Vergleich

MALT1 (MALT-Lymphoma Marker)(MT1/3159R), 0.2mg/mL

ArtNr B-BNUB3159-100
Hersteller Biotium
Menge 100 uL
Quantity options 100 uL 500 uL
Kategorie
Typ Antibody Monoclonal
Format Liquid
Applikationen IHC
Clon MT1/3159R
Specific against Human (Homo sapiens)
Host Rabbit
Isotype IgG
Konjugat/Tag BSA
ECLASS 10.1 42030590
ECLASS 11.0 42030590
UNSPSC 12352203
Alias Caspase-like protein,MALT lymphoma-associated translocation,MLT1,Mucosa-associated lymphoid tissue lymphoma translocation protein 1,Paracaspase
Versandbedingung Raumtemperatur
Lieferbar
Manufacturer - Type
Primary
Manufacturer - Applications
IHC, FFPE (verified)
Manufacturer - Category
Primary Antibodies Only
Manufacturer - Targets
MALT1
Manufacturer - Conjugate / Tag
Purified, with BSA
Shipping Temperature
Room Temperature (Next day)
Storage Conditions
Store at 2 to 8°C|Protect fluorescent conjugates from light
Molecular Weight
93 kDa
Description
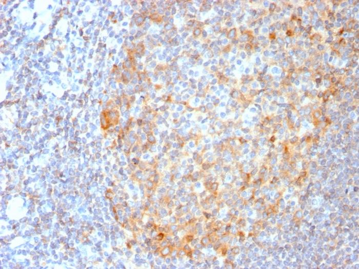
Mucosa associated lymphoid tissue lymphoma translocation gene 1 (MALT1) is found in extranodal low-grade B cell lymphomas. MALT1 encodes two Ig-like C2-type domains and fuses with an API2 gene, which is highly expressed in adult lymphoid tissue. The translocation of this MALT1 gene, which maps to human chromosome 18q21, and the apoptosis-inhibiting API2 gene results in an increased development of MALT lymphomas and apoptosis inhibition. Sites at which this API2-MALT1 (11; 18)(q21; q21) translocation commonly occurs are within human lung and kidney tissue. MALT lymphoma expresses nuclear Bcl10, which mediates the oligomerization and activation of a MALT1 caspase-like domain. MALT1 mRNA is found in pre-B cells, mature B cells and plasma cells. Primary antibodies are available purified, or with a selection of fluorescent CF® Dyes and other labels. CF® Dyes offer exceptional brightness and photostability. Note: Conjugates of blue fluorescent dyes like CF®405S and CF®405M are not recommended for detecting low abundance targets, because blue dyes have lower fluorescence and can give higher non-specific background than other dye colors.
Product origin
Animal
Undated stability guarantee in PI
2 years
Stability at RT during shipping (protected from light)
Stable at room temperature or 37°C (98°F) for 7 days.
UNSPSC Commodity
41116161
UNSPSC Commodity Title
Primary and secondary antibodies for multiple methodologyimmunostaining detection application
Classified or regulated chemicals
PBS, 0.05% BSA, 0.05% sodium azide (CAS 26628-22-8)
Concentration
0.2 mg/mL
Storage buffer
PBS, 0.05% BSA, 0.05% azide
Dated shelf life printed on label
Guaranteed for at least 24 months from date of receipt when stored as recommended
Immunogen (Secondaries, for anti tag only)
Human MALT1 recombinant fragment (aa701-808)
Clonality
Recombinant Monoclonal
Regulatory Status
For research use only (RUO)
Human Gene Symbol
MALT1
Unigene
601217
Positive Control
Jurkat, Daudi or HeLa cells. Tonsil or lymphoma.
Antibody target cellular localization
Cytoplasmic|Nucleoli
Cell tissue expression
B-cells
Antibody applications
IHC, FFPE (verified)
Verified antibody applications
IHC (FFPE) (verified)
Manufacturer - Antibody Reactivity
MALT1
Antibody number
#3159

Hinweis: Die dargestellten Informationen und Dokumente (Bedienungsanleitung, Produktdatenblatt, Sicherheitsdatenblatt und Analysezertifikat) entsprechen unserem letzten Update und sollten lediglich der Orientierung dienen. Wir übernehmen keine Garantie für die Aktualität. Für spezifische Anforderungen bitten wir Sie, uns eine Anfrage zu stellen.

Alle Produkte sind nur für Forschungszwecke bestimmt. Nicht für den menschlichen, tierärztlichen oder therapeutischen Gebrauch.

Menge: 100 uL
Lieferbar: In stock
lieferbar

Vergleichen

Auf den Wunschzettel

Angebot anfordern

Lieferzeit anfragen

Technische Frage stellen

Bulk-Anfrage stellen

Fragen zum Produkt?
 
Schließen