Vergleich

MSH6 (DNA Mismatch Repair Protein)(MSH6/3091), CF594 conjugate, 0.1mg/mL

ArtNr B-BNC943091-500
Hersteller Biotium
Menge 500 uL
Quantity options 100 uL 500 uL
Kategorie
Typ Antibody Monoclonal
Format Liquid
Applikationen WB, IF, IHC
Clon MSH6/3091
Specific against Human (Homo sapiens)
Host Mouse
Isotype IgG2b Kappa
ECLASS 10.1 42030590
ECLASS 11.0 42030590
UNSPSC 12352203
Alias DNA mismatch repair protein Msh6,G/T mismatch-binding protein,GTBP,GTMBP,hMSH6,HNPCC5,HSAP,MSH6,mutS (E. coli) homolog 6,MutS alpha 160kDa subunit,MutS-alpha 160kDa subunit,p160,Sperm associated protein
Versandbedingung Raumtemperatur
Lieferbar
Manufacturer - Type
Primary
Manufacturer - Applications
IF (verified), IHC, FFPE (verified), WB (verified)
Manufacturer - Category
Primary Antibodies Only
Manufacturer - Targets
MSH6
Manufacturer - Conjugate / Tag
CF594
Shipping Temperature
Room Temperature (Next day)
Storage Conditions
Store at 2 to 8°C|Protect fluorescent conjugates from light
Molecular Weight
163 kDa
Description
The finding that mutations in DNA mismatch repair genes are associated with hereditary nonpolyposis colorectal cancer (HNPCC) has resulted in considerable interest in the understanding of the mechanism of DNA mismatch repair. Initially, inherited mutations in the MSH2 and MLH1 homologs of the bacterial DNA mismatch repair genes mutS and mutL were demonstrated at high frequency in HNPCC and were shown to be associated with microsatellite instability. A member of the mismatch repair family, GTBP (also designated MSH6), is an MSH2-related protein that binds to DNA containing G/T mismatches. Findings suggest that the mismatch-binding factor in human cells is composed of a heterodimer of GTBP and MSH2. Primary antibodies are available purified, or with a selection of fluorescent CF® Dyes and other labels. CF® Dyes offer exceptional brightness and photostability. Note: Conjugates of blue fluorescent dyes like CF®405S and CF®405M are not recommended for detecting low abundance targets, because blue dyes have lower fluorescence and can give higher non-specific background than other dye colors.
Product origin
Animal
Special handling for PI and label
Protect from light
Undated stability guarantee in PI
2 years
Stability at RT during shipping (protected from light)
Stable at room temperature or 37°C (98°F) for 7 days.
UNSPSC Commodity
41116161
UNSPSC Commodity Title
Primary and secondary antibodies for multiple methodologyimmunostaining detection application
Classified or regulated chemicals
0.05% sodium azide (CAS 26628-22-8)
Concentration
0.1 mg/mL
Storage buffer
PBS, 0.1% BSA, 0.05% azide
Dated shelf life printed on label
Guaranteed for at least 24 months from date of receipt when stored as recommended
Immunogen (Secondaries, for anti tag only)
Recombinant fragment of human MSH6 protein (around aa 374-540) (exact sequence is proprietary)
Clonality
Monoclonal
Regulatory Status
For research use only (RUO)
Human Gene Symbol
MSH6
Unigene
445052
Positive Control
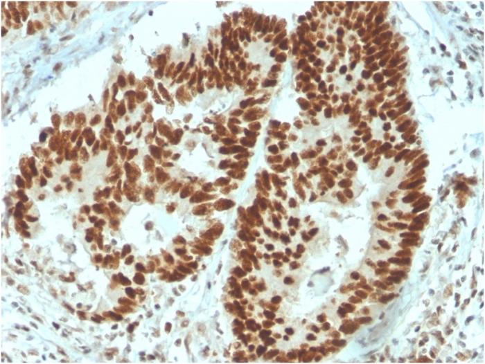
HCT116, MCF-7 cells, Human colon carcinoma (IHC).
Antibody target cellular localization
Nucleus
Validated in protein array
Monospecific
Antibody applications
IF (verified)|IHC, FFPE (verified)|WB (verified)
Verified antibody applications
IF (verified)|IHC (FFPE) (verified)|WB (verified)
Manufacturer - Antibody Reactivity
MSH6
Antibody number
#3091

Hinweis: Die dargestellten Informationen und Dokumente (Bedienungsanleitung, Produktdatenblatt, Sicherheitsdatenblatt und Analysezertifikat) entsprechen unserem letzten Update und sollten lediglich der Orientierung dienen. Wir übernehmen keine Garantie für die Aktualität. Für spezifische Anforderungen bitten wir Sie, uns eine Anfrage zu stellen.

Alle Produkte sind nur für Forschungszwecke bestimmt. Nicht für den menschlichen, tierärztlichen oder therapeutischen Gebrauch.

Menge: 500 uL
Lieferbar: In stock
lieferbar

Vergleichen

Auf den Wunschzettel

Angebot anfordern

Lieferzeit anfragen

Technische Frage stellen

Bulk-Anfrage stellen

Fragen zum Produkt?
 
Schließen