Vergleich

CD25/ IL2RA (Activated Lymphocyte Marker) (IL2RA/2395), 0.2mg/mL

ArtNr B-BNUB2395-100
Hersteller Biotium
Menge 100 uL
Quantity options 100 uL 500 uL
Kategorie
Typ Antibody Monoclonal
Format Liquid
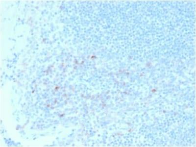
Applikationen IHC
Clon IL2RA/2395
Specific against Human (Homo sapiens)
Host Mouse
Isotype IgG2b
Konjugat/Tag BSA
ECLASS 10.1 42030590
ECLASS 11.0 42030590
UNSPSC 12352203
Alias IL2 Receptor alpha,IL2R alpha chain,IL2R,IL2R subunit alpha IL2RA,Interleukin-2 receptor subunit alpha,Ly43,p55,p55 chain,T Cell Growth Factor Receptor,TAC antigen,TCGFR
Versandbedingung Raumtemperatur
Lieferbar
Manufacturer - Type
Primary
Manufacturer - Applications
IHC, FFPE (verified)
Manufacturer - Category
Primary Antibodies Only
Manufacturer - Targets
CD25|IL2RA
Manufacturer - Conjugate / Tag
Purified, with BSA
Manufacturer - Host
Mus musculus (mouse), BSA from bovine serum (Bos taurus) or recombinant BSA produced in Chinese hamster ovary cells.
Shipping Temperature
Room Temperature (Next day)
Storage Conditions
Store at 2 to 8°C|Protect fluorescent conjugates from light
Molecular Weight
55 kDa
Manufacturer - Research Area
Immunology
Description
This antibody recognizes a protein of 55 kDa, identified as CD25. It is expressed on activated T- and B-cells and activated monocytes/macrophages. With respect to lymphomas, CD25 is present on malignant cells of Hodgkin's disease, HTLV-1 adult T-cell leukemia, cutaneous T-cell lymphoma, and hair cell leukemia. Increased levels of soluble CD25 are observed in the leukemias/lymphomas and inflammatory/ autoimmune diseases. CD25 molecule alone appears to function as a low affinity receptor and associates with CD122 (IL-2R ï¢ chain, p75) and CD132 (common chain) to form the high affinity IL-2 receptor complex.CD25 antibodies detect three epitope regions, A, B and C. This MAb This antibody recognizes the epitope B, which is located at residue 3-104 of CD25 and doe not block IL-2 binding to CD25.Primary antibodies are available purified, or with a selection of fluorescent CF® Dyes and other labels. CF® Dyes offer exceptional brightness and photostability. Note: Conjugates of blue fluorescent dyes like CF®405S and CF®405M are not recommended for detecting low abundance targets, because blue dyes have lower fluorescence and can give higher non-specific background than other dye colors.
Product origin
Animal
Ingredient of biological origin
Mus musculus (mouse), BSA from bovine serum (Bos taurus) or recombinant BSA produced in Chinese hamster ovary cells.
Undated stability guarantee in PI
2 years
Stability at RT during shipping (protected from light)
Stable at room temperature or 37°C (98°F) for 7 days.
UNSPSC Commodity
41116161
UNSPSC Commodity Title
Primary and secondary antibodies for multiple methodologyimmunostaining detection application
Classified or regulated chemicals
PBS, 0.05% BSA, 0.05% sodium azide (CAS 26628-22-8)
Concentration
0.2 mg/mL
Storage buffer
PBS, 0.05% BSA, 0.05% azide
Dated shelf life printed on label
Guaranteed for at least 24 months from date of receipt when stored as recommended
Immunogen (Secondaries, for anti tag only)
Recombinantfragment of human IL2RA protein (around aa 42-183) (exact sequence is proprietary)
Clonality
Monoclonal
Regulatory Status
For research use only (RUO)
Human Gene Symbol
IL2RA
Unigene
231367
Positive Control
PHA-stimulated human lymphocytes. Human lymph nodeor tonsil
Antibody target cellular localization
Plasma membrane
Cell tissue expression
B-cells|Monocytes/macrophages|T-cells
Tumor expression
Leukemia/lymphoma
Validated in protein array
Monospecific
Antibody applications
IHC, FFPE (verified)
Verified antibody applications
IHC (FFPE) (verified)
Antibody application notes
Higher concentration may be required for direct detection using primary antibody conjugates than for indirect detection with secondary antibody|Immunohistology (formalin): 2-4 ug/mL for 30 minutes at RT|Staining of formalin-fixed tissues requires boiling tissue sections in 10 mM citrate buffer, pH 6.0, for 10-20 minutes followed by cooling at RT for 20 minutes|Optimal dilution for a specific application should be determined by user
Manufacturer - Antibody Reactivity
CD25|IL2RA
Antibody number
#2395

Hinweis: Die dargestellten Informationen und Dokumente (Bedienungsanleitung, Produktdatenblatt, Sicherheitsdatenblatt und Analysezertifikat) entsprechen unserem letzten Update und sollten lediglich der Orientierung dienen. Wir übernehmen keine Garantie für die Aktualität. Für spezifische Anforderungen bitten wir Sie, uns eine Anfrage zu stellen.

Alle Produkte sind nur für Forschungszwecke bestimmt. Nicht für den menschlichen, tierärztlichen oder therapeutischen Gebrauch.

Menge: 100 uL
Lieferbar: In stock
lieferbar

Vergleichen

Auf den Wunschzettel

Angebot anfordern

Lieferzeit anfragen

Technische Frage stellen

Bulk-Anfrage stellen

Fragen zum Produkt?
 
Schließen