacturer - Antibody Reactivity
MerTK
Antibody number
#3022

Hinweis: Die dargestellten Informationen und Dokumente (Bedienungsanleitung, Produktdatenblatt, Sicherheitsdatenblatt und Analysezertifikat) entsprechen unserem letzten Update und sollten lediglich der Orientierung dienen. Wir übernehmen keine Garantie für die Aktualität. Für spezifische Anforderungen bitten wir Sie, uns eine Anfrage zu stellen.

Alle Produkte sind nur für Forschungszwecke bestimmt. Nicht für den menschlichen, tierärztlichen oder therapeutischen Gebrauch.

Menge: 100 uL
Lieferbar: In stock
lieferbar

Vergleichen

Auf den Wunschzettel

Angebot anfordern

Lieferzeit anfragen

Technische Frage stellen

Bulk-Anfrage stellen

Fragen zum Produkt?
 
Schließen