Vergleich

Granzyme B (NK/T-Cell Lymphoma Marker)(GZMB/3055), CF594 conjugate, 0.1mg/mL

ArtNr B-BNC943055-100
Hersteller Biotium
Menge 100 uL
Quantity options 100 uL 500 uL
Kategorie
Typ Antibody Monoclonal
Format Liquid
Applikationen IHC
Clon GZMB/3055
Specific against Human (Homo sapiens)
Host Mouse
Isotype IgG Kappa
ECLASS 10.1 42030590
ECLASS 11.0 42030590
UNSPSC 12352203
Versandbedingung Raumtemperatur
Lieferbar
Manufacturer - Type
Primary
Manufacturer - Applications
IHC, FFPE (verified)
Manufacturer - Category
Primary Antibodies Only
Manufacturer - Targets
Granzyme B
Manufacturer - Conjugate / Tag
CF594
Shipping Temperature
Room Temperature (Next day)
Storage Conditions
Store at 2 to 8°C|Protect fluorescent conjugates from light
Molecular Weight
29-32 kDa
Description
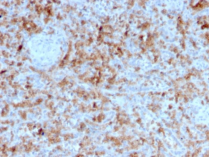
Granzyme B is a member of the granule serine protease family stored specifically in NK cells or cytotoxic T cells. Cytolytic T lymphocytes (CTL) and natural killer (NK) cells share the ability to recognize, bind, and lyse specific target cells. They are thought to protect their host by lysing cells bearing on their surface 'nonself' antigens, usually peptides or proteins resulting from infection by intracellular pathogens. Granzyme B is crucial for the rapid induction of target cell apoptosis by CTLs in the cell-mediated immune response. Granzyme B is useful as a marker in the identification of NK/T-cell lymphomas. High percentages of cytotoxic T-cells have been shown to be an unfavorable prognostic indicator in Hodgkin's Disease. Primary antibodies are available purified, or with a selection of fluorescent CF® Dyes and other labels. CF® Dyes offer exceptional brightness and photostability. Note: Conjugates of blue fluorescent dyes like CF®405S and CF®405M are not recommended for detecting low abundance targets, because blue dyes have lower fluorescence and can give higher non-specific background than other dye colors.
Product origin
Animal
Special handling for PI and label
Protect from light
Undated stability guarantee in PI
2 years
Stability at RT during shipping (protected from light)
Stable at room temperature or 37°C (98°F) for 7 days.
UNSPSC Commodity
41116161
UNSPSC Commodity Title
Primary and secondary antibodies for multiple methodologyimmunostaining detection application
Classified or regulated chemicals
0.05% sodium azide (CAS 26628-22-8)
Concentration
0.1 mg/mL
Storage buffer
PBS, 0.1% BSA, 0.05% azide
Dated shelf life printed on label
Guaranteed for at least 24 months from date of receipt when stored as recommended
Immunogen (Secondaries, for anti tag only)
Recombinant fragment of human GZMB protein (around aa 73-187) (exact sequence is proprietary)
Clonality
Monoclonal
Regulatory Status
For research use only (RUO)
Human Gene Symbol
GZMB
Unigene
1051
Positive Control
A431 cells. Human tonsil, spleen or Hodgkin' s Lymphoma tissue (IHC).
Antibody target cellular localization
Secreted (extracellular)|Vesicular
Cell tissue expression
NK cells|T-cells
Tumor expression
Leukemia/lymphoma
Validated in protein array
Monospecific
Antibody applications
IHC, FFPE (verified)
Verified antibody applications
IHC (FFPE) (verified)
Manufacturer - Synonym
Cathepsin G-like 1, CCPI, CGL1, CSPB, CTLA-1, CTSGL1, Cytotoxic serine protease B, Cytotoxic T lymphocyte associated serine esterase 1, Cytotoxic T-lymphocyte proteinase 2, Fragmentin-2, GRB, Human lymphocyte protein (Hlp), Lymphocyte protease, SECT, T-cell serine protease 1-3E
Manufacturer - Antibody Reactivity
Granzyme B
Antibody number
#3055

Hinweis: Die dargestellten Informationen und Dokumente (Bedienungsanleitung, Produktdatenblatt, Sicherheitsdatenblatt und Analysezertifikat) entsprechen unserem letzten Update und sollten lediglich der Orientierung dienen. Wir übernehmen keine Garantie für die Aktualität. Für spezifische Anforderungen bitten wir Sie, uns eine Anfrage zu stellen.

Alle Produkte sind nur für Forschungszwecke bestimmt. Nicht für den menschlichen, tierärztlichen oder therapeutischen Gebrauch.

Menge: 100 uL
Lieferbar: In stock
lieferbar

Vergleichen

Auf den Wunschzettel

Angebot anfordern

Lieferzeit anfragen

Technische Frage stellen

Bulk-Anfrage stellen

Fragen zum Produkt?
 
Schließen