Vergleich

PAI-RBP1 / SERBP1 / SERPINE1(SERBP1/3493), 0.2mg/mL

ArtNr B-BNUB3493-100
Hersteller Biotium
Menge 100 uL
Quantity options 100 uL 500 uL
Kategorie
Typ Antibody Monoclonal
Format Liquid
Applikationen WB, IHC
Clon SERBP1/3493
Specific against Human (Homo sapiens)
Host Mouse
Isotype IgG2b Kappa
Konjugat/Tag BSA
ECLASS 10.1 42030590
ECLASS 11.0 42030590
UNSPSC 12352203
Alias CGI 55,CHD3IP,Chromodomain helicase DNA binding protein 3 interacting protein,HABP4L,PAI1 RNA-binding protein 1,PAIRBP1,Plasminogen activator inhibitor 1 RNA binding protein,SERPINE1 mRNA binding protein 1
Versandbedingung Raumtemperatur
Lieferbar
Manufacturer - Type
Primary
Manufacturer - Applications
IHC, FFPE (verified), WB (verified)
Manufacturer - Category
Primary Antibodies Only
Manufacturer - Targets
PAI-RBP1|SERBP1|SERPINE1
Manufacturer - Conjugate / Tag
Purified, with BSA
Shipping Temperature
Room temperature
Storage Conditions
Store at 2 to 8°C|Protect fluorescent conjugates from light
2°C to 8°C
Molecular Weight
60 kDa
Description
PAI-RBP1 (plasminogen activator inhibitor 1 RNA-binding protein), also known as SERBP1 (SERPINE1 mRNA-binding protein 1), CGI-55, CHD3IP (chromodomain helicase DNA binding protein 3 interacting protein), HABP4L or PAI-RBP1, is a membrane-associated protein that localizes to the nucleus, the perinuclear region of the cytoplasm and the plasma membrane. PAI-RBP1 is believed to play a role in the regulation of mRNA stability, as it specifically binds to the CRS (cyclic nucleotide-responsive sequence) motif of the PAI-1 mRNA and acts to stabilize the mRNA and regulate its expression. In addition, PAI-RBP1 interacts with Mi2- and may be involved in chromatin remodeling. PAI-RBP1 also interacts with PGRMC1 and participates in the transduction of Progesterone's antiapoptotic action in ovarian cell types. The gene encoding PAI-RBP1 is overexpressed in ovarian cancer, suggesting a possible role for PAI-RBP1 in tumorigenesis and tumor metastasis. Primary antibodies are available purified, or with a selection of fluorescent CF® Dyes and other labels. CF® Dyes offer exceptional brightness and photostability. Note: Conjugates of blue fluorescent dyes like CF®405S and CF®405M are not recommended for detecting low abundance targets, because blue dyes have lower fluorescence and can give higher non-specific background than other dye colors.
Product origin
Animal
Undated stability guarantee in PI
2 years
Stability at RT during shipping (protected from light)
Stable at room temperature or 37°C (98°F) for 7 days.
UNSPSC Commodity
41116161
UNSPSC Commodity Title
Primary and secondary antibodies for multiple methodology
immunostaining detection application
Classified or regulated chemicals
PBS, 0.05% BSA, 0.05% sodium azide (CAS 26628-22-8)
Concentration
0.2 mg/mL
Storage buffer
PBS, 0.05% BSA, 0.05% azide
Dated shelf life printed on label
Guaranteed for at least 24 months from date of receipt when stored as recommended
Immunogen (Secondaries, for anti tag only)
Recombinant fragment of human SERBP1 protein (around aa3-139) (exact sequence is proprietary)
Clonality
Monoclonal
Regulatory Status
For research use only (RUO)
Human Gene Symbol
SERBP1
Unigene
530412
Positive Control
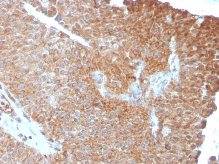
Human kidney or bladder tissue (IHC).
Antibody target cellular localization
Nucleus & cytoplasm|Perinuclear
Validated in protein array
Monospecific
Antibody applications
IHC, FFPE (verified), WB (verified)
Verified antibody applications
IHC (FFPE) (verified)|WB (verified)
Manufacturer - Antibody Reactivity
PAI-RBP1|SERBP1|SERPINE1
Antibody number
#3493

Hinweis: Die dargestellten Informationen und Dokumente (Bedienungsanleitung, Produktdatenblatt, Sicherheitsdatenblatt und Analysezertifikat) entsprechen unserem letzten Update und sollten lediglich der Orientierung dienen. Wir übernehmen keine Garantie für die Aktualität. Für spezifische Anforderungen bitten wir Sie, uns eine Anfrage zu stellen.

Alle Produkte sind nur für Forschungszwecke bestimmt. Nicht für den menschlichen, tierärztlichen oder therapeutischen Gebrauch.

Menge: 100 uL
Lieferbar: In stock
lieferbar

Vergleichen

Auf den Wunschzettel

Angebot anfordern

Lieferzeit anfragen

Technische Frage stellen

Bulk-Anfrage stellen

Fragen zum Produkt?