Vergleich

TRAF1 (TNFR-Associated Factor 1) (Lymphomatoid Papulosis Marker)(TRAF1/2770), Biotin conjugate, 0.1mg/mL

ArtNr B-BNCB2770-100
Hersteller Biotium
Menge 100 uL
Quantity options 100 uL 500 uL
Kategorie
Typ Antibody Monoclonal
Format Liquid
Applikationen IHC
Clon TRAF1/2770
Specific against Human (Homo sapiens)
Host Mouse
Isotype IgG1 Kappa
Konjugat/Tag Biotin
ECLASS 10.1 42030590
ECLASS 11.0 42030590
UNSPSC 12352203
Alias EBI6,EBV induced protein 6,Epstein-Barr virus-induced protein 6,TNF receptor-associated factor 1,TRAF1
Versandbedingung Raumtemperatur
Lieferbar
Manufacturer - Type
Primary
Manufacturer - Applications
IHC, FFPE (verified)
Manufacturer - Category
Primary Antibodies Only
Manufacturer - Targets
TRAF1
Manufacturer - Host
Mus musculus (mouse), BSA from bovine serum (Bos taurus) or recombinant BSA produced in Chinese hamster ovary cells.
Shipping Temperature
Room temperature
Storage Conditions
Store at 2 to 8°C|Protect fluorescent conjugates from light
2°C to 8°C
Molecular Weight
52 kDa
Description
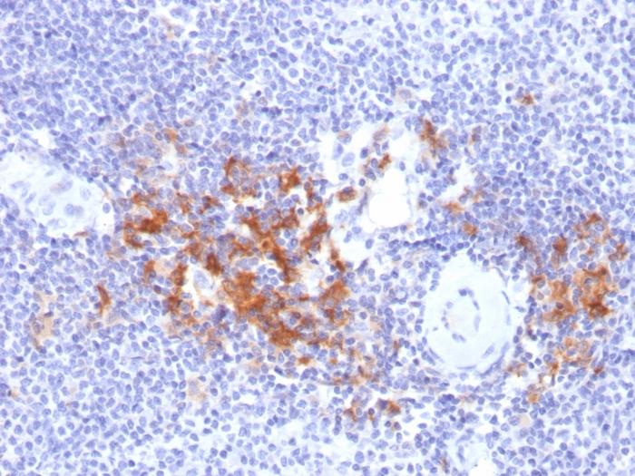
This MAb recognizes a protein of 52 kDa, which is identified as TNFR1 (TNFR-associated factor 1). CD30-positive lymphoproliferations of the skin comprise 30% of all primary cutaneous T-cell lymphomas (CTCLs). Besides borderline cases this group includes lymphomatoid papulosis (LyP) and primary cutaneous anaplastic large T-cell lymphoma (cALCL). Although the two entities overlap clinically, histopathologically, immunopathologically and genetically, they differ considerably in their prognosis. In particular, common feature of both cases is histologically the presence of atypical lymphoid CD30-positive T blasts and genetically a clonal T-cell-receptor rearrangement. However, both cases differ considerably in their clinical course: Lesions of LyP regress spontaneously, whereas those of cALCL persist and may progress and spread. Moreover, LyP patients do not benefit from an aggressive radio- and/or chemotherapeutic approach, in contrast to patients with cALCL. Besides, LyP and cALCL differ strongly in the expression of TRAF1 (tumor necrosis factor receptor (TNFR)-associated factor 1), a component of TNFR signaling: Whereas tumor cells of most LyP cases (ca. 84%) show a strong TRAF1 expression, tumor cells of cALCL reveal TRAF1 expression in only a few cases (ca. 7%). Antibody to TRAF1 is highly useful for the differentiation of LyP and cALCL in patients with cutaneous CD30-positive lymphoproliferations. Primary antibodies are available purified, or with a selection of fluorescent CF® Dyes and other labels. CF® Dyes offer exceptional brightness and photostability. Note: Conjugates of blue fluorescent dyes like CF®405S and CF®405M are not recommended for detecting low abundance targets, because blue dyes have lower fluorescence and can give higher non-specific background than other dye colors.
Product origin
Animal
Ingredient of biological origin
Mus musculus (mouse), BSA from bovine serum (Bos taurus) or recombinant BSA produced in Chinese hamster ovary cells.
Undated stability guarantee in PI
2 years
Stability at RT during shipping (protected from light)
Stable at room temperature or 37°C (98°F) for 7 days.
UNSPSC Commodity
41116161
UNSPSC Commodity Title
Primary and secondary antibodies for multiple methodology
immunostaining detection application
Classified or regulated chemicals
0.05% sodium azide (CAS 26628-22-8)
Concentration
0.1 mg/mL
Storage buffer
PBS, 0.1% BSA, 0.05% azide
Dated shelf life printed on label
Guaranteed for at least 24 months from date of receipt when stored as recommended
Immunogen (Secondaries, for anti tag only)
Recombinant fragment of human TRAF1 protein (around aa 73-219) (exact sequence is proprietary)
Clonality
Monoclonal
Regulatory Status
For research use only (RUO)
Human Gene Symbol
TRAF1
Unigene
531251
Positive Control
HeLa or 293T cells. Hodgkin s Lymphoma (IHC).
Antibody target cellular localization
Cytoplasm|Nucleus
Tumor expression
Leukemia/lymphoma
Validated in protein array
Monospecific
Antibody applications
IHC, FFPE (verified)
Verified antibody applications
IHC (FFPE) (verified)
Manufacturer - Antibody Reactivity
TRAF1
Antibody number
#2770

Hinweis: Die dargestellten Informationen und Dokumente (Bedienungsanleitung, Produktdatenblatt, Sicherheitsdatenblatt und Analysezertifikat) entsprechen unserem letzten Update und sollten lediglich der Orientierung dienen. Wir übernehmen keine Garantie für die Aktualität. Für spezifische Anforderungen bitten wir Sie, uns eine Anfrage zu stellen.

Alle Produkte sind nur für Forschungszwecke bestimmt. Nicht für den menschlichen, tierärztlichen oder therapeutischen Gebrauch.

Menge: 100 uL
Lieferbar: In stock
lieferbar

Vergleichen

Auf den Wunschzettel

Angebot anfordern

Lieferzeit anfragen

Technische Frage stellen

Bulk-Anfrage stellen

Fragen zum Produkt?