Vergleich

CHD4(3F2/4), 0.2mg/mL

ArtNr B-BNUB3077-100
Hersteller Biotium
Menge 100 uL
Quantity options 100 uL 500 uL
Kategorie
Typ Antibody Monoclonal
Format Liquid
Applikationen WB, IF, IHC
Clon 3F2/4
Specific against Human (Homo sapiens), Mouse (Murine, Mus musculus)
Host Mouse
Isotype IgG2a Kappa
Konjugat/Tag BSA
ECLASS 10.1 42030590
ECLASS 11.0 42030590
UNSPSC 12352203
Alias ATP dependent helicase CHD4,Chromodomain helicase DNA binding protein 4,Mi 2 autoantigen 218 kDa protein,Mi 2b,Mi2 beta
Versandbedingung Raumtemperatur
Lieferbar
Manufacturer - Type
Primary
Manufacturer - Applications
IF (verified), IHC, FFPE (verified), WB (verified)
Manufacturer - Category
Primary Antibodies Only
Manufacturer - Targets
CHD4
Manufacturer - Conjugate / Tag
Purified, with BSA
Shipping Temperature
Room Temperature (Next day)
Storage Conditions
Store at 2 to 8°C|Protect fluorescent conjugates from light
Molecular Weight
238 kDa
Description
CHD4/Mi-2b is a component of the nucleosome remodeling and deacetylase (NuRD) complex which is a multi-subunit protein complex containing both histone deacetylase and nucleosome-dependent ATPase subunits. Current models predict that this complex function primarily in transcriptional repression. Accumulating evidence indicates that NuRD may regulate the transcription of specific genes by interacting with specific transcriptional factors. In addition, the NuRD complex may also participate in genome-wide transcriptional regulation through an association with histone tails. Primary antibodies are available purified, or with a selection of fluorescent CF® Dyes and other labels. CF® Dyes offer exceptional brightness and photostability. Note: Conjugates of blue fluorescent dyes like CF®405S and CF®405M are not recommended for detecting low abundance targets, because blue dyes have lower fluorescence and can give higher non-specific background than other dye colors.
Product origin
Animal
Undated stability guarantee in PI
2 years
Stability at RT during shipping (protected from light)
Stable at room temperature or 37°C (98°F) for 7 days.
UNSPSC Commodity
41116161
UNSPSC Commodity Title
Primary and secondary antibodies for multiple methodologyimmunostaining detection application
Classified or regulated chemicals
PBS, 0.05% BSA, 0.05% sodium azide (CAS 26628-22-8)
Concentration
0.2 mg/mL
Storage buffer
PBS, 0.05% BSA, 0.05% azide
Dated shelf life printed on label
Guaranteed for at least 24 months from date of receipt when stored as recommended
Immunogen (Secondaries, for anti tag only)
Synthetic peptide (N- and C- terminal peptides were used for immunisation: 1. ASGLGSPSPCSAGSEEEDM & 2. CSRLANRAPEPPPQQVAQQQ) - which peptide the antibody recognises has not been tested.
Clonality
Monoclonal
Regulatory Status
For research use only (RUO)
Human Gene Symbol
CHD4
Unigene
162233
Positive Control
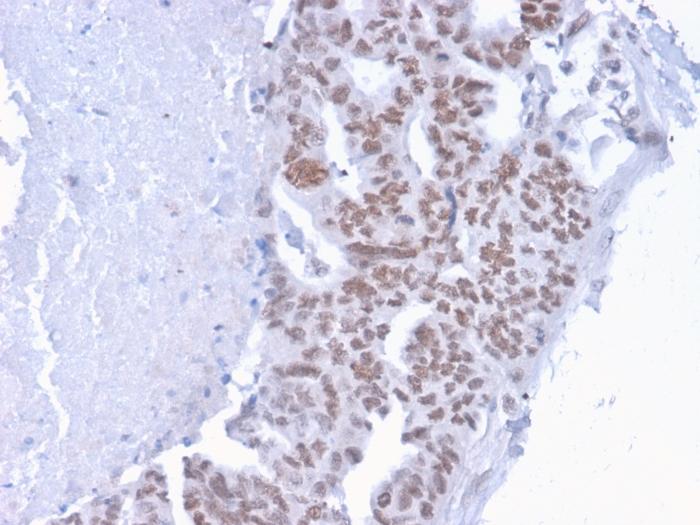
HeLa whole cell lysate or human placenta tissue lysate. Human breast carcinoma.
Antibody target cellular localization
Nucleus & cytoplasm
Antibody applications
IF (verified)|IHC, FFPE (verified)|WB (verified)
Verified antibody applications
IF (verified)|IHC (FFPE) (verified)|WB (verified)
Manufacturer - Antibody Reactivity
CHD4
Antibody number
#3077

Hinweis: Die dargestellten Informationen und Dokumente (Bedienungsanleitung, Produktdatenblatt, Sicherheitsdatenblatt und Analysezertifikat) entsprechen unserem letzten Update und sollten lediglich der Orientierung dienen. Wir übernehmen keine Garantie für die Aktualität. Für spezifische Anforderungen bitten wir Sie, uns eine Anfrage zu stellen.

Alle Produkte sind nur für Forschungszwecke bestimmt. Nicht für den menschlichen, tierärztlichen oder therapeutischen Gebrauch.

Menge: 100 uL
Lieferbar: In stock
lieferbar

Vergleichen

Auf den Wunschzettel

Angebot anfordern

Lieferzeit anfragen

Technische Frage stellen

Bulk-Anfrage stellen

Fragen zum Produkt?
 
Schließen