Vergleich

Synaptophysin (Neuroendocrine Marker)(SYP/3551), 0.2mg/mL

ArtNr B-BNUB3551-500
Hersteller Biotium
Menge 500 uL
Quantity options 100 uL 500 uL
Kategorie
Typ Antibody Monoclonal
Format Liquid
Applikationen IHC
Clon SYP/3551
Specific against Human (Homo sapiens)
Host Mouse
Isotype IgG1 Kappa
Konjugat/Tag BSA
ECLASS 10.1 42030590
ECLASS 11.0 42030590
UNSPSC 12352203
Alias Major synaptic vesicle protein p38,MRX96,MRXSYP,Syn p38,Syp,SYPH
Versandbedingung Raumtemperatur
Lieferbar
Manufacturer - Type
Primary
Manufacturer - Applications
IHC, FFPE (verified)
Manufacturer - Category
Primary Antibodies Only
Manufacturer - Targets
Synaptophysin
Manufacturer - Conjugate / Tag
Purified, with BSA
Shipping Temperature
Room Temperature (Next day)
Storage Conditions
Store at 2 to 8°C|Protect fluorescent conjugates from light
Molecular Weight
38 kDa
Description
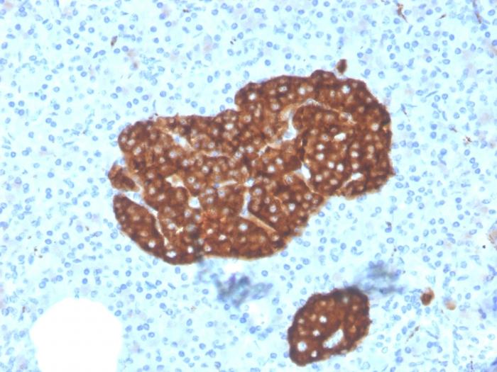
This monospecific monoclonal antibody recognizes a protein of 38 kDa that is identified as synaptophysin. It is an N-glycosylated integral membrane protein found in neurons and endocrine cells. Synaptophysin contains four transmembrane domains and may function as a gap junction-like channel. This antibody identifies normal neuroendocrine cells and neuroendocrine neoplasms. Diffuse, finely granular, cytoplasmic staining is observed, which probably correlates with the distribution of the antigen within neurosecretory vesicles. Synaptophysin is an independent, broad-range marker of neural and neuroendocrine differentiation. Primary antibodies are available purified, or with a selection of fluorescent CF® Dyes and other labels. CF® Dyes offer exceptional brightness and photostability. Note: Conjugates of blue fluorescent dyes like CF®405S and CF®405M are not recommended for detecting low abundance targets, because blue dyes have lower fluorescence and can give higher non-specific background than other dye colors.
Product origin
Animal
Undated stability guarantee in PI
2 years
Stability at RT during shipping (protected from light)
Stable at room temperature or 37°C (98°F) for 7 days.
UNSPSC Commodity
41116161
UNSPSC Commodity Title
Primary and secondary antibodies for multiple methodologyimmunostaining detection application
Classified or regulated chemicals
PBS, 0.05% BSA, 0.05% sodium azide (CAS 26628-22-8)
Concentration
0.2 mg/mL
Storage buffer
PBS, 0.05% BSA, 0.05% azide
Dated shelf life printed on label
Guaranteed for at least 24 months from date of receipt when stored as recommended
Immunogen (Secondaries, for anti tag only)
Recombinant fragment (around aa 224-313) of human Synaptophysin (SYP) protein (exact sequence is proprietary)
Clonality
Monoclonal
Regulatory Status
For research use only (RUO)
Human Gene Symbol
MSH2
Unigene
632804
Positive Control
HepG2, SH-SY-5Y, HeLa or Y79 cells. Pancreas, Cerebellum or Pheochromocytoma.
Antibody target cellular localization
Vesicular
Validated in protein array
Monospecific
Antibody applications
IHC, FFPE (verified)
Verified antibody applications
IHC (FFPE) (verified)
Manufacturer - Antibody Reactivity
Synaptophysin
Antibody number
#3551

Hinweis: Die dargestellten Informationen und Dokumente (Bedienungsanleitung, Produktdatenblatt, Sicherheitsdatenblatt und Analysezertifikat) entsprechen unserem letzten Update und sollten lediglich der Orientierung dienen. Wir übernehmen keine Garantie für die Aktualität. Für spezifische Anforderungen bitten wir Sie, uns eine Anfrage zu stellen.

Alle Produkte sind nur für Forschungszwecke bestimmt. Nicht für den menschlichen, tierärztlichen oder therapeutischen Gebrauch.

Menge: 500 uL
Lieferbar: In stock
lieferbar

Vergleichen

Auf den Wunschzettel

Angebot anfordern

Lieferzeit anfragen

Technische Frage stellen

Bulk-Anfrage stellen

Fragen zum Produkt?
 
Schließen