Vergleich

SOX2 (Transcription Factor) (SOX2/1792), Biotin conjugate, 0.1mg/mL

ArtNr B-BNCB1792-500
Hersteller Biotium
Menge 500 uL
Quantity options 100 uL 500 uL
Kategorie
Typ Antibody Monoclonal
Format Liquid
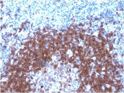
Applikationen WB, IHC
Clon SOX2/1792
Specific against Human (Homo sapiens)
Host Mouse
Isotype IgG2b Kappa
Konjugat/Tag Biotin
ECLASS 10.1 42030590
ECLASS 11.0 42030590
UNSPSC 12352203
Alias ANOP3,Delta EF2a,MCOPS3 (Microphthalmia Syndromic type 3),SOX-2,SRY (sex determining region Y) box 2,SRY related HMG box 2,Transcription factor SOX-2,ysb
Versandbedingung Raumtemperatur
Lieferbar
Manufacturer - Type
Primary
Manufacturer - Applications
IHC, FFPE (verified), WB (verified)
Manufacturer - Category
Primary Antibodies Only
Manufacturer - Targets
SOX2
Manufacturer - Host
Mus musculus (mouse), BSA from bovine serum (Bos taurus) or recombinant BSA produced in Chinese hamster ovary cells.
Shipping Temperature
Room Temperature (Next day)
Storage Conditions
Store at 2 to 8°C|Protect fluorescent conjugates from light
Molecular Weight
34 kDa
Manufacturer - Research Area
Stem cells|Transcription factors
Description
SOX2 is a member of the SRY-related HMG-box (SOX) family of transcription factors involved in the regulation of embryonic development and in the determination of cell fate. At present, 30 Sox genes have been identified. SOX2 is required for stem cell maintenance in the central nervous system, and it also regulates gene expression in the stomach. SOX2 is necessary for regulating multiple transcription factors that affect Oct 3/4 expression. An essential function of SOX2 is to stabilize embryonic stem cells in a pluripotent state by maintaining the requisite level of Oct 3/4 expression.Primary antibodies are available purified, or with a selection of fluorescent CF® Dyes and other labels. CF® Dyes offer exceptional brightness and photostability. Note: Conjugates of blue fluorescent dyes like CF®405S and CF®405M are not recommended for detecting low abundance targets, because blue dyes have lower fluorescence and can give higher non-specific background than other dye colors.
Product origin
Animal
Ingredient of biological origin
Mus musculus (mouse), BSA from bovine serum (Bos taurus) or recombinant BSA produced in Chinese hamster ovary cells.
Undated stability guarantee in PI
2 years
Stability at RT during shipping (protected from light)
Stable at room temperature or 37°C (98°F) for 7 days.
UNSPSC Commodity
41116161
UNSPSC Commodity Title
Primary and secondary antibodies for multiple methodologyimmunostaining detection application
Classified or regulated chemicals
0.05% sodium azide (CAS 26628-22-8)
Concentration
0.1 mg/mL
Storage buffer
PBS, 0.1% BSA, 0.05% azide
Dated shelf life printed on label
Guaranteed for at least 24 months from date of receipt when stored as recommended
Immunogen (Secondaries, for anti tag only)
Recombinant human SOX2 protein fragment (aa176-305) (exact sequence is proprietary)
Clonality
Monoclonal
Regulatory Status
For research use only (RUO)
Human Gene Symbol
SOX2
Unigene
518438
Positive Control
MCF-7 cells or Cervical carcinoma
Antibody target cellular localization
Nucleus
Cell tissue expression
Stem cells
Validated in protein array
Monospecific
Antibody applications
IHC, FFPE (verified)|WB (verified)
Verified antibody applications
IHC (FFPE) (verified)|WB (verified)
Antibody application notes
Higher concentration may be required for direct detection using primary antibody conjugates than for indirect detection with secondary antibody|Immunofluorescence: 1-2 ug/mL|ELISA: 2-4 ug/mL for coating order Ab without BSA|Immunohistology (formalin): 0.5-1 ug/mL|Staining of formalin-fixed tissues requires boiling tissue sections in 10 mM citrate buffer, pH 6.0, for 10-20 min followed by cooling at RT for 20 min|Flow Cytometry 0.5-1 ug/million cells/0.1 mL|Western blotting 0.5-1 ug/mL|Optimal dilution for a specific application should be determined by user
Manufacturer - Antibody Reactivity
SOX2
Antibody number
#1792

Hinweis: Die dargestellten Informationen und Dokumente (Bedienungsanleitung, Produktdatenblatt, Sicherheitsdatenblatt und Analysezertifikat) entsprechen unserem letzten Update und sollten lediglich der Orientierung dienen. Wir übernehmen keine Garantie für die Aktualität. Für spezifische Anforderungen bitten wir Sie, uns eine Anfrage zu stellen.

Alle Produkte sind nur für Forschungszwecke bestimmt. Nicht für den menschlichen, tierärztlichen oder therapeutischen Gebrauch.

Menge: 500 uL
Lieferbar: In stock
lieferbar

Vergleichen

Auf den Wunschzettel

Angebot anfordern

Lieferzeit anfragen

Technische Frage stellen

Bulk-Anfrage stellen

Fragen zum Produkt?
 
Schließen