Vergleich

Flt3 / CD135(FLT3/2458), 0.2mg/mL

ArtNr B-BNUB2458-100
Hersteller Biotium
Menge 100 uL
Quantity options 100 uL 500 uL
Kategorie
Typ Antibody Monoclonal
Format Liquid
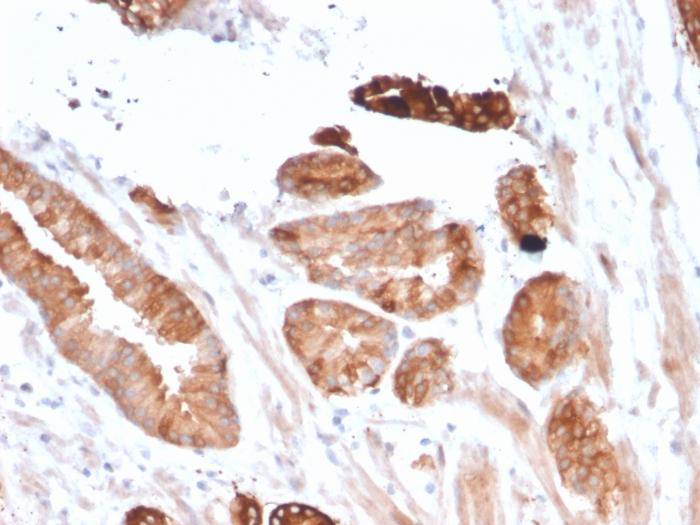
Applikationen IHC
Clon FLT3/2458
Specific against Human (Homo sapiens)
Host Mouse
Isotype IgG2b Kappa
Konjugat/Tag BSA
ECLASS 10.1 42030590
ECLASS 11.0 42030590
UNSPSC 12352203
Versandbedingung Raumtemperatur
Lieferbar
Manufacturer - Type
Primary
Manufacturer - Applications
IHC, FFPE (verified)
Manufacturer - Category
Primary Antibodies Only
Manufacturer - Targets
CD135|Flt3
Manufacturer - Conjugate / Tag
Purified, with BSA
Manufacturer - Host
Mus musculus (mouse), BSA from bovine serum (Bos taurus) or recombinant BSA produced in Chinese hamster ovary cells.
Shipping Temperature
Room Temperature (Next day)
Storage Conditions
Store at 2 to 8°C|Protect fluorescent conjugates from light
Molecular Weight
160 kDa
Description
Stem cell tyrosine kinase (STK-1) has been cloned from a CD34 hematopoietic stem cell enriched library and identified as the human homolog of a previously identified gene of Mouse origin designated either Flk-2 or Flt-3. The STK-1 cDNA encodes a protein of 993 amino acids with 85% identity to Flt-3/Flk-2. STK-1 is a member of the type III receptor tyrosine kinase family that includes Kit (steel factor receptor), Fms and PDGF. STK-1 expression in blood and marrow is restricted to CD34 cells, a population greatly enriched for hematopoietic stem/progenitor cells. STK-1 antiserum recognizes two polypeptides in these cells. The Mouse homolog of STK-1, designated Flt-3/Flk-2, is expressed at high levels in hematopoietic cells and also in neural, gonadal, hepatic and placental tissues. It has been suggested that STK-1 and its murine homolog Flt-3/Flk-2 may function as growth factor receptors on hematopoietic stem and/or progenitor cells.Primary antibodies are available purified, or with a selection of fluorescent CF® Dyes and other labels. CF® Dyes offer exceptional brightness and photostability. Note: Conjugates of blue fluorescent dyes like CF®405S and CF®405M are not recommended for detecting low abundance targets, because blue dyes have lower fluorescence and can give higher non-specific background than other dye colors.
Product origin
Animal
Ingredient of biological origin
Mus musculus (mouse), BSA from bovine serum (Bos taurus) or recombinant BSA produced in Chinese hamster ovary cells.
Undated stability guarantee in PI
2 years
Stability at RT during shipping (protected from light)
Stable at room temperature or 37°C (98°F) for 7 days.
UNSPSC Commodity
41116161
UNSPSC Commodity Title
Primary and secondary antibodies for multiple methodologyimmunostaining detection application
Classified or regulated chemicals
PBS, 0.05% BSA, 0.05% sodium azide (CAS 26628-22-8)
Concentration
0.2 mg/mL
Storage buffer
PBS, 0.05% BSA, 0.05% azide
Dated shelf life printed on label
Guaranteed for at least 24 months from date of receipt when stored as recommended
Immunogen (Secondaries, for anti tag only)
Recombinant full-length human FLT3 protein
Clonality
Monoclonal
Regulatory Status
For research use only (RUO)
Human Gene Symbol
FLT3
Unigene
507590
Positive Control
Human lymph node or MDAMB468 xenograft.
Antibody target cellular localization
Plasma membrane
Antibody applications
IHC, FFPE (verified)
Verified antibody applications
IHC (FFPE) (verified)
Manufacturer - Synonym
CD135, CD135 antigen, Fetal liver kinase 2, FL cytokine receptor, Flk2, FLT-3, Flt3, FLT3_HUMAN, FMS like tyrosine kinase 3, Fms related tyrosine kinase 3, Growth factor receptor tyrosine kinase type III, Ly-72, OTTHUMP0000004234, Receptor type tyrosine protein kinase FLT3, Stem cell tyrosine kinase 1, Stk 1, STK-1, Stk1, Tyrosine protein kinase receptor FLT3
Manufacturer - Antibody Reactivity
CD135|Flt3
Antibody number
#2458

Hinweis: Die dargestellten Informationen und Dokumente (Bedienungsanleitung, Produktdatenblatt, Sicherheitsdatenblatt und Analysezertifikat) entsprechen unserem letzten Update und sollten lediglich der Orientierung dienen. Wir übernehmen keine Garantie für die Aktualität. Für spezifische Anforderungen bitten wir Sie, uns eine Anfrage zu stellen.

Alle Produkte sind nur für Forschungszwecke bestimmt. Nicht für den menschlichen, tierärztlichen oder therapeutischen Gebrauch.

Menge: 100 uL
Lieferbar: In stock
lieferbar

Vergleichen

Auf den Wunschzettel

Angebot anfordern

Lieferzeit anfragen

Technische Frage stellen

Bulk-Anfrage stellen

Fragen zum Produkt?
 
Schließen