Vergleich

CD146 / MCAM / MUC18 / Mucin 18(C146/634), 0.2mg/mL

ArtNr B-BNUB0634-100
Hersteller Biotium
Menge 100 uL
Quantity options 100 uL 500 uL
Kategorie
Typ Antibody Primary
Format Liquid
Applikationen IHC
Clon C146/634
Specific against Human (Homo sapiens)
Host Mouse
Isotype IgG1 Kappa
Konjugat/Tag BSA
ECLASS 10.1 32160702
ECLASS 11.0 32160702
UNSPSC 12352203
Alias Cell Surface Glycoprotein MUC18; Cell Surface Glycoprotein P1H12; Gicerin; Melanoma Adhesion Molecule (MCAM); Melanoma Associated Glycoprotein MUC18; Melanoma Cell Adhesion Molecule; Melanoma-associated Antigen A32; Mel-CAM; S-endo 1 Endothelial-associated Antigen; Sendo1
Versandbedingung Raumtemperatur
Lieferbar
Manufacturer - Type
Primary
Manufacturer - Applications
IHC, FFPE (verified)
Manufacturer - Category
Antibodies
Manufacturer - Targets
CD146|MCAM|MUC18|Mucin 18
Manufacturer - Conjugate / Tag
Purified, with BSA
Manufacturer - Host
Mus musculus (mouse), BSA from bovine serum (Bos taurus) or recombinant BSA produced in Chinese hamster ovary cells.
Shipping Temperature
Room temperature
Storage Conditions
Store at 2 to 8°C|Protect fluorescent conjugates from light
Molecular Weight
130 kDa
Manufacturer - Research Area
Cancer|Mucins
Description
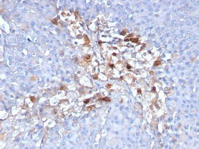
The human CD146 gene maps to chromosome 11q23 and encodes a trans-membrane glycoprotein, also designated MCAM, MUC 18, that belongs to the immunoglobulin superfamily and functions as a Ca2 -independent cell adhesion molecule. CD146 expression is restricted to advanced primary and metastatic melanomas and to cell lines of the neuroectodermal lineage, but not normal melanocytes. CD146 is found on 80% of advanced primary human melanomas and correlates well with development of metastatic disease. Primary antibodies are available purified, or with a selection of fluorescent CF® Dyes and other labels. CF® Dyes offer exceptional brightness and photostability. Note: Conjugates of blue fluorescent dyes like CF®405S and CF®405M are not recommended for detecting low abundance targets, because blue dyes have lower fluorescence and can give higher non-specific background than other dye colors.
Product origin
Animal
Ingredient of biological origin
Mus musculus (mouse), BSA from bovine serum (Bos taurus) or recombinant BSA produced in Chinese hamster ovary cells.
Undated stability guarantee in PI
2 years
Stability at RT during shipping (protected from light)
Stable at room temperature or 37°C (98°F) for 7 days.
UNSPSC Commodity
41116161
UNSPSC Commodity Title
Primary and secondary antibodies for multiple methodology
immunostaining detection application
Classified or regulated chemicals
PBS, 0.05% BSA, 0.05% sodium azide (CAS 26628-22-8)
Concentration
0.2 mg/mL
Storage buffer
PBS, 0.05% BSA, 0.05% azide
Dated shelf life printed on label
Guaranteed for at least 24 months from date of receipt when stored as recommended
Immunogen (Secondaries, for anti tag only)
Recombinant human CD146 protein
Clonality
Monoclonal
Regulatory Status
For research use only (RUO)
Human Gene Symbol
MCAM
Unigene
599039
Positive Control
A-375, HUV-EC or HeLa Cells. Tonsil or Melanoma.
Antibody target cellular localization
Plasma membrane
Tumor expression
Melanoma
Antibody application notes
Higher concentration may be required for direct detection using primary antibody conjugates than for indirect detection with secondary antibody|Immunohistology (formalin)|Staining of formalin-fixed tissues requires boiling tissue sections in 10 mM Tris with 1 mM EDTA, pH 9.0, for 10-20 min followed by cooling at RT for 20 minutes|Flow Cytometry 0.5-1 ug/million cells/0.1 mL|Immunofluorescence 0.5-1.0 ug/mL|Optimal dilution for a specific application should be determined by user
Manufacturer - Synonym
Cell Surface Glycoprotein MUC18, Cell Surface Glycoprotein P1H12, Gicerin, Melanoma Adhesion Molecule (MCAM), Melanoma Associated Glycoprotein MUC18, Melanoma Cell Adhesion Molecule, Melanoma-associated Antigen A32, Mel-CAM, S-endo 1 Endothelial-associated Antigen, Sendo1
Manufacturer - Antibody Reactivity
CD146|MCAM|MUC18|Mucin 18

Hinweis: Die dargestellten Informationen und Dokumente (Bedienungsanleitung, Produktdatenblatt, Sicherheitsdatenblatt und Analysezertifikat) entsprechen unserem letzten Update und sollten lediglich der Orientierung dienen. Wir übernehmen keine Garantie für die Aktualität. Für spezifische Anforderungen bitten wir Sie, uns eine Anfrage zu stellen.

Alle Produkte sind nur für Forschungszwecke bestimmt. Nicht für den menschlichen, tierärztlichen oder therapeutischen Gebrauch.

Menge: 100 uL
Lieferbar: In stock
lieferbar

Lieferung vsl. bis 23.10.2025 

Vergleichen

Auf den Wunschzettel

Angebot anfordern

Lieferzeit anfragen

Technische Frage stellen

Bulk-Anfrage stellen

Fragen zum Produkt?
 
Schließen