Vergleich

OX40 / CD134/ TNFRSF4 (Immuno-Oncology Target)(OX40/3108), Biotin conjugate, 0.1mg/mL

ArtNr B-BNCB3108-100
Hersteller Biotium
Menge 100 uL
Quantity options 100 uL 500 uL
Kategorie
Typ Antibody Monoclonal
Format Liquid
Applikationen FC, IF, IHC
Clon OX40/3108
Specific against Human (Homo sapiens), Primate
Host Mouse
Isotype IgG2c Kappa
Konjugat/Tag Biotin
ECLASS 10.1 42030590
ECLASS 11.0 42030590
UNSPSC 12352203
Alias ACT35,CD134,Lymphoid activation antigen ACT35,OX40,TAX transcriptionally-activated glycoprotein 1 receptor,TNFRSF4 (Tumor necrosis factor receptor superfamily member 4)
Versandbedingung Raumtemperatur
Lieferbar
Specificity Chimpanzee, Human
Manufacturer - Type
Primary
Manufacturer - Applications
Flow (verified), IF (verified), IHC, FFPE (verified)
Manufacturer - Category
Primary Antibodies Only
Manufacturer - Targets
CD134, |OX40|TNFRSF4
Shipping Temperature
Room temperature
Storage Conditions
Store at 2 to 8°C|Protect fluorescent conjugates from light
2°C to 8°C
Molecular Weight
43 kDa
Description
ThisMAb recognizes a protein of 43 kDa, identified as OX40, which is also known as CD134. OX40 is a type I integral membrane glycoprotein and member of the tumor necrosis factor/nerve growth factor receptor (TNFR/NGFR) family. It is expressed on activated T lymphocytes, hematopoietic precursor cells and fibroblasts. It functions as a T cell co-stimulatory receptor when bound by OX40 Ligand/TNFSF4 that is expressed by antigen presenting cells. OX40 thereby plays roles in T-cell activation as well as the regulation of differentiation, proliferation or apoptosis of normal and malignant lymphoid cells. OX40 is upregulated at the sites of inflammation, especially in case of multiple sclerosis and psoriatic lesions. Primary antibodies are available purified, or with a selection of fluorescent CF® Dyes and other labels. CF® Dyes offer exceptional brightness and photostability. Note: Conjugates of blue fluorescent dyes like CF®405S and CF®405M are not recommended for detecting low abundance targets, because blue dyes have lower fluorescence and can give higher non-specific background than other dye colors.
Product origin
Animal
Undated stability guarantee in PI
2 years
Stability at RT during shipping (protected from light)
Stable at room temperature or 37°C (98°F) for 7 days.
UNSPSC Commodity
41116161
UNSPSC Commodity Title
Primary and secondary antibodies for multiple methodology
immunostaining detection application
Classified or regulated chemicals
0.05% sodium azide (CAS 26628-22-8)
Concentration
0.1 mg/mL
Storage buffer
PBS, 0.1% BSA, 0.05% azide
Dated shelf life printed on label
Guaranteed for at least 24 months from date of receipt when stored as recommended
Immunogen (Secondaries, for anti tag only)
Recombinant fragment of human OX40 (CD134) protein (around aa 59-205) (exact sequence is proprietary)
Clonality
Monoclonal
Regulatory Status
For research use only (RUO)
Human Gene Symbol
TNFRSF4
Unigene
129780
Positive Control
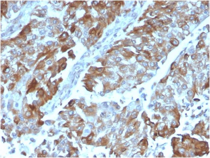
MOLT-4 cells. Human peripheral blood leukocytes (hPBL). Human tonsil tissue (IHC).
Antibody target cellular localization
Plasma membrane
Validated in protein array
Monospecific
Antibody applications
Flow (verified), IF (verified), IHC, FFPE (verified)
Verified antibody applications
Flow (verified)|IF (verified)|IHC (FFPE) (verified)
Manufacturer - Antibody Reactivity
CD134, |OX40|TNFRSF4
Antibody number
#3108

Hinweis: Die dargestellten Informationen und Dokumente (Bedienungsanleitung, Produktdatenblatt, Sicherheitsdatenblatt und Analysezertifikat) entsprechen unserem letzten Update und sollten lediglich der Orientierung dienen. Wir übernehmen keine Garantie für die Aktualität. Für spezifische Anforderungen bitten wir Sie, uns eine Anfrage zu stellen.

Alle Produkte sind nur für Forschungszwecke bestimmt. Nicht für den menschlichen, tierärztlichen oder therapeutischen Gebrauch.

Menge: 100 uL
Lieferbar: In stock
lieferbar

Vergleichen

Auf den Wunschzettel

Angebot anfordern

Lieferzeit anfragen

Technische Frage stellen

Bulk-Anfrage stellen

Fragen zum Produkt?