Vergleich

TLE1 (Synovial Sarcoma Marker) (TLE1/2051), Biotin conjugate, 0.1mg/mL

ArtNr B-BNCB2051-100
Hersteller Biotium
Menge 100 uL
Quantity options 100 uL 500 uL
Kategorie
Typ Antibody Monoclonal
Format Liquid
Applikationen WB, IHC
Clon TLE1/2051
Specific against Human (Homo sapiens)
Host Mouse
Isotype IgG2a Kappa
Konjugat/Tag Biotin
ECLASS 10.1 42030590
ECLASS 11.0 42030590
UNSPSC 12352203
Alias Enhancer of split groucho 1 (ESG1),Enhancer of split groucho-like protein 1,GRG1,TLE1,Transducin like enhancer of split 1,Transducin-like enhancer protein 1
Versandbedingung Raumtemperatur
Lieferbar
Manufacturer - Type
Primary
Manufacturer - Applications
IHC, FFPE (verified), WB (verified)
Manufacturer - Category
Primary Antibodies Only
Manufacturer - Targets
TLE1
Manufacturer - Host
Mus musculus (mouse), BSA from bovine serum (Bos taurus) or recombinant BSA produced in Chinese hamster ovary cells.
Shipping Temperature
Room temperature
Storage Conditions
Store at 2 to 8°C|Protect fluorescent conjugates from light
2°C to 8°C
Molecular Weight
83 kDa
Manufacturer - Research Area
Cancer|Developmental biology|Transcription factors
Description
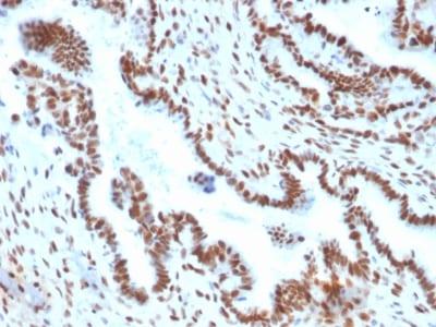
Key players in the Notch pathway are the TLE genes, which are human homologs of the Drosophila groucho gene. Groucho is a transcriptional repressor that plays a key role in neurogenesis, segmentation and sex determination. Transducin-like enhancer protein 1 (TLE1) is a protein that is encoded by the TLE1 gene and is involved in control of hematopoiesis, neuronal, and terminal epithelial differentiation. Positive immunohistochemical nuclear staining with anti-TLE-1 has been shown to be a useful addition to an IHC panel when differentiating synovial sarcoma from other soft tissue malignancies.Primary antibodies are available purified, or with a selection of fluorescent CF® Dyes and other labels. CF® Dyes offer exceptional brightness and photostability. Note: Conjugates of blue fluorescent dyes like CF®405S and CF®405M are not recommended for detecting low abundance targets, because blue dyes have lower fluorescence and can give higher non-specific background than other dye colors.
Product origin
Animal
Ingredient of biological origin
Mus musculus (mouse), BSA from bovine serum (Bos taurus) or recombinant BSA produced in Chinese hamster ovary cells.
Undated stability guarantee in PI
2 years
Stability at RT during shipping (protected from light)
Stable at room temperature or 37°C (98°F) for 7 days.
UNSPSC Commodity
41116161
UNSPSC Commodity Title
Primary and secondary antibodies for multiple methodology
immunostaining detection application
Classified or regulated chemicals
0.05% sodium azide (CAS 26628-22-8)
Concentration
0.1 mg/mL
Storage buffer
PBS, 0.1% BSA, 0.05% azide
Dated shelf life printed on label
Guaranteed for at least 24 months from date of receipt when stored as recommended
Immunogen (Secondaries, for anti tag only)
Recombinant human TLE1 fragment (aa 175-338) (exact sequence is proprietary)
Clonality
Monoclonal
Regulatory Status
For research use only (RUO)
Human Gene Symbol
TLE1
Unigene
197320; 689805
Positive Control
HeLa, HepG2 or Jurkat cells. Endometrium Carcinoma or Sarcomas
Antibody target cellular localization
Nucleus
Validated in protein array
Monospecific
Antibody applications
IHC, FFPE (verified), WB (verified)
Verified antibody applications
IHC (FFPE) (verified)|WB (verified)
Antibody application notes
Higher concentration may be required for direct detection using primary antibody conjugates than for indirect detection with secondary antibody|Immunohistology (formalin): 1-2 ug/mL for 30 minutes at RT|Staining of formalin-fixed tissues requires boiling tissue sections in 10 mM citrate buffer, pH 6.0, for 10-20 minutes followed by cooling at RT for 20 minutes|Western blotting 0.5-1 ug/mL|Optimal dilution for a specific application should be determined by user
Manufacturer - Antibody Reactivity
TLE1
Antibody number
#2051

Hinweis: Die dargestellten Informationen und Dokumente (Bedienungsanleitung, Produktdatenblatt, Sicherheitsdatenblatt und Analysezertifikat) entsprechen unserem letzten Update und sollten lediglich der Orientierung dienen. Wir übernehmen keine Garantie für die Aktualität. Für spezifische Anforderungen bitten wir Sie, uns eine Anfrage zu stellen.

Alle Produkte sind nur für Forschungszwecke bestimmt. Nicht für den menschlichen, tierärztlichen oder therapeutischen Gebrauch.

Menge: 100 uL
Lieferbar: In stock
lieferbar

Vergleichen

Auf den Wunschzettel

Angebot anfordern

Lieferzeit anfragen

Technische Frage stellen

Bulk-Anfrage stellen

Fragen zum Produkt?